文章語音朗讀連結         
        台灣社會正朝向聯合國所稱「超高齡社會」邁進,而超高齡社會兩大重要流行病之一即為骨質疏鬆症。骨質疏鬆症對病人及社會衝擊在於各種相關骨折之可怕後果,其中髖部、脊椎、手腕骨折為大宗。根據統計,台灣65歲以上因骨質疏鬆所造成的脊椎壓迫性骨折每年約有6萬人,這種低衝擊性的骨折經常只是因為輕微的滑倒或跌坐所造成,但由於脊椎負責身體力量的承載,一旦發生骨折,就有可能造成嚴重的背痛與日常活動受限。
         這類大部份患者治療可以保守治療逐步緩減症狀,包括:臥床休息、止痛藥物及背架的使用,而治療時間大多需要12星期左右,待脊椎骨逐漸癒合到足夠穩定的強度,隨著骨折漸漸癒合,背部疼痛會進一步改善,能下床活動的時間也會漸次拉長。
         然而,保守治療有其缺點,包含椎體的高度再骨折尚未癒合前可能會逐漸地塌陷,或者因為長期臥床也較容易產生嚴重的合併症(褥瘡、肺炎及尿路感染),而保守治療後也有病人因駝背而持續下背痛。最嚴重的,可能因骨折變嚴重而造成脊髓神經壓迫,進而出現下肢無力或大小便失禁問題,此時就需要手術減壓與植入骨釘內固定。這樣嚴重的情形很少發生,但往往造成不可恢復的殘疾,因此不可不慎。
什麼是經皮椎體成形術
      經皮椎體成形術在骨折的椎體內灌注人工骨水泥,快速地提供椎體足夠的穩定性,也能夠防止椎體過度的塌陷,這種手術稱為「經皮椎體成形術(percutaneous vertebroplasty)」,可以在短時間內緩解疼痛,加速病人恢復生活自理。
* 手術步驟
        骨水泥灌注術的過程通常在開刀房使用引導下進行。手術過程通常包括以下步驟:
* 患者接受局部或全身麻醉
* 外科醫生使用穿刺針導入塌陷的椎體,透過導針將可流動的骨水泥緩緩注入、填充椎體空間
* 醫生監測X射線或其他影像學設備來確保骨水泥在正確的位置並且足夠的量
* 當骨水泥固化後,醫生關閉切口並進行縫合
       手術過程約30分鐘、需於入針處局部麻醉、失血量甚少、傷口小於1公分,大部分病人在手術後疼痛明顯緩解,術後1小時即可下床活動。患者通常可以於隔天就出院,後續仍須穿著背架保護至少三個月。
經皮椎體復位整形術 (或稱駝背矯形術) (percutaneous kyphoplasty)
  改良自椎體成形術,手術步驟雷同,差別在於多利用一個前端有球囊的導管,將塌陷的椎體撐開復位,取出球囊後再以骨水泥灌注充填。好處是能夠將塌陷的椎體大部分矯正回來,也減少骨水泥外漏的機會,手術更為安全。缺點則是費用較高,目前球囊裝置需自費。不論是椎體成形術還是椎體復位整形術,比起傳統植入骨釘內固定的手術來說,都是微創、快速、安全性相當高的治療方法。
手術危險性及可能併發症
        任何一種手術治療方式皆有其危險性及可能產生的併發症,椎體成型術亦不例外,手術併發症如下列所示:
* 骨水泥滲漏(3-5%)
* 神經受損(<3%)
* 肺栓塞、心肌梗塞、腦中風等骨水泥外漏相關併發症(罕見)
* 疼痛加劇,手術部位的出血、感染(罕見)
* 因骨質疏鬆造成鄰近節再次骨折
何謂骨水泥
        既然我們要把骨水泥注射到身體裡固定骨折,就不得不認識何謂骨水泥。骨水泥 (bone cement)的成分是聚甲基丙烯酸甲酯 (Polymethyl methacrylate, PMMA),跟工業使用的水泥是有差異的。骨水泥不用時是以粉末與溶液態分開儲存,當要使用時將粉末與溶液快速混合30秒,經過幾分鐘的化學作用,就會形成堅固、耐壓力的固體狀水泥塊。
        台灣的全民健保目前有包含骨水泥品項,然而它的標準用法並不在脊椎上面,因其使用上有固化時會發出高溫與較低的黏稠度容易造成滲漏等缺點。在脊椎骨水泥使用上,我們常見的種類有以下敘述:
* 低溫骨水泥:低溫骨水泥可以在較低溫下固化不會跑到60幾度的高溫造成骨頭壞死,同時可以清楚的顯影,讓醫師在術中方便追蹤骨水泥的流向。市面上低溫骨水泥費用較低。
* 低溫高濃稠骨水泥:相較低溫骨水泥多了高黏稠度與高強度優點,在灌注的過程中比較不容易滲漏,安全性高。低溫高濃稠骨水泥費用較高。
  健保署在2022年7月1日起正式將「脊椎骨水泥」納入健保給付,都是使用安全性高的低溫骨水泥,然而有其給付限制與條件,詳細須至診間與專業醫師諮詢。
  最後,無論使用何種方式治療壓迫性骨折,後續都建議病友接受骨質疏鬆的全人照顧。必須改變生活習慣、預防跌倒、多運動、多曬太陽、攝取富含鈣質及維生素D的食物,搭配骨質疏鬆的藥物延緩骨質流失,才可以減低再次骨折的機率。
結語
  椎體成形術於1990年代發展,至今已經過30多年發展,不管在骨水泥的材料或是手術器械有顯著的進步,提供病人因骨質疏鬆而造成壓迫性骨折的另一種治療選擇。它的優點是手術傷口小、恢復時間快、住院時間短,病人可以迅速回到平日的生活,而且手術的成功率高達九成,也是目前醫師認定有效而且安全的治療方法。
骨科部  陳鈺泓醫師連結網頁介紹
專長:外傷骨折、微創骨折手術、退化性脊椎疾病/關節疾病、脊椎內視鏡手術、骨質疏鬆、經皮椎體成形術、脊椎腫瘤治療、肌肉骨骼超音波
https://www.femh.org.tw/section/sectionDetail2?CID=0287&&DoctorID=92837

 
 
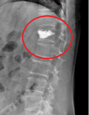
因骨質疏鬆塌陷的椎體,稱為壓迫性骨折
 
 
 

 
 
 
經由經皮椎體成形術填充骨水泥固定骨折