每年冬季嚴寒時,總會聽到這樣的電視新聞稿報導,一名患者享用薑母鴨,因為吃得太急,還喝酒助興,隔天腹部劇痛,就醫才發現得了胰臟炎。為什麼胰臟炎容易登上新聞版面呢 ? 除了新聞傳播應該具備對大眾教育健康知識的責任之外,更重要的是因為這個疾病所可能帶來立即或是長遠的不良影響,所以有必要更加認識胰臟發炎此疾病。
首先從一般人最關心的症狀來談起,胰臟炎的症狀主要是肚臍上方或腹部左上方劇痛,經常會轉移到背後的疼痛。痛的程度如果以輕、中、重三等份而言一般是屬於中重度,而且如果病人彎腰或上半身前傾則會感到稍微舒緩 (圖一)。究竟哪些人比較容易得到胰臟發炎呢?常見的是酗酒者、患有高三酸甘油脂 (超過500 mg/dl)、暴飲暴食享用大餐者、或是有膽結石的人。
關於診斷胰臟炎的方法有哪些呢?目前最為普遍使用的方法是典型的症狀再搭配抽血檢查,至於影像工具的檢查則可以進一步診斷與衡量病情嚴重程度,例如:腹部超音波、內視鏡超音波 (圖二)與腹部電腦斷層等。
胰臟炎是一種病情起伏很大的疾病,輕微者僅有症狀上的表現例如:腹部疼痛與腹部悶痛、食慾欠佳、至於嚴重者則可能出現器官衰竭、意識昏迷和細菌感染等。治療原則都是以禁止飲食與搭配靜脈點滴和止痛藥物為主,如果出現細菌感染或是器官衰竭則需要另外的治療,比較特別的是,如果是經由膽結石阻塞在總膽管末端所導致的胰臟炎,則需要設法移除此膽管結石方能治好病根,嚴重的胰臟發炎者意謂有著嚴重器官衰竭,往往需要住進加護病房接受密集抽血,監測生理功能與相關的治療。
胰臟炎有急性與慢性之分。急性胰臟炎表示只有發生一次,或者是數次且疾病過程較短暫,而慢性胰臟炎則是急性胰臟炎反覆發生多次以及經年累月長期對胰臟造成損害以後所形成的。慢性胰臟炎的最大特徵就是胰臟組織的變化與胰臟功能的衰竭,在影像學的檢查上會出現特殊之變化,例如:實質組織粗糙化產生許多胰臟結石、胰臟管發生不規則形的擴張、或者連帶影響總膽管的狹窄與擴張。
另外一方面,慢性胰臟炎也會發生胰臟本身內分泌與外分泌功能不足的問題。例如:內分泌部分可能會有胰島素不足罹患糖尿病,而糖尿病罹患久了以後,又有衍生心臟冠狀動脈疾病、腦血管中風、糖尿病視網膜病變、糖尿病腎病變以及全身其他各處血管硬化的嚴重問題。至於外分泌功能的缺損則會帶來日常生活上的消化不良,營養吸收困難,嚴重著會有排便裡面混雜著脂肪的成份。由於胰臟酵素所負責分解的食物種類相當廣泛,包含:蛋白質、醣類與脂肪類,其中如果脂質的吸收困難,則將會進一步阻礙脂溶性的維生素吸收例如:維生素A如果身體吸收不足的話會導致視力減弱,尤其是在光線偏暗的環境,就是所謂的夜盲症。
胰臟炎一旦發生,一定要尋求醫師協助,診斷出是急性胰臟炎或是慢性胰臟炎的發作,同時給予適當的治療,並且與醫師合作共同找出胰臟炎的最可能病因,如此才能避免將來反覆的發作。因為如果僅是急性胰臟炎卻任由它一而再,再而三的發生,將會導致慢性胰臟炎的形成,慢性胰臟炎又會造成生活健康上的許多不適感與後續更嚴重的併發症,所以如果能在急性胰臟炎階段就正確診斷與治療,努力預防則最大的好處就是能預防惡化成慢性胰臟炎。至於慢性胰臟炎的臨時急性發作惡化,如果能及早診斷並且控制得宜,也能減緩胰臟功能慢慢流失。
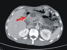
有關胰臟炎康復的病人,該如何健康保養與追蹤呢?對於急性胰臟炎的病人,在復原以後建議3至6個月內安排腹部超音波追蹤,尤其是一開始即有腹水形成的患者,因為這些人有較高的比例會發生胰臟炎的後續併發症,例如:偽囊腫(pseudo-cyst) (圖三)。一旦形成便需要視情況做必要的處理。另一方面,慢性胰臟炎是得胰臟癌或各式各樣胰臟腫瘤的危險因素之一,所以這類病人應該定期接受腹部超音波或內視鏡超音波的追蹤,以達到能早期發現胰臟腫瘤 (圖四)的目的。
民眾如果腹部劇痛,同時轉移到後背疼痛,並且數日前曾經享用豐盛大餐與飲酒者,或是曾經罹患過胰臟炎者,建議儘快尋求醫師相關健康諮詢。

圖一、胰臟疼痛時上半身前傾則會稍微感到舒緩

圖二、內視鏡超音波是一項檢查胰臟相當精確的影像工具,同時能檢查胰臟管於十二指腸的出口處有無阻塞(箭頭處)

圖三、箭頭處是指有顯影劑的電腦斷層下之胰臟偽囊腫

圖四、箭頭處是指內視鏡超音波所診斷的胰臟囊狀腫瘤