:::

低輻射劑量肺部電腦斷層掃描 Low-dose chest CT

健康管理中心 王高倫主任  

     低輻射劑量肺部電腦斷層掃描 Low-dose chest CT(相關圖片)

     據行政院衛生署95年國人十大死亡統計中,十大死亡癌症中,肺癌在女性排名第一,在男性位居第二。在美國,預計西元2007年有160,390人死於肺癌,而有213,380新肺癌病例被診斷出來。肺癌的可怕在於早期症狀很不明顯,甚至有四分之一的病人被診斷出肺癌時,完全沒有任何不舒服的症狀.當很多肺癌病人出現明顯症狀時,早已錯過最佳的時機。因為肺部是個血流充沛的器官,所以腫瘤細胞很早就會轉移到其他器官如肝臟、骨頭及腦部。即使近年來發展許多新興的治療方法,但五年存活率僅大約16%,如此高的致死率反映了肺癌預後效果差。因此早期發現肺癌是醫學界努力的目標,尋找一個較適當、有效的方法可以早期偵測肺癌。


  在肺癌篩檢中,最普遍的傳統胸部X光攝影有其限制,病灶太小不易被發現,或病灶容易被骨頭遮擋、腫瘤隱藏在死角,都易被忽略。此外西元1950-1970年間,過去國外四個大型肺癌篩檢效益的隨機控制研究,驗證痰液細胞學檢查與傳統胸部X光攝影是否能增加篩檢的效益,但研究結果未能有效早期偵測肺癌,也無法達到減少死亡率的目的。


  近二十年來對肺癌生物學的認識增加及技術的進步,發展出一些新的診斷工具,帶來早期偵測肺癌的新希望。自西元1995年起,美國、日本有數個預防醫學中心相繼開始以低輻射劑量電腦斷層掃描(Low-Dose CT scan)對高危險族群患者進行篩檢,希望能早期偵測肺部不正常結節。到了西元1999年,終於有了重大突破,美國康乃爾醫學中心發表一項大規模研究報告,主題是以低劑量電腦斷層掃描篩檢肺部結節,他們以低劑量電腦斷層掃描篩檢了1000位自願者,結果顯示在233個受檢者偵測出非鈣化結節 (偵測率23%),其中27個受檢者被證實為原發性肺癌(偵測率2.7%),27個原發性肺癌中,有23位為第一期;而胸部X光片檢查只於68個受檢者偵測出非鈣化結節 (偵測率7%),只於其中7個受檢者發現異常 (偵測率0.7%),其檢查出異常的7個只有4位為第一期,此研究報告足以顯示低劑量電腦斷層掃描用來篩檢肺癌高危險族群的顯著效益。


  低劑量電腦斷層掃描針對肺部的影像品質十分優異,您只要吸一口氣後閉住氣,短短幾秒鐘就可以完整掃描整個肺部,不需注射顯影劑便可將肺部的每個橫切面影像重組,既方便又快速;這種放射學檢查使病人暴露於輻射的劑量約為0.3~0.55mSv,這遠低於傳統電腦斷層掃描3~27mSv,約相當於一般照胸腔X光時前後部位(PA view)及側位(lateral view)兩張片子的輻射劑量0.06~0.25mSv (註:低劑量電腦斷層掃描輻射量為傳統電腦斷層掃描的百分之十),而且不用注射顯影劑,也因此減少了藥物過敏的危險。


  近幾年來,由於電腦軟體不斷的更新與進步,電腦輔助檢測軟體 (CAD-computer-aided detection)的應用愈來愈普遍,其功能是協助專業影像專科醫師在數位化電腦斷層胸腔影像中,發現、鑑定以及評估肺部病灶與結節,特別是發現直徑介於5-15 mm的小型結節,使肺部疾病可以提早發現,及早治療。


  針對國人肺癌的高危險群,包含肺癌家族史、有抽菸習慣或長期吸入二手菸者、曝露在石綿瓦的工作環境中(如礦工、玻璃工、石綿瓦工人等)、以及患有慢性阻塞性肺病等對象,如果您的胸腔X光片沒有發現肺部結節或任何異狀,建議您仍需做低劑量電腦斷層來偵測一些傳統胸腔X光攝影無法發現的肺部結節,如果您屬於高危險群並且未定期篩檢肺部者,建議您每年至少進行一次肺部的低劑量電腦斷層掃描的肺部篩檢,以確保您的健康。


  亞東醫學中心不惜重資,引進台灣第一台64s DSCT (64切雙射源電腦斷層掃描儀),它不僅擁有最先進的CAD軟體可協助偵測超小型非鈣化結節,且因為速度最快,所以輻射量超低。透過此儀器可協助肺癌高危險群偵測早期肺癌,希望本院健康管理中心能夠真正做到預防醫學所倡導的早期發現,適切治療。
  
肺部篩檢使用的低劑量肺部電腦斷層掃描影像和常規性診斷用電腦斷層掃描的一致性。

低輻射劑量肺部電腦斷層掃描 Low-dose chest CT(相關圖片)

 

 

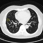
肺部電腦斷層掃描使用CAD功能所偵測到的影像(左圖)。

 

低輻射劑量肺部電腦斷層掃描 Low-dose chest CT(相關圖片)

 

經放大後發現其為長3.85mm寬3.15mm的小結節(左圖),可協助專科醫師進行進一步診斷。

    

 

        預防勝於治療,亞東醫院針對肺癌等癌症推出一系列DSCT高階影像健康檢查組套:防癌專案及愛心顧肺專案,詳細內容請洽本中心專線:(02)8966-4160或網頁(http://depart.femh.org.tw/HMC)查詢。