從創傷到重生
那是一位曾因車禍腹部重創的阿公,緊急手術止血後,他奇蹟般撿回一命,但半年後再度走進診間時,腹部鼓起、疼痛不已,檢查發現是嚴重的腹壁疝氣。他低聲說:「那次救了我,但這幾年真的過不下去。」太太在旁流著眼淚說:「我們願意再開刀,想讓他好好過日子」。那一刻,深刻體會到,創傷醫師的工作,不只是於急救時搶救生命,更是在病情穩定後幫助病人生活得更好。
腹壁疝氣的困擾
腹壁疝氣是腹腔器官或脂肪從肌肉縫隙中突出。常見於外傷或手術後,若傷口癒合不全、腹壓上升,就可能形成一個「永久的破口」。對患者而言,這種狀況會導致腹部變形、無力、疼痛,連走路、吃飯、彎腰都成為負擔。雖然不會立刻危及生命,卻極大地影響生活品質與自信。
傳統手術與機械手臂手術的不同
過去,腹壁重建手術需要開長切口、翻開腹壁、再分離沾黏與重建肌肉結構。手術時間長、出血多、疼痛明顯,術後恢復期動輒二週以上。對年長者或曾多次開刀的病人而言,往往是一項艱鉅挑戰。
近年來,亞東醫院創傷科導入了機械手臂腹壁重建手術(Robotic Abdominal Wall Reconstruction)。「這項技術的出現,讓我們能以微創方式完成過去必須開大刀的重建」。手術僅需在腹部開3到4個小孔,醫師透過機械手臂在三維立體視野下操作,可穩定地分離沾黏層、修補破口、重新內收鬆弛的肌肉,最後以補片固定重建整體張力。機械手臂能模擬人手動作,關節靈活、操作穩定,病人失血少、疼痛低、恢復快,多數能在3到5天內出院。
重建的不只是腹壁
那位車禍阿公接受機械手臂手術後,腹壁的巨大缺損成功修補,術後第三天就能自行下床。回診時,他挺直腰桿、笑著說:「醫師,我又能去逛市場買東西了」,這樣的笑容就是醫師最想看到的。
機械手臂讓我們得以將精準、微創的理念,應用在創傷後重建這一塊。只要多幾個小孔,就能讓病人重新回歸正常生活,這是外傷醫學最溫柔的進步。更可貴的事情是,械手臂腹壁重建手術能解決的不僅限於外傷後的後遺症,更能廣泛應用於各種腹部手術後的切口疝氣併發症。
鼓勵與提醒
腹壁疝氣不是小問題,若出現腹部隆起、疼痛、腸脹氣或無法排氣排便等情形,都應儘早就醫。
過去許多病人因害怕手術或以為「撐著就好」而延誤治療,但現在微創與機械手臂技術的成熟,已讓手術變得更安全、更有效率。「只要願意面對,就有機會重獲新生。別讓腹壁的缺口成為生活的枷鎖,現在的醫療能幫你重建的不只是腹部,更是信心與尊嚴。」
結語:從創傷到希望
在創傷醫學的世界裡,我們與時間賽跑,也與生活同行。手術室裡的機械手臂,並不只是科技的象徵,它是醫師的延伸,讓手術更穩、更精準,也更溫柔。
本院創傷科團隊相信,每一道疤痕,都能被專業與關懷縫合。從急救到重建,我們守護的不只是生命,更是病人回歸日常、重新挺胸走路的那份笑容。
創傷科 張堯任醫師/林恆甫主任
專長:膽囊疾病、機器手臂單孔、膽囊切除手術、機器手臂疝氣修補手術、腹痛鑑別診斷

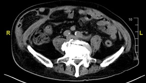
斷層掃描顯示右下腹巨大腹壁疝氣併腸外露。

手術前標示腹壁疝氣,協助微創手術進行。

機械手臂架設須確實、精細,以便後續主刀者操作。