高血壓和腦中風的關係
腦中風(stroke) 自民國52年到民國71年,常居十大死亡原因之首,目前仍居十大死亡原因之第二位。近年來台灣地區每年約有五-六萬人罹患腦中風,其中一萬人因死亡。另一方面而依健保資料顯示,台灣地區因腦血管疾病而住院的病人數,自民國88年至94年間逐年呈現上升的現象,七年約增加25%。其影響不可謂不大。
雖依照病理變化,腦中風可分為兩大類:
(1) 出血性腦中風:約佔20-25%即俗稱的斷腦筋,包括腦出血與蜘蛛膜下腔
血。
(2) 阻塞性腦中風:約佔70%,包括腦血栓與腦栓塞兩大類。
上述分類之中,根據民國74年的研究發現腦梗塞的病患有67%高血壓,而腦出血的病患則高達80%有高血壓。另一方面,台灣地區腦中風的發生率尤其是腦出血所佔的比率比歐美來高,高血壓的控制和腦中風的防治有絕對的關係,所以,高血壓是台灣地區造成腦中風的最重要危險因子。
所謂年輕型腦中風(young stroke) :指年齡介於15至45歲的成人,約佔所有腦中風發生率的3%.,一般認為:
(1) 出血性腦中風所佔的比率更高,約佔4成。
(2) 六成多的病人有不同程度的高血壓,且為最主要的危險因子。
(3) 病患發病前絕大多數未接受高血壓的防治與治療,發病後接受藥物長期
治療的耐受性亦差。
(4) 住院期間約有一成多的病人發生死亡或併發嚴重神經缺損,這些病患絕
大 多數(約佔七成)有中至重度的高血壓。 所以對年青的腦中風病患而言,高血壓的控制格外要緊。
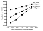
血壓高低與發生中風或其他心血管疾病之風險,為一連續關係。一般而言,平均血壓每增加10毫米汞柱,中風之危險性即增加30%。血壓自115/75毫米汞柱起,不論各個年齡層,中風之死亡率(圖一)與發生率(圖二)皆與血壓成正比。
圖一:各個年齡層中風之死亡率與血壓之關係
圖二:各個年齡層中風之發生率與血壓之關係
高血壓的定義依照聯合國衛生組織/國際高血壓學會準則委員會(WHO/ISH Guideline Committee)與美國全國聯合委員會(Joint National Committee,JNC)一致建議,高血壓定義為血壓高於或等於140/90毫米汞柱。依美國2003年公佈的JNC-7的規範,正常血壓為小於120/80毫米汞柱,血壓120-139/80-89毫米汞柱時稱為高血壓前期。歐洲於2003年公佈的高血壓指引則將正常血壓定義為120-129/80-84毫米汞柱,至於理想血壓則訂為低於120/80毫米汞柱。此外,美國JNC-7 將高血壓程度分為二期(stage),第一期高血壓為血壓介於140-159/90-99毫米汞柱,第二期高血壓為血壓大於或等於160/100毫米汞柱。歐洲將高血壓程度分為三?(grade),輕度高血壓是指血壓140-159/90-99毫米汞柱,中度高血壓指血壓為160-179/100-109毫米汞柱,重度高血壓為血壓≧180/110毫米汞柱。
總而言之,對於尚未中風者與已經發生中風的病人,高血壓控制的越好,中風發生機會越低。因此任何藥物或治療只要能夠有效控制血壓就可以有效降低中風之風險。不管健康的生活方式與飲食習慣(尤其是低鹽飲食與規律的運動習慣)可以有效的減少血壓。不過針對過高的血壓,除了矯正生活方式與飲食習慣外,最好由醫師判斷是否需要使用降壓藥物。糖尿病與腎功能不好者對於血壓控制要更嚴格,標準更低,設定為130/80毫米汞柱。
事實上, 一般人一天24小時之中,血壓不會恆定不變。因而一般我們起碼有三次的測量結果,心收縮壓(systolic pressure)超過160 mmHg或心舒張壓(diastolic pressure)超過90 mmHg ,才算高血壓,所以持續地測量血壓,是預防中風發生的不二法門。在此引用孫運璿資政的話:『預防中風請大家每天量血壓』。
使用金屬支架治療腦中風
腦中風(stroke) 常居十大死亡原因之第二位。近年來台灣地區每年約有五-六萬人罹患腦中風, 其極重有一萬人因而死亡。雖依照病理變化,腦中風可分為兩大類:(1) 出血性腦中風-約佔20-25% (2) 阻塞性腦中風-約佔70%,包括腦血栓與腦栓塞兩大類:
阻塞性腦中風,經過電腦斷層可排除腦出血可能性。近年來,靜脈注射血栓溶解劑可以有效改善病患的預後,但是治療的黃金時間卻只有中風後的3小時,一般而言,從台灣地區各大醫院的統計,小於百分之五的病患能夠幸運的得到這樣的治療。
我們的團隊自民國九十一年起開始發展經動脈導管治療腦部血栓,目前病例已超過100例。同時配合氣球擴張以及金屬支架置放,更為有效達到以往無法治療的效果。
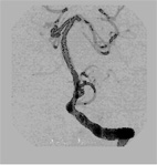
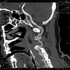
在所有此類病患中,基底動脈腦梗塞,不僅死亡率高達在第十八時以上,同時倖存的病患呈現重度昏迷狀態,且以往的治療方式有其侷限。本院在去年六月,成功的治療一位五十二歲正值黃金時節的壯年男性,將其完全阻塞的基底動脈,如下圖一及圖五。不僅有效的打通阻塞血管(國內外的文獻上尚無支架置放如此長度的報告),而且病患三個月後迅速恢復生活自理和相當程度的工作能力,使得團隊在腦中風全方位治療上,邁向新的里程碑。

圖一基底動脈完全阻塞

圖二微小導管注射血栓溶解劑

圖三氣球擴張和支架置放

圖四還完全打通基底動脈血管

圖五電腦斷層顯示支架置放長達十公分