.文章語音朗讀連結
  我們有時會聽到「腦子進水了」的玩笑話,事實上,人的腦結構真的有水,而且還不少呢?
  
  腦的組成主要有腦細胞、血液及腦脊髓液。人體「腦脊髓液」的製造、回流和吸收,都在一個穩定的動態運行。成年人每日約產出300-500ml 的「腦脊髓液」,在中樞神經系統內維持的總量,在成人平均約為 150ml。腦脊髓液對中樞神經系統達到緩衝和支撐的作用,能協同調節顱內壓力、促進腦血流量的恆定,參與腦和脊髓神經的代謝,提供營養、協助清除代謝廢物並維持中樞神經系統正常的PH值,所以是腦內的重要成份之一。當受到了破壞,例如:分泌過多、吸收不良或循環通道有所阻塞,就會使腦脊髓液異常的堆積在腦部因而造成水腦症。而老年人好發的常壓性水腦症,因表現及病徵與失智及巴金森氏症相似,常被忽略,尤以在現今高齡社會的台灣,故與大家介紹此疾病。
  
疾病與症狀表現
   常壓性水腦症(idiopathic Normal Pressure Hydrocephalus, iNPH),最初在1965年的研究中被首次描述,是少數可以經由治療得到改善的失智症。這類病人的腦壓增加的不明顯,僅比正常人稍高,最主要的症狀:步態不穩(磁石性步態)、尿失禁、行為及認知功能受損。初期發生一些症狀時,容易被認為是正常的老化現象而被忽略,有些病人會合併日常生活反應變慢、思考慢半拍、常忘東忘西、恍神嗜睡、目光呆滯、顯著地人格改變等。病程演進較快速,通常數月間就有顯著症狀,不同於失智症屬於數年內慢慢退化。也因此容易造成老人跌倒風險大增,甚有顱內出血及骨折…等,嚴重問題而導致生活自理能力下降,家庭負荷增加,甚至加速了健康惡化。
常壓性水腦症診斷與治療
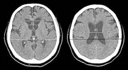
  除了臨床的表徵外,主要的診斷工具為腦部的電腦斷層掃瞄或核磁共振檢查。在醫學影像上會發現腦室擴大,或合併有較大的側邊腦溝(如圖一),臨床上若遇疑似病案,通過影像檢查及臨床症狀判斷,可初步懷疑是水腦症 (possible hydrocephalus),若欲進一步提升診斷,可加做腰椎穿刺測試(lumbar tapping test)測量腦脊髓液壓力並先體外引流20-30 ml 左右的脊髓液,若病人有獲得改善,則其診斷的確定性增加為極像水腦症(probable hydrocephalus),此時病人若接受腦脊髓液分流管裝置手術後有持續性的進步,則可確診為水腦症(definite hydrocephalus),這是常壓性水腦症診斷的特別之處。
  在治療上,過去常使用藥物治療:如利尿劑、腦循環促進劑,但實際療效並不顯著。目前已知水腦症的治療仍以外科手術為較有效治療,主要為腦脊髓液分流手術(裝置人工管路以引流出顱內過多的腦脊髓液),便能有效的控制顱內壓。 
  
        目前的手術選擇,有傳統的「腦室腹腔引流系統」或新引進免開腦的「腰椎-腹腔引流系統」兩種方式(如圖二),用以建置一個長期的體內引流系統,並依照病人的症狀變化和影像判讀,逐步調整適當的引流量。 
  一般來說,住院約3至4天,手術規模小,成功率高,手術時間約莫1至2小時,術後半天可下床活動,48小時內可出院。手術後的傷口如:頭部、頸部及腰部等處,都屬小型傷口,需保持乾燥以避免感染,照護並不困難。大部分病人在術後幾天後會有明顯的改善,有些病人則在數週後又出現術前症狀,此時會再施予腦斷層掃描檢查,目前多採用經體外多段調節引流閥,若腦斷層追蹤下發現引流量不足或過量,只需用電子式調節器晶體外將引流壓力調整到最適合的位階,便能使症狀更加改善。
  
水腦症治療的價值
  常壓性水腦症的影響及治療會大幅度的改善病人的步態、尿失禁及認知功能。並減少老人因跌倒發生意外後的就醫次數及未來的健康狀態,對家庭照顧影響甚巨,喪失自理能力不單是個人問題,甚至會影響整個家庭的正常生活。
   
結語
  本院神經外科及失智中心密切合作下,自2008年起針對老年常壓性水腦症的診斷及治療,已累積超過300例以上病例數,其中又於2012年引進新式的腰椎腹腔引流管置放手術,讓水腦症病人可接受不必開腦的引流手術,使得病人接受治療的意願大增,目前已累積超過120例以上成功案例,本院會持續精進診斷及治療的精準性,希望在即將邁入超高齡社會的台灣提供更多的醫療服務。
神經外科   黃詩浩醫師網頁連結介紹
專長:腦血管疾病(腦血管、動靜脈畸形、缺血性腦病)、微創腦血管手術、神經腫瘤疾病(腦腫瘤,腦下垂體瘤,顱底瘤,脊椎腫瘤)、微創腦瘤手術、退化性脊椎疾病、微創脊椎手術、水腦症治療
https://www.femh.org.tw/section/sectionDetail2?CID=0282&&DoctorID=87905

 
圖一、醫學影像上會發現腦室擴大或合併有較大的側邊腦溝
圖片來源:https://healthjade.net/ventricles-of-the-brain/.
 

 
圖二、「腦室腹腔引流系統」與「腰椎-腹腔引流系統」示意圖
圖片來源:https://www.presurgmedia.com/knowledge/hydrocephalus#Before-Surgery