復發性口腔潰瘍是一種相當常見口腔黏膜疾病,一年中每個月至少要有一次的口腔黏膜潰瘍,才算是典型的復發性口腔潰瘍,口腔潰瘍之個數可能一個或多個,通常發生於非角化、可動性口腔黏膜如頰黏膜、唇黏膜、舌腹黏膜等,急性期疼痛明顯,至慢性期疼痛會緩解。
復發性口腔潰瘍的介紹
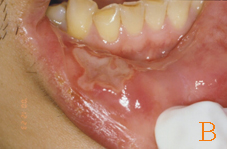
在台灣的發生率約10.5%,臨床上復發性口腔潰瘍有三種型態,小型、大型、泡疹型(如:圖一)。小型的復發性口腔潰瘍為1公分以下,潰瘍約7至14天會復原,小型的復發性口腔潰瘍雖然很小,但有時相當的疼痛。大型的復發性口腔潰瘍直徑約1-3公分,通常要2-6個星期才會癒合,且可能會結痂,大型的復發性口腔潰瘍好發於唇黏膜、軟?等處。泡疹型復發性口腔潰瘍,數目很多,集結成團,且常復發,每個潰瘍直徑約1-3 mm,有時多個小潰瘍會集結起來成為大潰瘍,泡疹型復發性口腔潰瘍約7-10天會痊癒,通常從成人期開始發生,且好發於女性患者。
復發性口腔潰瘍是一種多因子T細胞免疫異常的疾病。多種因子能改變復發性口腔潰瘍患者之免疫反應包括:遺傳、病毒或細菌感染、食物過敏、維他命及微量元素缺乏、系統性疾病、何爾蒙不平衡、機械性傷害和壓力等。
根據我們過去之研究,於355位復發性口腔潰瘍患者中,約13.0%、19.4%、19.7%患者血清中有胃壁細胞抗體(Gastric Parietal Cell Antibody, GPCA)、甲狀腺球蛋白抗體 (Thyroglobulin Antibody, TGA)、甲狀腺微小體抗體(Thyroid Microsomal Antibody, TMA)。血清中的GPCA自體抗體會造成胃壁細胞的破壞,導致胃壁細胞不足或完全破壞,因而無法分泌足夠的內在因子(intrinsic factor) 或完全不產生內在因子,而維生素B12之吸收,必須在維生素B12先和內在因子結合,此複合物才可以在迴腸 (Ileum) 由腸上皮細胞吸收至血液中,分送至全身各處利用。故血清中有GPCA存在時,易導致維生素B12缺乏,嚴重時會引起惡性貧血(Pernicious anemia)。另外血清中有 GPCA存在時,也易導致自體免疫萎縮性胃炎(Autoimmune atrophic Gastritis),且可能進一步演變成胃癌(Gastric Carcinoma)。若病人血清中有TGA 或TMA自體抗體存在時,會引起自體免疫甲狀腺疾病(Autoimmune Thyroid Diseases),最後可能造成甲狀腺功能異常。
復發性口腔潰瘍患者可能會有補血質缺乏(Hematinic Deficiency)及貧血情形
根據我們過去之研究,於273位復發性口腔潰瘍患者中,20.9%患者有血色素 (hemoglobin) 缺乏(男性血色素﹤13 g/dL,女性血色素﹤12 g/dL),20.1%患者有鐵缺乏(血清鐵﹤60 μg/dL),4.8%患者有維生素B12缺乏(維生素B12 ﹤200 pg/mL),2.6%患者有葉酸缺乏(葉酸﹤4 ng/mL)之情形,及7.7%患者有血清同半胱胺酸(homocysteine)濃度過高(> 12.6 μM)之情形,且以上物質的缺乏及同半胱胺酸濃度過高,和疾病之嚴重程度有關。因此建議復發性口腔潰瘍患者,宜於口腔病變開始治療前,先作全血檢查(complete blood count),並檢驗血清中鐵、維生素B12、葉酸及同半胱胺酸濃度,同半胱胺酸是一種心血管疾病危險因子,若患者有維生素B12、葉酸、維生素B6缺乏時,血清中同半胱胺酸濃度會升高,但若給予維生素B12、葉酸、維生素B6治療,則血清中同半胱胺酸濃度會很快下降。若貧血和鐵、維生素B12、葉酸、維生素B6缺乏之情形,可以得到改善,通常約有一半復發性口腔潰瘍患者,其口腔症狀包括口腔潰瘍頻率、嚴重度等,也可以有明顯改善。
復發性口腔潰瘍患者常會有明顯的症狀
如發炎、疼痛、燒灼感等,因此必須給予治療,以減輕其口腔症狀,以利於進食,並改善生活品質。復發性口腔潰瘍之治療,以使用類固醇為主。小型或泡疹型的復發性口腔潰瘍,症狀較輕微,通常給予類固醇軟膏塗抹患處,每天2-3次,約1-2星期,即會有明顯改善或復原。大型的復發性口腔潰瘍,如疼痛且難復原時,可以口服類固醇錠劑(如:Prednisolone,每日40 mg,連續服用5天;再改為每日10-20 mg,連續服用3-4天),至口腔病變緩解為止。復發性口腔潰瘍雖可因為適當的治療,而得到緩解或症狀全部消除,但復發性口腔潰瘍有反覆復發的特性,特別是於情緒不穩、睡眠不足、長途旅行、過度疲勞時,容易復發,因此必須和患者說明清楚,請其維持規律生活,要有足夠運動,放鬆心情,並建議每3至6個月來門診追蹤觀察一次為宜。
復發性口腔潰瘍患者之口腔保健注意事項
* 維持良好口腔衛生,特別是口腔病變區域之清潔維護。
* 避免食用太熱、太鹹、酸性或辛辣食物。
* 維持規律生活,要有足夠運動。
* 避免過勞、晚睡及失眠。
* 有全身性疾病如糖尿病時,要同時治療,如此復發性口腔潰瘍較易獲得改善。
* 復發性口腔潰瘍患者若有貧血、維生素缺乏情形,服用鐵劑、綜合維生素B、維生素B12、葉酸、維生素B6等,會使復發性口腔潰瘍得到明顯改善。
* 復發性口腔潰瘍之治療以局部塗抹類固醇軟膏為主,通常約7天至14天會痊癒。
* 請定期回診,如沒症狀也儘量半年、一年回診一次。
口腔黏膜疾病之種類繁多,如遇到無法正確診斷之口腔黏膜疾病,應轉診給口腔病理專科醫師,作進一步之診斷及治療。



圖一: 復發性口腔潰瘍。(A)發生於舌尖黏膜之小型復發性口腔潰瘍病變。(B)發生於右下唇黏膜之大型復發性口腔潰瘍病變。(C)發生於上唇黏膜之泡疹型復發性口腔潰瘍病變。