「腦血管動脈瘤」非腫瘤!它其實是脆弱的腦血管壁向外膨出所形成的病灶。這是很多人在初次聽到動脈瘤這個名詞時,經常有的困惑。膨出的血管壁有時像透明的薄膜一般,動脈瘤一旦爆裂,患者會有立即的生命危險。其實大多數的腦血管動脈瘤除非破裂,一般很難提早發現,臨床上的經驗,有將近三分之一到四分之一的人是接受健檢高階影像檢查如腦部磁振造影發現的。台灣每年約有1,200-1,300名新增的腦動脈瘤案例,好發年齡集中在40-60歲。
哪些人可能是腦動脈瘤高危險群呢?
* 老菸槍
* 長期處在高壓力的工作環境
* 職場上40至60歲的女性,擔任中高階主管者
* 高血壓、高血酯及血糖過高,控制不理想
* 女性停經後
* 家族史中有兩位出現腦動脈瘤
* 少數家族遺傳疾病例如:多囊性腎臟病者,也可能好發腦動脈瘤
健檢時發現未破裂的動脈瘤,又沒有任何症狀,究竟該不該處理?
這是一個大家都關心的問題。基本上即便不做外科手術或微創動脈瘤栓塞,也最好能在體內創造一個好的條件,降低動脈瘤破裂的風險,例如控制血壓與血糖、戒菸、養成規律運動習慣及生活作息,避免生氣和劇烈運動、泡溫泉最好15分鐘內起身…等。定期影像追蹤,一般而言,第一次發現腦動脈瘤可於半年內追蹤,之後可間隔9個月至1年,若仍沒變化,可延長至每年或每2年追蹤。
動脈瘤壓迫到腦神經,會產生相關的神經症狀,不過大家所擔心且最害怕的問題,還是動脈瘤是否會破裂。目前大家公認曾經出血過的動脈瘤,破裂的風險最高。其他像是根據動脈瘤本身的大小、形狀及位置…等,都僅是風險評估的參考因素,有學者曾在2014年,從幾個重要的臨床研究結果所得出的數據中,發展出一項PHASE評分方式,得分越高表示動脈瘤破裂的機會越高,可用於未破裂的顱內動脈瘤的5年內破裂風險預測,評分包括以下6個面向:種群(Population)、血壓(Hypertension)、年齡(Age)、動脈瘤大小(Size of the aneurysm)、過去蛛網膜下腔的出血史及動脈瘤的位置(Previous SAH and the aneurysm location)。PHASES評分的使用可以提供決策參考,並非絕對指標。其實PHASE評分中沒有評估包括吸菸、女性、動脈瘤形狀和動脈瘤大小變化…等因素的影響,但這些都與動脈瘤破裂風險有關。因此我們會建議患者要和治療的醫師充分的溝通或參考醫病共享決策(shared decision making)模式,作為決定動脈瘤是否要接受治療的依據。
動脈瘤的治療
以外科手術開顱、夾除動脈瘤以及經由血管內進行動脈瘤栓塞,兩者都是標準的治療方法,栓塞治療是將微細的導管從動脈血管導引進入腦部動脈瘤內,以白金線圈填充的方式栓塞動脈瘤,栓塞後的動脈瘤得到充填線圈的保護,可有效降低破裂的機會。這種栓塞治療的優點:
* 治療所花的時間較一般傳統開顱手術短
* 治療過程的併發症及死亡率較低
* 患者不需打開頭顱
* 在無併發症的前提下,住院天數較短…等
不過,栓塞治療對於改善大型動脈瘤,所造成的神經壓迫症狀較差;復發率相較於小動脈瘤高;對於複雜型的中大腦動脈瘤,開顱手術相對直接有效率。
隨著醫療技術的進步,針對開口大的動脈瘤、形狀位置刁鑽或是大型的動脈瘤(直徑超過1.5公分以上),可利用具有導引血流功能的血管導流裝置(Flow diverter)治療,血管導流裝置看似一個編織細密的支架,置放後可藉由血流導向,降低血流直接衝擊動脈瘤的力道,經過一段時間,更可以促進血管內皮再生,覆蓋動脈瘤的開口,徹底讓動脈瘤消失。
本院自2014年就開始應用這項治療技術,也是這項技術在台灣的示範教學中心,截至目前2023年本院使用導流裝置治療動脈瘤的成功率將近100%,術後追蹤動脈瘤閉塞率高達九成,此外有超過半數以上的患者,經追蹤評估後,有機會不再需要每天服用一般支架放完後,所需服用的阿斯匹林(Aspirin)及保栓通(Plavix)…等抗血小板的藥物,大家對於這項治療接受度越來越高。
結論
儘管如此,動脈瘤的栓塞治療仍是高度專業的技術且具有一定的風險 (表定約3-6%),在治療之前醫師會向病友與家屬做詳盡的說明,也歡迎有需要的患者至本院神經血管介入診療門診 (賴彥君主任、賴威任醫師)或神經外科門診諮詢,由醫師為您提供進一步的醫療評估。
影像醫學科 賴彥君主任網頁連結介紹
專長:頭頸部支架置放、顱內血管狹窄介入性診療、腦部動脈瘤(血管畸形)血管內治療、門診頭頸部血管攝影檢查、神經系統影像診斷
https://www.femh.org.tw/section/sectionDetail2?CID=0340&&DoctorID=86896

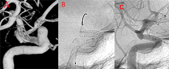
(A)內頸動脈眼動脈段,有一7x5-mm未破裂的動脈瘤;(B) 患者接受血流導向裝置治療;(C) 半年後門診血管攝影追蹤,動脈瘤完全消失,眼動脈暢通且內頸動脈無明顯狹窄