.文章語音朗讀連結
  您的孩子常抱怨足部、腳踝疼痛,或常有足踝扭傷、走不久、或容易跌倒的困擾嗎?這樣的小朋友常常有個特色,就是足部又平又扁,或是無法完全蹲踞,甚至有容易發胖的體質。
何謂扁平足
        扁平足,俗稱「鴨母腳蹄」,可大分為彈性扁平足及僵硬性扁平足二種,而絕大多數的扁平足都屬於彈性扁平足,又稱為功能性扁平足,也就是當腳站立承重時,足弓會塌陷變扁平或消失,但當腳懸空不承重、站立墊腳尖或將腳拇趾做伸展動作時,足弓則會出現,而堅硬性扁平足的定義為不管腳有無承重,足弓都呈現扁平。
        足部是人體與地面接觸的介面,它必須有足夠強韌度以承受人體的重量,又必須有適當的柔軟性以適應不同的地面環境。為了扮演如此兩極化的角色,人類乃演化出「足弓」如此一個微妙的構造。在步行週期的承重期到站立中期,足弓可發揮減震的效果。
兒童足部成長發展三階段
* 在3歲以前,幾乎每個小朋友都是扁平足,是因為兒童足部筋膜相對柔軟,因此於站立時,無法出現足弓,此時的扁平足不會有不適的症狀,也無需治療。
* 4-6歲後,隨著兒童成長足弓逐漸發育,扁平足比率也逐漸降低。此時如果發現孩子有扁平足,且常抱怨腳痠,走不遠,可以考慮使用足弓加強鞋墊來支撐足部。
* 7-9歲以後,大部分兒童的足弓已發育完成,但仍有一群小朋友存在扁平足的情形。這群兒童常有一些共同的特色包括︰不耐久站與久走,足部內側疼痛、常扭傷跌倒,甚至因此造成骨折。建議接受專業兒童骨科醫師的治療。
扁平足的症狀
  有扁平足的人通常會有哪些症狀呢?由於扁平足會使足部關節的活動度增加,整個足部相對較不穩定,所以走起路來就像有正常足弓的人走在沙地或彈簧床上的情形類似,會呈現走路不穩及較吃力的情形,而兒童扁平足通常不會有疼痛症狀,只有在走路或跑步時容易不穩而跌倒、站或走一段路容易腳酸、運動平衡能力較差或有步態異常的情形。
  通常扁平足疼痛症狀要到青春期時。才容易顯現,因青少年時期的活動量及體重都急遽增加,使不正常的足弓反覆負荷過量,進而容易產生足底筋膜炎、蹠痛、肌腱炎、足部疼痛及肌肉酸痛,甚至造成膝痛及腰酸背痛等問題,隨著年齡的增長,這些症狀的發生率會愈高且情況也會更加嚴重。此外有一群扁平足的兒童是來自於跟腱過緊的結果,這群兒童常伴隨著蹲踞困難,運動能力不佳與肥胖。
治療的原則分成兩部分
* 保守治療
  平時常做拉筋,增加跟腱柔軟度,運動前,須有足夠的暖身,並使用護踝等保護措施,可降低扭傷的機會;如有內側足部疼痛與不耐走的兒童,可以先用足弓支撐鞋墊改善症狀。
  但不論是矯正鞋或是足弓支撐鞋墊,都只有症狀緩解的效果,並無法真正矯正變形的足部。
* 手術矯正
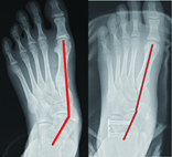
  如有前述症狀,且使用保守治療後仍無效者,建議手術矯正治療。仍在成長期的兒童(一般為國小階段)可接受踞骨下矯正器置入(又稱距下關節制動術subtalar arthroeresis) 手術合併跟腱延長、後脛肌加強術,(圖二、三),筆者建議此類手術最佳的年齡為7-12歲之兒童,此時兒童筋骨較為柔軟,手術後恢復期較短,矯正效果也較好。
  如骨骼發育已接近完成的青少年(一般為上國中以後)或是扁平足變形程度較大的兒童,考慮手術矯正時,則需施行跟骨延長矯正手術(圖四),較能達到良好的矯正效果。
骨科部足踝與兒童骨科   藍宗裕醫師網頁連結介紹
專長:微創扁平足矯正手術、微創拇趾(大腳趾)外翻矯正手術、微創X腿與O型腿矯正手術、足踝內視鏡微創手術與韌帶縫合重建手術、長短腳矯正與骨延長手術、兒童與青少年髖關節發育不全矯正手術、兒童骨折創傷手術
https://www.femh.org.tw/section/sectionDetail2?CID=0287&&DoctorID=89199

 
 
圖一、扁平足
 
 

 
圖二、此患者為雙側扁平足,左側為矯正前,右側為矯正後
 
 

 
圖三、手術治療前與手術治療後,距骨與第一蹠骨夾角於術後獲得改善(28度→0度)
 

 
圖四、跟骨延長術前與術後,前足外翻獲得良好的矯正