膽囊炎是個已開發國家中常見的疾病,其中九成五以上的膽囊炎是膽結石所引起的,在統計上又以女性、白人、肥胖、中年人,這些族群率發生率最高。多數的急性膽囊炎並不可怕,許多人的症狀會自行慢慢緩解,但為了避免一些併發症或以後反覆發生膽囊炎,再有症狀時早期尋求醫療協助,是很重要的。
  
膽囊炎
  膽囊炎是指膽囊發炎,常見原因是膽囊出口被膽結石阻塞,膽汁無法順利排出,而造成膽囊漲大發炎。患者常常在飽餐一頓後感覺上腹隱隱作痛,較明確疼痛的位置會落在右上腹,有些人的疼痛感也可能會延伸到後背、右肩胛骨。
膽結石
  膽囊的功能在於儲存膽汁,肝臟製造的膽汁會存放在膽囊內,在我們吃下食物時,膽囊會把膽汁藉由總膽管釋放進小腸幫助消化脂肪。膽汁內的成份包含膽固醇、膽鹽、膽色素、鈣等,有10-15%的人會因個人體質而產生膽結石。
  然而,大多數有膽結石的人終其一生都不會症狀,只有在膽結石剛好卡在膽囊出口時才會出現腹痛症狀。此時,若膽結石可自行掉回膽囊內,患者腹痛的狀況就可能得以緩解,若患者反覆發作或連續疼痛超過數小時無法獲得緩解,通常就需要就醫。
膽囊炎的處理
  就醫時,若醫師懷疑患者有膽囊炎,醫師會安排超音波或電腦斷層、抽血等檢查。
  如經醫師評估後確實為膽囊炎,處理方式一般可分為三種:保守治療、手術治療、膽囊引流。
* 保守治療
  保守治療適合膽囊發炎較不嚴重之患者,包含止痛藥+/-抗生素等,如狀況不危急,可視狀況擇日再接受手術。
* 手術治療
  手術目前常見採微創方式處理,也就是「腹腔鏡膽囊切除術」,其優點是傷口較小,復原也較快。手術會採全身麻醉,以腹腔鏡將膽囊切除,若術前或術中懷疑有膽道結石,醫師會視狀況再做術中膽道攝影檢查。
* 膽囊引流
  若患者手術風險較高,可考慮做膽囊引流。患者可在局部麻醉下經由超音波或X光透視,將引流管穿過皮膚進入肝臟內側的膽囊,引流淤積在膽囊內的膽汁,達到緩解急性膽囊炎的效果。
膽囊切除後飲食注意事項
  膽囊主要的功能是在人們吃下食物時,可以在短時間內把儲存的膽汁釋放到小腸內,幫助消化脂肪。
  膽囊切除後的患者,大約有三分之一的人在吃油膩的食物時會有腹瀉的狀況,這時會建議患者先避開油炸、高脂質的食物,大部分腹瀉的狀況也會三個月內緩解。
結論
  預防膽囊炎的最佳方法是飲食均衡,三餐定時、要吃早餐,少食油膩、高蛋白、刺激性食物等,同時也要養成規律運動習慣。
  肚子裡面器官眾多,但偏偏出問題的時候,表現得又很相似,最常都是用「腹痛」來表現。多數的腹痛都不會出大事情,但確實有些腹痛可能背後隱藏著嚴重甚至致命的危險。所以已有膽結石的人,每年應做一次腹部超音波檢查,定期追蹤是否有變,確保健康。
一般外科  鄧敬坤醫師
專長:胃腸道手術、腹腔鏡胃腸道手術、腹腔鏡膽囊及膽道手術、疝氣手術、內視鏡疝氣手術、乳房手術、甲狀腺手術、皮膚、皮下腫瘤手術

 
 
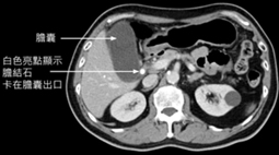
膽結石卡在膽囊出口影像圖片
 
 


 
在嚴重發炎的狀況下「ICG螢光顯影系統」可協助外科醫師分辨總膽管的位置