
     根據衛生署的統計,四十歲以上的國人,有七成五以上有牙周病, 然而臨床上二、三十歲的病人也不少。其中沒有被診斷出來,獲得適當治療的,卻佔了大多數。早期的牙周病症狀並不明顯,可能僅有刷牙會流血、邊緣牙齦紅腫、口臭、牙齦萎縮牙根敏感、牙齒移位或牙縫變大等,甚至毫無症狀。此時因為不會疼痛而忽略,或是對於治療害怕與遲疑而錯過了牙周病早期治療的黃金期;等到反覆出現牙周膿包、牙齒動搖、咀嚼無力或疼痛、甚至牙齒自行脫落才就醫,往往已經非常嚴重 ,無論在美觀及咀嚼功能上都發生重大影響。到此階段的全口治療和重建所須之時間和花費,更是數倍於早期治療者。所以「牙周病」可稱為是國人口腔健康的慢性殺手,在過去一直被認為是非常棘手,無法早期發現和完全治癒的疾病。
    所幸隨著國人醫療知識的普及化、科技的進步、牙科材料發展的日新月異,我們面對牙周病的治療有了拔牙以外的更多的選擇。除了傳統的第一階段非手術性治療 (牙結石清除及牙根面整平術) 和第二階段手術治療 (牙周翻瓣清創術) 以外,我們還可以在齒槽骨受到嚴重破壞的區域放置骨粉或是牙周再生材料。牙周再生技術使牙周治療不再只求牙齒歹活,更有回春之效,帶給飽受牙周病之苦的患者另一個生機。過去的再生材料多為不可吸收,需要二次手術取出;後來發展出可吸收再生膜,免去了二次手術的疼痛,但也只是「消極的」提供一個空間給牙周組織再生。
    最近許多的研究朝向如何利用再生手術「積極的」促進組織再生,於是利用生化和基因工程的技術,大量製造純化各種骨誘導生長因子的研究不斷被發表。其中一種已上市來自瑞典的生物科技產品---牙釉基質蛋白(Emdogain?)---被視為牙周治療的胎盤素,這幾年被牙周病科醫師所廣泛使用。
 這種蛋白和牙齒萌發時的牙根形成有關,所以必須於牙周翻瓣清創術的過程中,在牙根表面上塗上一層此種膠狀蛋白,來模擬最初牙根發育時的環境,就可以使缺損的牙周組織再生。它有以下的特點 :
1. 抑制阻礙牙周再生的上皮細胞功能。
2. 抑制牙周有害細菌的繁殖,但不會影響口腔內正常細菌。
3. 促進成骨細胞、牙骨質細胞的生長及分化,刺激牙根表面重新長出支持纖維與顎。
4. 刺激血管新生,因此有利牙周傷口癒合,有效降低術後感染和不適。
5. 對牙周病造成的牙齦萎縮及垂直骨缺損也有效。
6. 毒理學和免疫學研究顯示?臨床上使用安全無虞。
    一般而言,牙周病必須先進行傳統4~6週的基本治療及衛生教育,牙周組織發炎的情形就可以受到適當的控制。然而, 有些牙齒由於先前組織受損嚴重?無法於前述基本治療之下治癒,此時便須藉由牙周手術的方式將隱藏在牙周囊袋深處的牙菌斑與牙結石完全清除,並將遭到破壞而呈不規則的齒槽骨缺陷整形,使牙周組織獲得好的癒合,恢復健康。至於更嚴重被感染的牙齒,醫生會在術前或術中考量病患狀況、骨缺損形態、牙齦位置、及材料操作特性等?評估病患是否適合施行再生手術?並選擇最合適的再生材料。
     雖然牙周再生材料的發展提供了嚴重牙周破壞的牙齒恢復健康的機會,但是由於此項治療目前健保並不給付,所以針對齒槽骨破壞範圍過大、口腔衛生維護不佳或重度煙癮等病患並不建議使用。此外?牙周再生手術的技術很重要,由受過牙周病專門訓練的醫師來施行,可以得到較好的成果。最重要的,牙周病治療完成以後,一定要按照醫生指導的方法作好每天的囗腔清潔,以及定期3至6個月的回診檢查,如此一來牙周病將可以獲得良好的控制,從此不再是牙齒的絕症!

 
 
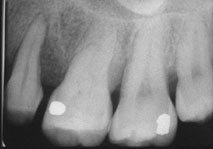
治療前牙周有垂直骨缺損
 
 

 
 
治療後6個月牙周骨再生
 

 
 
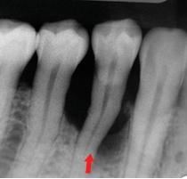
治療前牙周有環狀骨缺損,牙齒動搖。
 
 
 

 
 
治療後12個月牙周骨再生,牙齒穩固。
 
 
 
 
 
用EmdogainR治療牙周缺損。
 

 
EmdogainR產品外觀。