:::

『植牙』 讓您美觀且笑口常開

牙科部  

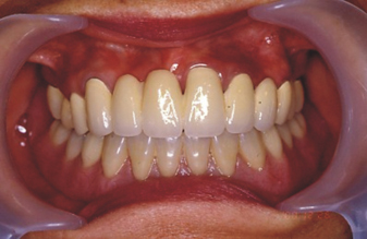
『植牙』 讓您美觀且笑口常開(相關圖片)    「醫生,我媽媽的全口假牙好像戴不住,吃一頓飯咬好久,還常常抱怨很痛!」

 

     「醫生,我以前的假牙,缺一顆就磨兩顆做成三顆,後來磨的牙又蛀壞了,我真的很怕再磨掉好的牙齒了!」

 

     您或您周遭的親朋好友是否也有類似的困擾?根據統計,台灣民眾65歲以上的人口中,有九成的人口中有假牙,其中四成有活動假牙;口中有超過20顆自然牙的人不到六成。牙齒對每個人的健康、營養需求、說話、外貌、社交活動等都非常重要,終其一生都要好好照顧。

 

傳統假牙的做法

    牙齒還是以自然牙最好。可是如果不幸缺了一顆或兩顆牙,傳統上製作牙橋必須修磨掉相鄰的至少兩顆以上的牙齒,反而又增加這些牙齒蛀牙或牙周病的機會,力量上的負擔也加重。

 

植牙的優點

n   不需再修磨隔壁好的牙齒,保留牙齒的完整性,減少再蛀牙的機會。

n   取代活動假牙,避免配戴活動假牙的不適。

n   咬合感及形態接近自然牙。

n   對於必須配戴活動假牙的情況,利用植牙可使活動假牙更穩固。

 

   現在有很多人選擇植牙的方式,免去再傷害好的牙齒,咬力增加了,清潔上也比牙橋容易。

 

    植牙治療已逐漸普遍,但畢竟屬於侵入性的治療,有各個面向(包含骨質、骨量、咬合、全口狀況、身體狀況等)專業的考量,絕不是「缺牙就種」。如果您也有缺牙的困擾,請先諮詢專科醫師,經由完整詳盡的檢查,提供屬於您適當的治療方式。

 

諮詢專線:(02) 7728-220  牙科部假牙補缀科、人工植牙特約門診