.文章語音朗讀連結
什麼是達文西機器手臂手術
  達文西手術,是現今手術中最尖端的微創技術之一。它結合高精度機械手臂、3D高清視野與虛擬實境技術,為外科醫生提供無可取代的精細操作能力。
傳統、微創、達文西手術比較說明
       要簡單比喻的話,不妨以「探囊取物」舉例:
* 傳統手術:就像將整個囊袋徹底打開,用雙手直接將物品取出。其優勢是快速、直接,視野清晰,但代價是傷口大、恢復慢。這種手術適合需要大範圍操作或極端複雜的情況,對患者的身體負擔較大。
* 一般微創手術:如同在囊袋上開一個小洞,使用相機畫面(2D)進行視野輔助,再開一個小洞伸入筷子,掙扎著將物品夾出。這種手術傷口小、復原快,但受限於直線型的器械,操作較需要熟悉與技巧性,尤其在需要複雜解剖處理的情況下。
* 達文西手術:好比在囊袋上開小洞,但視野像完全打開囊般清晰,再開小洞伸入「縮小十倍的雙手」,穩定且靈活地完成操作。達文西手術的傷口同樣小,但操作精細、穩定,特別適合需要高度精準的手術。
達文西手術與膽囊相關疾病
  膽囊疾病是消化系統中常見的問題,其中膽結石和膽囊息肉是最主要的兩類病變。傳統的膽囊切除術雖然有效,但其恢復期較長,且手術後的疤痕影響外觀。隨著微創技術與相伴隨的安全手術技巧出現,患者的治療選擇得到了極大的改善。
* 膽結石
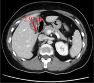
  膽結石是膽囊內結晶化的硬塊,可能導致右上腹劇痛、噁心、嘔吐等症狀。根據病情,無症狀的膽結石患者可以選擇觀察,但對於反覆疼痛或高風險的患者,如結石直徑超過3公分或伴隨糖尿病,建議手術治療。
  
* 膽囊息肉
  膽囊息肉通常是膽囊壁上的良性腫瘤,但直徑超過1公分的息肉存在惡性變化的風險。尤其當息肉快速增大或伴隨症狀時,需考慮手術切除。平時有上腹或右上腹陣痛的民眾,不坊來亞東醫院就診,除了胃炎、胃潰瘍、胃食道逆流等原因外,膽囊疾病也是常見的病因。
達文西單孔膽囊切除手術
   45歲的全職媽媽,過去1年因右上腹反覆疼痛影響生活,檢查發現膽囊內有兩顆約3公分的大膽結石。「我擔心手術會留下疤痕,所以一直拖延治療,但疼痛越來越頻繁,最後不得不尋求解決辦法。」,並選擇了達文西單孔膽囊切除術。手術不到1小時完成,術後疼痛輕微,隔天即出院。「傷口藏在肚臍,真的幾乎看不到,也不太痛,好像沒開過刀。」術後回診時她忍不住對張醫師說。達文西單孔膽囊切除術(da Vinci Single-Site Cholecystectomy)以高端微創技術成為膽囊疾病人者的新選擇。該手術僅需在肚臍處開一個約2.5公分的小切口,特色為隱藏疤痕、降低術後疼痛、縮短住院天數及復原時間,全程利用機械手臂進行高精度操作,並結合達文西機器內建的螢光系統,能精準辨認膽管周圍解剖結構,大幅降低膽管損傷等併發症風險。
結語
  膽囊相關疾病在現代醫學中已不再是難題。達文西單孔膽囊切除術以其微創、精準與快速恢復的優勢,為患者帶來了前所未有的手術新選擇。醫師提醒,外科醫師不僅是手術的執行者,更是病人的醫療顧問和罹病期間的夥伴。在面對每位病人時,醫師會全面評估疾病的嚴重程度、患者的健康狀況及生活需求,提供可能的手術選項,並詳細解釋每種術式的優缺點。
  
  每一種手術模式都有其特色、優勢與限制,選擇適合病人的術式是每位患者的權利。而外科醫生的責任,是為病人提供各種選擇,並根據疾病特性與嚴重程度提供專業建議。
  
  「適合病人的手術才是最好的手術。」達文西手術的出現,並非是要取代傳統手術或腹腔鏡手術,而是為患者提供更多元化的選擇。醫師與病人共同決策,才能達到最佳的治療效果。
創傷科  張堯任醫師網頁連結介紹
專長:微創減重手術、機械手臂單孔膽囊切除手術、上腹部疼痛鑑別診斷、微創疝氣手術、乳房疾病微創手術、甲狀腺疾病與手術、重大腹部疾病與外傷手術
 https://www.femh.org.tw/section/sectionDetail2?CID=0288&&DoctorID=F0278
 
 
近3公分膽結石併腹痛
 
 

 
 
術中螢光導引,精準辨認膽管
 
 

 
 
外科醫師控制台
 
 

 
 
機械手臂,聚焦精細動作
 
 

 
 
單一肚臍切口,術後回診照片