即將要過年了,還有好多尾牙、聚會要參加,你是否也想要讓拍照時笑起來有一口潔白的牙齒呢?在路邊的廣告看版、網路上都可以找到各式美白資訊,這麼多類型的牙齒美白,到底哪種才適合我呢?
牙齒美白前的準備
     牙齒美白前,一定要先找牙醫師檢查了解造成牙齒變色的原因,才能選擇適合的美白方式做治療。針對不同的美白方式,有時必須先將有狀況的口腔問題先處理好,例如:尚未治療的蛀牙、有鬆動或缺損的填補物、牙周疾病…等。
牙齒變色的成因
想知道如何美白牙齒前,我們需要先了解造成牙齒變黃、變黑的原因有哪些
* 食物染色(例如喝茶、咖啡、可樂、紅酒、咖哩)
* 抽菸、吃檳榔
* 長期使用含氯己定(chlorhexidine)的漱口水
* 年齡增長,牙齒變黃
* 先天或後天疾病導致牙齒發育不良或變色
* 牙齒發育過程中,使用藥物至一定量,造成牙齒變色:如四環黴素
* 牙齒外傷、蛀牙或牙髓壞死
* 某些金屬材質的填補物、柱心、假牙
牙齒美白的種類
* 噴砂美白
        噴砂美白是以「物理性」方式還原牙齒的顏色。使用碳酸氫鈉配合牙科噴砂機的強力氣體與水柱,將覆蓋在牙齒外表面上的染色斑塊、污垢清除乾淨,還原既有的牙齒顏色,但無法將牙齒底色變白。噴砂美白可以移除牙齒「外表面染色」,例如菸垢、檳榔垢、咖啡漬、茶漬等。但內部染色就無法使用噴砂美白去除,需要搭配其他美白牙齒的方式改善。
* 冷光/雷射美白
        冷光美白或雷射美白為「化學性」方式還原牙齒顏色。使用較高濃度的美白藥劑,在診間由醫師操作下,透過光源讓美白藥劑產生催化反應,可於短時間內達到牙齒美白的效果,常用的光源為冷光或雷射。
* 居家美白
        顧名思義,它就是可以讓病患將牙托和美白藥劑帶回家,經由醫師指導後,在家輕鬆完成牙齒美白療程。居家美白也是利用「化學性」方式美白牙齒。先由醫師在診間印模製作客製化牙托,使之密貼於牙齒表面,讓美白藥劑更加服貼在牙齒表面上,使藥劑發揮較好的美白功效。病患於家中將美白藥劑放在牙托上,再自行戴上即可。
       居家美白因使用相對冷光/雷射美白濃度較低的藥劑,造成牙齒敏感副作用的機會與程度較低,但相對需要較長時間才能達到預期的效果。每天需配戴美白牙托約6-8小時,並須持續約4週左右。
* 全瓷貼片/全瓷冠(牙套)
        全瓷貼片/全瓷冠屬於「覆蓋式」的美白方法,是屬於假牙範疇。製作這一類假牙需要將「牙齒表面磨掉一層」後,再將全瓷貼片或全瓷冠以高強度的黏劑將其黏著在牙齒表面上。此方法可同時改善牙齒形狀及顏色。
牙齒美白的優點
        一旦牙齒潔白了,人看起來就會更年輕更健康,並且更有自信。噴砂美白去除牙齒表面的菸垢與檳榔垢後,亦可改善因這些汙垢帶來的不良氣味。曾經有天天嚼檳榔習慣的患者,在牙齒美白後,除了變得比以前有自信之外,也更願意開口微笑,並且迅速戒掉嚼檳榔的不良習慣。而在牙齒美白治療後,若能搭配更佳的潔牙清潔習慣並定期回診,還可有效去除牙菌斑,預防牙齦發炎、蛀牙、牙齦萎縮、牙周病…等疾病。
牙齒美白的注意事項
* 牙齒敏感:針對使用「化學性方式」美白牙齒(如冷光/雷射美白或居家美白)的病患,有可能於術後產生牙齒酸、或對冷熱敏感的情形。正確操作下而產生的牙齒敏感是暫時性的,休息幾天即可恢復。如果屬於牙齒特別敏感的患者,可在美白前一、兩週開始使用去敏感牙膏,美白期間也持續使用去敏感牙膏,較能預防及改善牙齒敏感的問題。
* 減少食用深色食物,且維持良好口腔清潔:牙齒美白非一勞永逸,牙齒顏色一段時間後會些許回復。減少食用深色食物、三餐飯後確實潔牙、且定期回診檢查,才能讓牙齒的美白效果維持較久
。
※如有需要牙齒美白相關問題諮詢,可以至牙科部門診。
牙科部  陳榆惠醫師
 
專長:固定假牙製作、活動假牙製作、牙體復型

 
 
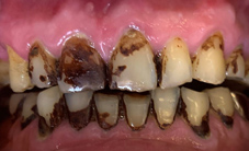
噴砂美白及居家美白前
 
 

 
 
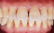
噴砂美白及居家美白後 
 
 

 
 
噴砂美白前
 
 

 
 
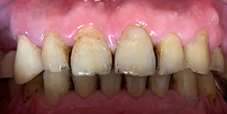
噴砂美白後