腦血管疾病的症狀常是瞬間出現,因為「其疾如風」又稱「腦中風」。衛生福利部2016年統計顯示腦血管疾病 (腦中風) 是國人十大主要死因的第四位。腦中風概分為「缺血性腦中風」及「出血性腦中風」,而缺血性約佔全部腦中風病人的80%。傳統觀念常稱腦中風好發於寒冷季節,本文嘗試以實證醫學觀念彙整探討:寒冷天氣與缺血性腦中風關係及民眾如何警覺和處理腦中風。
何謂缺血性腦中風?
缺血性腦中風是「各種原因會造成局部腦組織灌流不足,引致腦組織功能異常或壞死」。缺血性腦中風常造成中度以上殘障後遺症,使病人失去工作能力。
天氣寒冷與缺血性腦中風有關聯嗎 ?
實證醫學證據顯示寒冷天氣確實與腦中風有正相關。文獻統計寒冷天氣誘發缺血性腦中風比率為「暴露於寒冷天氣的民眾」是「非暴露於寒冷天氣的民眾」的2.9倍。
冷天氣會誘發腦中風嗎?
身體暴露於寒冷天氣24-48小時是最容易導致缺血性腦中風的危險期間,可能原因為暴露於低溫環境會誘導血液凝固及血漿黏稠度增加。
低氣溫更需慎防腦中風?
女性、65歲以上長者、身材瘦小者、過去有高血壓或高血脂病史…等這些特定族群更容易於寒冷天氣發生缺血性腦中風。
腦中風除造成高死亡率外,也會造成極高身體的障礙率,所以既有腦中風高危險因子,如:高血壓、糖尿病、高血脂、缺乏運動、抽菸、喝酒、心臟病(尤其是心律不整)及頸動脈硬化…等,必需保持規則用藥,控制既有的腦中風危險因子。另外於低溫天氣時,需保持室內溫暖及避免暴露於戶外寒冷環境。
如何警覺個人與親朋好友發生腦中風的症狀?
最容易引起病人注意的症狀是一側肢體無力,也就是一般民眾所認知的,腦中風會突然間造成「一腳一手」沒有力量及行動不方便。目前被廣泛使用的辛辛那提到院前腦中風量表(Cincinnati Prehospital Stroke Scale)可供民眾參考。這個量表包括三個簡單症狀的描述:臉歪、手臂無力和說話不清。若民眾突發其中一個症狀異常,72%的可能性為腦中風;若三個皆為異常則有82%的可能性為腦中風。
出現腦中風症狀的緊急處置方式?
目前對3小時內發作急性缺血性腦中風有正面療效的藥物是靜脈血栓溶解劑 (rt-PA)。但此類藥物主要副作用會造成體內出血併發症,而且此藥物使用在發病超過3小時後,其出血併發症的風險隨著給藥時間延遲急遽增高,因此使用此藥物必需經由專科醫師判斷符合「適應症」及排除「禁忌症」才能使用。另外有一部份腦中風病人可以考慮動脈血栓移除術來「打通堵塞的血管」、但這類處置存在高風險,必需謹慎評估個案是否符合適應症。所以對疑似急性腦中風發病民眾來說,就是儘快聯絡救護車,最好能於3小時內抵達具備臨床評估急性腦中風、施行血栓溶解劑治療,及動脈血栓移除術的醫院急診接受診治。
結語
能把握「治療黃金時間3小時」的急性腦中風患者,便可以增加康復程?及降低中風後遺症,減輕個人、家庭及社會的醫療照護負擔。
神經醫學部/神經生理診斷科主任 馮偉雄醫師網頁連結介紹
專長:腦退化疾病、腦血管疾病
https://www.femh.org.tw/section/sectionDetail2?CID=0206&&DoctorID=92432

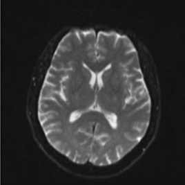
圖一、正常腦部核磁共振影像
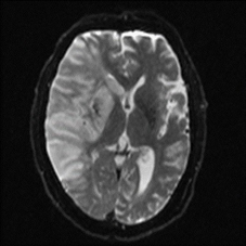
圖二、單側中大腦動脈缺血性腦中風
腦中風徵兆辨別