有些故事,從一場「腹痛」開始。那天,一位中年婦人痛得臉色發白、右手緊壓著上腹。她問:「醫師,我是不是胃痛」?
這句話在急診室裡天天出現,但對負責疾症治療的創傷科醫師來說,每一次都可能是截然不同的疾病。經詢問病狀且詳實的檢查後,我們發現她罹患的是急性膽囊炎,這是一種常見又不可輕忽的疾病,而它的源頭,其實是多數人都有但未察覺的「膽結石」。
小小膽囊,大大學問
膽囊是位於肝臟下方的小囊袋,負責儲存與釋放膽汁,當我們吃油膩食物時,膽汁會幫助消化脂肪。但若膽汁成分不平衡,就可能形成膽結石。
許多人其實帶著膽結石生活而不自知,醫學上稱為「無症狀性膽結石」。但實際上,這所謂的無症狀未必是永久的,一旦結石卡在出口、導致阻塞,就可能引發症狀性膽結石,典型症狀包括右上腹與上腹劇痛、噁心、嘔吐,有時還會痛到後背或右肩。此外,膽囊內也可能出現膽息肉,若膽息肉大於1公分,或伴隨結石、形狀不規則時,建議手術切除,以避免變化成惡性的風險。
膽結石的三大併發症
膽結石若未妥善處理,可能導致以下三種常見的併發症:
* 膽囊炎:結石堵住出口使膽汁無法排出,導致膽囊發炎。患者通常會有持續右上腹痛、發燒,甚至出現寒顫。
* 膽管炎:若結石掉入連接膽囊的膽管造成阻塞與感染,容易引發高燒與黃疸,恐造成危險的敗血症狀況。
* 膽性胰臟炎:結石卡在膽胰共同管口,導致胰臟分泌物回流、就會造成膽性胰臟炎,引起劇烈上腹痛與嘔吐,甚至可能休克。
醫師提醒,如果出現持續上腹痛、發燒、黃疸、或疼痛放射到背部等情形,就應立即就醫,切勿自行忍耐或拖延,否則可能演變為緊急手術甚至危及生命。
從「多孔」到「單孔」─膽囊手術的精準革命
過去,膽囊切除的方式從最傳統的開腹手術,右上腹一條20公分長以上的傷口,演變成以「腹腔鏡多孔法」為主,醫師需在腹部開3到4個小孔進行操作。雖然相較傳統開大刀傷口小許多,但仍會在上腹留下數個明顯疤痕、術後疼痛較明顯,美觀也略受損。
近年,本院引進達文西機械手臂系統後,創傷外科再導入了「機械手臂單孔膽囊切除術(Da Vinci Robotic Single Incision Cholecystectomy)」。手術只需在肚臍開一個約2.5公分的小孔,精細的機械手臂與清晰的鏡頭可以同時進入腹腔,完成膽囊切除。
* 單孔手術的最大優點
* 疤痕幾乎看不見(藏在肚臍皺摺中)
* 疼痛感更低、恢復更快
* 住院時間縮短、恢復快,迅速回歸正常生活
許多病人術後隔天就能下床,日常活動恢復迅速,回診時甚至會問:醫師,我真的有開刀嗎?
精準又溫柔的高科技「達文西機械手臂」
機械手臂可將視野放大10倍、操作角度靈活自如,能在狹窄空間中精準完成細微動作。它不是機器人自動操作,而是由醫師透過主控台操作,操控機械手臂,每一個動作都由人腦指令完成。
機械手臂讓醫師的手更穩、更靈巧,也讓病人更安全。對我們來說,它不是取代醫師的科技,而是延伸人類能力的夥伴。這項技術也象徵醫療新時代的轉變:從傳統的「開刀治病」,進化成兼顧精準、美觀與生活品質的醫療照護。
病人的故事
那位深夜上腹痛的婦人,在檢查後確診急性膽囊炎,,醫療團隊當日即啟動機械手臂單孔手術流程,僅1小時半就順利完成手術。術後當天,她已能下床行走和飲食,並於術後隔天順利出院,隔月的回診她開心的說:「醫師,我的肚子竟然沒有疤!」
這句話,讓診間所有人都露出笑容。那天的急性腹痛,居然在那麼短的時間內就得到控制,只是她生活中的一個小插曲。病人的這份信任與安心,是創傷科團隊最想守護的東西。科技再進步,也比不上病人恢復健康時的笑容。
結語:從腹痛到希望
對病人而言,一場上腹痛可能只是偶然的疼痛;但在亞東醫院,我們看到的是一個改善生活品質、減少痛苦的契機。從腹腔鏡多孔到機械手臂單孔,是醫療科技的革命;而從病人害怕的眼神到安心的笑容,則是醫療人文的延伸。
創傷科不僅搶救生命,也關心生活的細節。希望讓病人不只是「被治療」,而是能真正「重回生活」。這就是創傷科團隊努力的方向,用科技讓醫療更有溫度;用專業,讓健康更靠近。
創傷科 張堯任醫師網頁連結介紹
專長:膽囊疾病、機器手臂單孔、膽囊切除手術、機器手臂疝氣修補手術、腹痛鑑別診斷

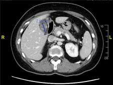
斷層掃描顯示膽結石3公分,塞滿了整個膽囊。

術中膽管螢光顯影,達文西機械手臂內建,可清晰顯現膽管構造避免受傷。

外科醫師操控台,運用靈活手腕及穩定性遠端操控機械手臂開刀。