何謂雷擊式頭痛?
顧名思義,所謂「雷擊式頭痛」,就是像被雷打到一樣的頭痛。這種頭痛的特點有兩個:第一是非常痛,第二是非常快。所謂非常快,是指頭痛「從開始到最痛」的這段時間非常快,而不是指頭痛消失得非常快。根據定義,這個時間是在一分鐘之內;但稍微比這個長(大概幾分鐘),應該也可以稱為雷擊式頭痛。
雷擊式頭痛的可能原因很多,但最主要的是下列幾種
* 動脈瘤破裂
動脈瘤破裂可能是所有頭痛中,最危險的一種,其中12%到院前就死亡,到院後死亡者還有20%。活下來的病人中,約有一半會留下程度不等的殘疾,譬如說:手腳癱瘓、語言障礙、智力退化等等。換句話說,約1/3的病人會死亡,1/3的病人會殘廢,只有1/3的人康復。
動脈瘤其實並不少見,許多做健康檢查的人,常常無意中發現腦內有動脈瘤。過去的研究顯示,其盛行率是1-3%;也就是每一百個有一到三人腦內有動脈瘤。這樣說起來,豈不是很危險嗎?幸好,多數的動脈瘤都不會破裂;事實上,其中多數人終其一生都沒有發現自己有動脈瘤;國外有許多人過世後捐出大體作醫學研究,所以能夠得到上述的數據。因此,我們也不鼓勵民眾,都來檢查腦內到底有沒有動脈瘤。筆者若不是十幾年前擔任住院醫師時,參加人體試驗時做過一些腦部檢查,也不會知道自己有沒有動脈瘤。
現行的做法是,如果病人描述的頭痛符合雷擊式頭痛的特徵,醫師就會安排檢查去排除是不是有動脈瘤。值得注意的是,有些病患在動脈瘤真的要破裂前的幾天到幾週,有比較輕微的頭痛,就像預告即將到來的災難,被稱為警告頭痛(warning Headache)或是哨兵式頭痛(Sentinel Headache)。筆者在多年前遇到一個病人,因為近來幾天屢屢發作輕微頭痛,醫師安排了電腦斷層並轉來我的門診。預定返診當天早上,病人覺得已經不再頭痛不想來,但太太覺得不妥而代替他來看報告。我在斷層中發現一個動脈瘤(如:圖A),大驚之餘要求馬上帶病人來急診,不料等太太回到家,動脈瘤竟已破裂出血(如:圖B),病人癱瘓在地。經送來急診及後續開刀,雖有改善,仍殘留肢體無力等症狀。後經病人同意,我把這個案例發表在《台灣神經學雜誌》上。
* 可逆性腦血管收縮症候群
可逆性腦血管收縮症候群(Reversible Cerebral Vasoconstriction Syndrome,簡稱RCVS),是一個新的疾病,由一群專家學者在2007年開會制定出來的。這個疾病最大的特點,就是反復產生的雷擊式頭痛;當然,因為病人沒有動脈瘤,也就不會破裂出血,所以頭痛後往往都恢復正常。但這個病也不是完全良性。有一部份的病人,會因為腦血管收縮太強,而產生腦中風或出血,或是併發癲,但通常都比較輕微,也往往恢復良好。
可逆性腦血管收縮症狀群有幾個特點,對有經驗的醫師,並不難診斷。首先,會得這種病,多半是三種人:停經前後(40-60歲)的女性、生產前後的女性、以及年輕男性。以筆者的經驗,台灣絕大多數都是第一類(停經前後的婦女)。其次,病人的雷擊式頭痛,常常併隨幾個特徵性的引發因子(Triggers),包括:性高潮、洗澡、肚子用力的動作(咳嗽、打噴嚏、搬重物、舉重、用力說話、唱歌、大小便等)、劇烈的情緒(大哭或大笑)。再者,有些病人在第一次發病前,有些特殊的前置因子(Predisposing Factor),例如:生產、使用毒品(尤其是在歐美國家,有些毒品例如大麻是合法的)、使用某些藥物等等。病人在反復的雷擊式大痛中,有時會有些小痛。整個病程約持續幾週,但血管收縮可能要到幾個月才會完全恢復。
* 其它
其實還有很多的疾病,可能產生類似雷擊式頭痛。這些疾病可以分為原發性(沒有原因的),或是次發性(有原因的)。原發性的頭痛,包括原發性咳嗽頭痛、原發性性行為相關之頭痛、原發性運動頭痛等,因為引發的因子和可逆性腦血管收縮症候群很像,所以要特別注意區分。而次發性的原因,則包括腦中血、腦出血、動脈剝離(Dissection)、腦下疝畸型(Chiari malformation)、乃至低腦壓頭痛等等,都可能出現雷擊式頭痛。這部份需要醫師的經驗,並輔以適當的檢查來排除。
結語
雷擊式頭痛其實並不少見,可能的原因也很多。以比例而言,動脈瘤破裂其實佔極少數,不必太過恐慌。推廣一步來說,各式各樣的頭痛,幾乎是人人都有的經驗,絕大多數都不是甚麼可怕的疾病,但仍然潛藏許多危機,還是找專門的醫師看診,比較有保障。

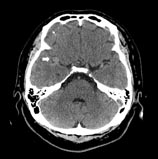
圖A:箭頭所指處即為動脈瘤,直徑約為7毫米。

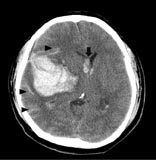
圖B:圖中白色一團即為腦出血,黑色箭頭代表蜘蛛下腔出血,黑色箭號則是代表腦室出血。