.文章語音朗讀連結
       在大家的印象之中肝病是台灣的國病,如慢性肝炎、肝硬化與肝癌…等,導致肝臟疾病產生的原因除了台灣人刻苦耐勞、熬夜工作、積勞成疾或過度飲酒之外,最重要的就是病毒導致的肝臟發炎。過去因為台灣的B型肝炎高盛行率,導致肝硬化、肝衰竭與肝癌盛行率居高不下。然而在B型肝炎疫苗注射的普及之下,肝炎盛行率已經大幅下降。肝病已經不再是台灣的國病,取而代之令民眾聞聲色變的是肺癌。
       根據最新的癌登統計資料揭示2020年初次診斷為肺、支氣管及氣管惡性腫瘤者共計16,370 人,當年死因為肺、支氣管及氣管惡性腫瘤者共計9,629人。2020年肺、支氣管及氣管惡性腫瘤發生個案數占全部惡性腫瘤發生個案數的13.42%,當年肺癌死亡人數占全部惡性腫瘤死亡人數的五分之一(19.20%)。肺癌的發生率排名在男性與女性皆為第2位,而且死亡率的排名於男性或女性皆為第1位。肺癌是發生率與死亡率都高的疾病,已經高居十大癌症死因之首近10年,在台灣地區每年新增上萬名罹癌病人。
早期肺癌是個無聲的殺手
  與多數的癌症相似,肺癌早期沒有症狀或是容易被忽略,是個無聲的殺手。也因此大多數肺癌患者被診斷時,已經是無法手術或已經轉移的晚期肺癌。晚期肺癌症狀有:(1)因肋膜積液、氣道與支氣管阻塞而產生的呼吸困難、濃痰、發燒感染與肺膿瘍。(2)因肋膜侵犯、胸壁侵犯、癌症(肋)骨轉移而造成的胸痛、背痛。(3)因肺癌侵犯氣管而造成的咳血。(4)因肺癌細胞轉移擴散至淋巴組織造成的淋巴腫塊。
  
肺癌的高死亡率與診斷即晚期息息相關
  即使近年來標靶藥物與免疫治療在晚期肺癌方面有長足的進展,仍有許許多患者飽受癌症之苦與家庭破碎。以過往的名人事證可知,若是因為肺癌產生身體不適而就醫,往往都是無法手術治療的晚期肺癌,例如:前法務部長陳定南、舞蹈家羅曼菲等。相反地,若是因為主動篩檢發現的肺癌患者,通常有較佳的預後,例如:當今的行政院長陳建仁、前副總統蕭萬長以及名人陳文茜小姐。
低劑量肺部電腦斷層掃瞄
   醫學領域最具權威的新英格蘭醫學期刊(the NEW ENGLAND JOURNAL of MEDICINE, NEJM)分別在2011年以及2020刊登了針對低劑量肺部電腦斷層掃瞄(Low-Dose computed tomography, LDCT)篩檢肺癌的論文,研究結果顯示,針對高風險族群以低劑量肺部電腦斷層掃瞄來做篩檢相對於傳統的胸部放射線常規檢查(chest roentgenoram)可以降低20%肺癌死亡率。
  因此,低劑量肺部電腦斷層是具有國際實證,可以早期發現肺癌的篩檢工具。然而依賴低劑量肺部電腦斷層來做篩檢並非毫無缺點,偽陽性及輻射傷害都是可能的負面影響。因此,對於以低劑量肺部電腦斷層篩檢肺癌的適用對象必須審慎評估。
肺癌早期偵測計畫
  目前衛生福利部國民健康署推行的「肺癌早期偵測計畫」就是針對有肺癌危險因子的高風險族群:(1)具肺癌家族史:50至74歲男性或45至74歲女性,且其父母、子女或兄弟姊妹經診斷為肺癌之民眾。若有吸菸情形,應同意接受戒菸服務。(2)具重度吸菸史:50至74歲吸菸史達30包/年以上,有意願戒菸(若有吸菸情形,應同意接受戒菸服務)或戒菸未達15年之重度吸菸者。安排每2年1次低劑量肺部電腦斷層檢查,以期及早發現並及早治療。配合國家政策本院是專責醫院,由胸腔外科林玠虢醫師開立門診協助有需求的民眾。
肺癌篩檢做得好,千金能買早知道
  雖然俗話說:「千金難買早知道」。這件事情在肺癌的篩檢上是不對的。因為科技的進步,對於疾病的態度也要有所改變。二十世紀強調的是疾病治療,二十一世紀要邁向健康促進。對於擔心罹患肺癌的民眾,不要拘泥於肺癌高風險族群或年齡的限制,應該自行主動安排低劑量肺部電腦斷層,早期發現早期治療。
  本院的胸腔外科、胸腔內科門診與健檢中心都可以幫助有需求的民眾,借助科技的力量,用低劑量肺部電腦斷層篩檢發現早期肺癌、戰勝肺癌。
胸腔外科 郝政鴻醫師網頁連結介紹
專長:肺部微創手術、肺減容手術、縱膈腔腫瘤、重症肌無力、橫膈無力或疝氣、漏斗胸、胸壁腫瘤、肋骨骨折復位手術、腫瘤手術、胃食道逆流手術、人工血管、內視鏡微創空腸造廔
https://www.femh.org.tw/section/sectionDetail2?CID=0284&&DoctorID=91994

 
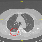
LDCT 健檢發現早期肺癌
 
 

 
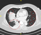
因胸悶、喘、痛就醫。電腦斷層顯示右下肺巨大肺腫瘤與雙側肺轉移。
 
 
參考文獻:
> 台灣癌症登記中心>統計分析>癌症年報 https://twcr.tw/?page_id=1354
> 衛生福利部國民健康署>癌症防治 >肺癌防治 >肺癌早期偵測計畫 https://www.hpa.gov.tw/Pages/List.aspx?nodeid=4619
> National Lung Screening Trial Research T, Aberle DR, Adams AM et al. Reduced lung-cancer mortality with low-dose computed tomographic screening. N Engl J Med 2011; 365: 395-409
> de Koning HJ, van der Aalst CM, de Jong PA et al. Reduced Lung-Cancer Mortality with Volume CT Screening in a Randomized Trial. N Engl J Med 2020; 382: 503-513