.文章語音朗讀連結
  王伯伯, 65歲的男性,是一位長期飽受重症肌無力症(Myasthenia Gravis, MG)所苦的患者。他的病程始於50歲出頭那年,起初症狀輕微,僅限於下午或傍晚出現力不從心。當時,王伯伯會感覺到眼睛疲勞,出現複視(double vision)和眼瞼下垂(ptosis),甚至連抬頭都感到吃力,說話也變得含糊不清(dysarthria)。這些症狀在早晨起床時通常會消失,讓他可以正常活動。然而,隨著時間推移,症狀逐漸加劇,影響到他的日常生活。
  在神經內科醫師的診斷過程中,抽血檢驗發現王伯伯體內有異常的乙醯膽鹼受體(Acetylcholine Receptor, AChR)自體抗體,而電生理檢查(electromyography)也證實了神經肌肉接合處的傳導異常。這些結果最終確診王伯伯患有全身性重症肌無力症(generalized myasthenia gravis),這是一種自體免疫疾病,會導致身體產生攻擊神經肌肉接合處的抗體,造成肌肉無力。
  確診重症肌無力後,王伯伯開始在神經內科門診接受常規藥物治療。他服用俗稱「大力丸」的抗膽鹼酯酶藥物Pyridostigmine(商品名Mestinon),以及口服皮質類固醇。起初,藥物治療效果良好,王伯伯的肌無力症狀得到控制,生活品質也逐漸穩定下來。然而,最近幾個月,他的病情卻出現惡化跡象,肌無力症狀時常加重,甚至需要增加藥物劑量才能勉強控制。
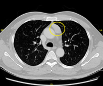
  由於病情反覆且有惡化跡象,神經內科醫師安排王伯伯進行胸腔電腦斷層掃描 (Chest computed tomography)。檢查結果顯示,王伯伯的前縱隔腔 (anterior mediastinum) 存在一個直徑約五公分的腫瘤,懷疑是惡性的胸腺瘤 (thymoma)。考慮到王伯伯的病情和影像學檢查結果,神經內科醫師建議他轉診至胸腔外科,進一步評估進行根治性全胸腺切除手術的可行性。
重症肌無力症與胸腺的關係密切
  許多研究指出,胸腺增生(thymic hyperplasia)在重症肌無力症的發生發展中扮演著重要的角色。根據統計數據,約有三分之二的重症肌無力症患者有胸腺增生現象,而其中約四分之一的患者則會發展成胸腺瘤。胸腺切除手術 (thymectomy) 作為一種有效的治療方式,除了藥物治療之外,針對疾病的病理基礎做根除性治療。
  早在1939年,Blalock醫師即發現移除胸腺腫瘤能有效改善重症肌無力症的症狀。隨後,Blalock醫師更進一步針對沒有胸腺瘤的患者進行胸腺切除手術,並發現超過半數的患者病情獲得改善。時至今日,醫學界普遍認為,對於有胸腺瘤的重症肌無力症患者,手術切除胸腺瘤並同時清除增生的胸腺組織,是改善症狀和減少藥物依賴的有效方法。而對於沒有胸腺瘤的患者,大多數學者認為,針對在青春期後至60歲之間的重症肌無力症患者,進行胸腺切除手術能有效改善病情,成功率可達60-80%。2016年發表於權威醫學期刊《新英格蘭醫學雜誌》(NEJM) 的研究也證實了這一點,指出接受胸腺切除術的患者較少需要使用免疫抑制劑,且因肌無力惡化而住院治療的機率也較低。
傳統的胸腺切除手術
  採用正中開胸手術 (median sternotomy),雖然手術視野良好,但術後傷口疼痛、癒合不良以及呼吸衰竭等併發症的風險也相對較高。隨著醫學科技的進步,微創手術技術,如胸腔鏡手術 (VATS) 和達文西機械人輔助手術 (da Vinci robotic surgery),已逐漸取代傳統開胸手術。這些微創手術方法能有效減少傷口大小,降低術後併發症的發生率,縮短住院時間,加快病患的恢復速度。
達文西機器人輔助全胸腺切除手術
  通常分為六個步驟進行,每個步驟都要求精細的操作技巧和對解剖結構的深入了解。六個步驟分別:(1)胸骨後分離:從胸骨後縱隔胸膜循序切開,直至到達橫膈;(2)將無名靜脈分離:在無名靜脈上方建立通道,並結紮無名靜脈上的胸腺靜脈分支;(3)將胸腺最上端自頸部軟組織分離,需要小心謹慎地分離,避免損傷無名靜脈和對側的膈神經;(4)保護左側膈神經;(5)將胸腺下端與心包膜分離;(6)最後將胸腺組織與胸腺瘤自胸壁切口取出。手術醫師透過達文西系統的三維內視鏡系統,能清晰地觀察手術視野,靈活的機械手臂和精密器械則能提高手術的精確度和安全性。較小的傷口和較少的組織牽拉,進一步減少了術後疼痛和併發症,讓患者能更快恢復健康。
結語
  在達文西機械人手術系統的輔助下,王伯伯順利完成了根治性全胸腺切除手術。術後,他沒有出現嚴重的傷口疼痛或呼吸衰竭等併發症,行動自如,肌無力症狀也沒有惡化。經過一個星期的術後恢復和照護,王伯伯順利出院,生活品質也獲得明顯改善。這個案例展現了機械人輔助微創手術在治療重症肌無力症方面的優勢,為患者提供了更安全、有效且恢復期更短的治療選擇。
胸腔外科  郝政鴻主任網頁連結介紹
專長:肺部微創手術(肺癌、氣胸、膿胸)、肺部轉移性腫瘤、肺減容手術、縱膈腔腫瘤、感染、異物、重症肌無力、橫膈無力或疝氣、漏斗胸、胸壁腫瘤、肋骨骨折復位手術、創傷
https://www.femh.org.tw/section/sectionDetail2?CID=0284&&DoctorID=91994
參考文獻
> Brown LM, Louie BE. Robot-Assisted Total Thymectomy: How I Teach It. Ann Thorac Surg 2017; 103: 369-372
Coco D, Leanza S. Robotic thymectomy: a review of techniques and results. Kardiochir Torakochirurgia Pol 2023; 20: 36-44
> Raza B, Dhamija A, Abbas G et al. Robotic thymectomy for myasthenia gravis surgical techniques and outcomes. J Thorac Dis 2021; 13: 6187-6194
> Wolfe GI, Kaminski HJ, Aban IB et al. Randomized Trial of Thymectomy in Myasthenia Gravis. N Engl J Med 2016; 375: 511-522

 
 
達文西輔助全胸腺切除手術僅需三個小切口
 
 

 
 
圈圈標示處為前縱隔腔腫瘤 (胸腺瘤)