腰酸背痛的經驗幾乎人人經歷過,熬夜加班久坐、搬重物負重、彎腰做事姿勢不良等等,日積月累後上了年紀更容易發生。不過看似平常的症狀要特別注意什麼呢?其實八成以上的腰酸背痛找不到特殊病因,通常過一陣子就慢慢自己好了,或者短期的止痛藥使用後在一兩週內改善,這些大部分是因為工作特性,姿勢不良造成肌肉痠痛等,這種情況復健科可以提供電療熱敷的物理性治療與基於功能訓練的職能治療。但少數背痛卻是嚴重疾病的表現,如脊椎骨折、神經壓迫、骨髓炎、癌症骨轉移、僵直性脊椎炎等等,因此要特別注意伴隨以下狀況的背痛就要儘早就醫。
注意有下列狀況的背痛者需儘早就醫
1.發生在嚴重外傷或跌倒撞擊後,這可能與一些外傷造成的骨骼病變有關,比較適合看骨科或神經外科。
2.出現以前沒有過的神經學症狀,如下肢無力、麻痺、大小便失禁或尿不出來,這可能牽涉到神經受損,比較適合看神經內外科。
3.半夜或清晨最痛,通常與發炎有關,適合看過敏免疫風濕科。
4.有發燒、體重減輕等症狀,也許要加上感染科或血液腫瘤科的評估。
其中僵直性脊椎炎雖然不是最緊急的疾患,卻是需要長期治療追蹤的慢性病;患者往往從年輕甚至青少年時期就開始有症狀,早期發現早期開始治療,最能有效改善日後的預後和生活品質,然而因為好好壞壞的症狀,大家常常會以為只是一般的痠痛,有些病人甚至有家族病史卻仍然沒有積極就醫,錯過早期治療是很可惜的。
那麼僵直性脊椎炎會有那些症狀呢?
最常見是超過三個月以上的反覆下背痛,而且是越睡越痛、越睡越僵,半夜或者清晨最不舒服,需要起床活動筋骨半小時以上才會消退;有時會痛在肩頸上背或是肩胛骨中間,尤其是女性患者常以不典型症狀表現。除了背痛,有些患者會表現肩關節、髖關節(大腿根部)、膝蓋、腳踝、腳跟、腳底、胸口兩側肋骨或骨盆邊緣等部位疼痛甚至腫脹,而且疼痛超過一兩個月以上都不見好轉或反覆發生。有些患者對慢性疼痛習以為常,也沒特別就醫,直到發生單眼視力模糊畏光、急性紅眼疼痛的急性虹彩炎,眼科醫師建議轉診風濕免疫科檢查,才發現有僵直性脊椎炎。有的人併發皮膚或指甲的乾癬病變(又名牛皮癬、銀屑病)(如圖一),也有少數人併發發炎性大腸炎的症狀,常反覆拉肚子解血便等。若有因為以上症狀懷疑僵直性脊椎炎病,可以進行X光檢查看是否薦腸關節發炎,加上抽血檢驗HLA-B27,排除其他疾病,確定診斷方向後就可以開始治療。
僵直性脊椎炎的治療
在藥物治療方面包括藥物和非藥物的治療,非藥物方面主要是建立運動習慣、物理治療、戒菸等等,運動有獨立於藥物的效果,對於病人的疼痛減少與活動範圍的維持有積極的意義。藥物部分以非類固醇消炎止痛藥為第一線治療,使用在發炎疼痛的階段大多數患者可獲得良好改善;有時周邊關節疼痛發炎也會加上免疫調節藥,如:斯樂腸溶錠治療。因為此症為慢性病,藥物治療通常需要使用較長的時間而非幾天就好,建議配合醫師回診以監測副作用及療效。對於消炎止痛藥反應不佳或有副作用的患者,現在也有大分子的注射式生物製劑,如:抗腫瘤壞死因子製劑、抗IL-17抗體等製劑,可以提供另一種治療選擇。
治療的目的
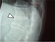
除了改善疼痛外,最重要的是希望能減少脊椎沾黏的併發症,如:嚴重的患者可能脊椎沾黏如竹竿,活動受限且無法正常地彎腰轉頭(如圖二),有些伴隨嚴重的周邊性下肢寡關節炎(如圖三)。
醫療的發展日新月異,生物製劑的針劑治療及標靶藥物的口服治療發展,為第一線治療不佳的病患開啟了一扇新的門,期望對疾病的控制更加完善。
過敏免疫風濕科 張婷惠醫師/吳建陞主任
專長:痛風、類風濕關節炎、僵直性脊椎炎、乾癬性、關節炎、紅斑性狼瘡、乾燥症、血管炎等自體免疫性疾病

圖一、背部的乾癬。乾癬可能出現在少數僵直性脊椎炎病人,表現為界限明顯的表皮增厚,嚴重時有白色鱗屑,故也稱銀屑病。病灶如果出現在隱蔽部位如軀幹、髮際線,就醫時建議主動告知診療的醫師

圖二、僵直性脊椎炎病人的側面腰椎X光。有所謂的邊緣骨刺(白色箭頭)

圖三、踝關節X光顯示關節腔狹窄,僵直性脊椎炎可能造成下肢膝蓋或腳踝的寡關節炎