經食道超音波(TEE)在院外心臟驟停(OHCA)中的應用及其重要性
  院外心臟驟停(Out-of-Hospital Cardiac Arrest, OHCA)是指在醫院外的環境中,患者心臟功能停止並無法自主跳動,是一項重大公共健康問題。這種情況極度危急,若不及時處理,可能導致死亡或嚴重的腦損傷,使患者無法回歸社會。OHCA患者的標準治療包括心肺復甦術(CPR)和使用自動體外去顫器(AED)。CPR的核心步驟是胸外按壓,它在心臟停止時維持心臟及腦部血流供應,至關重要。
  
TEE的基礎概念
  經食道超音波(Transesophageal Echocardiography, TEE)是一種高清晰的心臟影像技術,已在許多急診和重症醫學領域中發揮了重要作用。與經胸超音波(Transthoracic Echocardiography, TTE)相比,TEE具有更高的影像解析度,特別適合在CPR過程中使用。TEE是利用超音波探頭經由食道接近心臟,由於食道與心臟間無任何干擾組織,易獲取高解析度的心臟結構影像,尤其在CPR進行時,可以不受胸壁壓胸的干擾,可連續監測心臟活動和血液動態。
TEE在CPR中的應用
   TEE在心肺復甦術中的應用越來越普遍。當病人遭遇心搏停止(cardiac arrest)時,醫療團隊可以迅速插入TEE探頭,並在不影響CPR的情況下,實時監測心臟的壓迫情況及血流動態。這種可視化的技術允許醫療人員調整按壓位置和深度,以提高自主循環恢復率(ROSC)。
* 精準定位壓胸位置:研究表明,按壓位置對ROSC有顯著影響。TEE可以清楚地顯示心臟瓣膜和主要血管的情況,幫助急救人員避免壓迫主動脈瓣,從而提高急救的成功率。
* 協助決策:在CPR過程中,TEE還能快速診斷其他潛在病因,如心包填塞、心肌梗塞或主動脈剝離等,這些信息對於及時做出治療決策至關重要。
  在一項前瞻性觀察性研究中,我們利用TEE觀察送至急診的OHCA病人在CPR過程中,壓迫到心臟出口的比例及其對臨床結局的影響。在患者送至亞東醫院急診後,先利用TEE觀察胸外按壓的狀況,再依照是否有壓迫到心臟出口(主動脈瓣)來區分為有壓迫組及未壓迫組。研究顯示,未壓迫到心臟出口的患者組比壓迫到心臟出口的患者組,有更高的ROSC機會(53.8%對24.3%)和更高的存活至加護病房的機會(33.3%對8.1%)。這代表壓迫到心臟出口會顯著降低胸外按壓的成效。
  
TEE在ECMO和其他復甦技術中的應用
  在使用葉克膜(Extracorporeal Membrane Oxygenation, ECMO)等先進復甦技術時,TEE可以提供實時引導,確保管道正確插入,避免損傷心臟結構。此外,TEE還能幫助監測動脈球囊反搏術(IABP)和主動脈球囊閉合術(REBOA)的位置,增強復甦效率。TEE的應用範圍廣泛,特別是在急診醫學中,它能幫助醫療人員在複雜的復甦環境中,做出更精確的診斷和治療決策,進一步提高急救效果。
創新與標準化操作
  本院急診醫學部在運用TEE輔助OHCA患者急救方面取得了顯著成效。團隊不僅開發了標準化操作流程(CURE protocol),還進行了多次專業工作坊,以提高急診醫療人員對TEE的操作熟練度和應用效率。這些培訓和標準化措施確保了TEE在急救過程中的一致性和高效性。此外,我們還通過持續的質量改進計畫,監測和分析TEE操作的數據,進一步提高了急救的成功率。
  
臨床研究與成果
  自2019年至2024年5月,本院急診部已累計執行約270例使用TEE導向CPR的急救案例,無一例併發症。這些成功案例顯示,TEE技術不僅提高了CPR的質量,還顯著提高了病人的ROSC。我們的研究也顯示,標準位置的按壓有高達48.7%的機率壓迫到心臟出口,這顯著降低了ROSC及存活至加護病房的機會。因此,我們的下一步將是盡早識別需要調整胸外按壓位置的患者。
  
未來的發展方向
  未來,TEE在急診醫學中的應用前景廣闊。本院計畫推廣急診經食道超音波資料庫的建立,以及推動到院前TEE檢查的常規化。這些舉措旨在進一步提高急救的效率和效果,並促進相關研究的發展。除此之外,與國際機構合作開發AI模型,用於自動判讀TEE影像,將有助於實現更精確的急救技術應用。
  
  為了進一步提高臨床應用效果,我們計畫將醫師及護理師帶至到院前第一線的現場,使用攜帶式的TEE設備,讓更多病人能夠更早接受到TEE檢查,及時調整胸外按壓位置,改善血流狀況。我們相信,隨著技術的不斷進步,TEE的應用範圍和重要性將會進一步擴展,成為急診醫學中的重要工具之一。
結語
  經食道超音波在急診醫學中的應用極大地改變了心肺復甦術的實施方式。它不僅能提供實時的心臟影像,指導急救操作,還能提高急救效率和患者的生存機會。亞東此次研究已發表在國際頂級期刊《重症照護醫學》(Critical Care Medicine),引起了廣泛的國際關注。我們將繼續努力,將這些研究成果應用於臨床,以期讓更多患者受益。
  
  總結而言,避免在CPR過程中壓迫心臟出口(主動脈瓣)對於改善短期臨床結果(如ROSC及存活至加護病房等)非常重要。然而,對於長期臨床結果的影響仍需進一步研究。我們的研究顯示,透過TEE技術的應用,能夠顯著提升急救效果,並可能改變OHCA患者的預後。
  
發表文獻:國際期刊-《重症照護醫學》(Critical Care Medicine)2024年9月第52期。
  

 
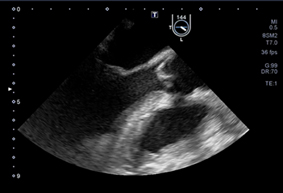
圖一、TEE可觀查主動脈瓣是否壓迫及清晰的心臟影像
 
 
 

 
圖二、TEE於CPR時導引ECMO的放置
 
 

 
圖三、朱聖恩醫師在2024年世界急診醫學會發表