兒童換牙期間,門齒是否順利萌發往往是家長最關心的問題之一。有些孩子的牙齒卻遲遲沒有長出來,這種情況不一定只是發育較慢,而可能是牙齒萌發受到阻礙所造成。
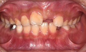
7歲10個月的小安在母親陪同下前來兒童牙科求診,主訴是左上門齒一直沒有長出來,家長一直感覺到很煩惱,小朋友也因為缺齒而不敢大笑。家長表示,孩子右側門齒早已萌發,但左側門齒卻遲遲沒有動靜,因此希望醫師進一步評估。
門齒萌發障礙
一般而言,上顎正中門齒大約在7至9歲之間萌發。如果一側門齒已萌發超過6個月,而另一側仍未長出,就需要懷疑是否存在萌發障礙的問題。
經過檢查後,確認小安屬於典型的門齒萌發障礙,小安臉型比例大致正常,沒有中臉部發育不足的情形。上下嘴唇位置接近理想位置,側臉外觀自然,整體臉型屬於正常範圍。造成門齒無法萌發的原因很多,像是有多生牙(佔42-62%)、嚴重的牙齒錯位、囊腫或齒瘤造成的阻生、尚未脫落的乳牙、牙根有彎曲或黏連以及太厚的牙齦牙周組織都會造成門齒無法萌發。經過口內檢查及放射線學檢查,小安是因為左上正中門齒底下有齒瘤,擋到了牙齒的正常萌發路徑,屬於局部性的病理因素;空間分析也發現,上顎左側門牙區域僅有約8毫米空間,但研究顯示正中門齒萌發通常需要至少9毫米空間,因此空間不足也是左上門齒無法萌發的原因之一。
因此建議拍攝術前牙科立體斷層掃描,確認其位置後,在全身麻醉下移除齒瘤,並利用局部矯正(2×3矯正裝置)增加萌發空間,再觀察1年以等待恆牙自動萌發的可能性。可惜的是,小安在移除齒瘤並增加空間以後,左上門齒並未自動萌發,因此與家長討論後,決定採取較積極的矯正與手術合併治療方式。
閉合式萌發手術
由於阻生之左上門牙位置較深,本案例採用「閉合式萌發手術」搭配矯正治療。有研究顯示閉合式萌發手術有較好的牙齦高度、牙周組織和牙髓狀態;而開放式萌發手術的牙齒會有較長的牙冠和較少的骨質支撐。手術中醫師將牙齦翻開,在左上門齒表面黏著不銹鋼鎖鍊,並連接至口內主線,再將牙齦復位縫合。之後利用矯正器施加持續而溫和的力量,使牙齒逐漸向下移動。
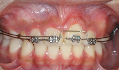
牙齒萌發後,醫師進一步使用不同矯正技術來調整牙齒的位置與角度。治療過程中使用直徑較小的鎳鈦合金鋼線進行初期排列,再改用不鏽鋼鋼線提供較穩定的控制力。此外也使用「雙力系統」,同時施加主鋼線與輔助鋼線力量,使左上門齒在被拉出的同時能維持良好的角度與方向。最後進行牙齦修整,讓牙齒露出的形態更加自然。
治療完成後,小安的門牙順利萌發並排列整齊。咬合關係穩定,外觀自然,且可看到非常豐厚的角化牙齦和骨頭。家長與小安對治療成果都非常滿意。
兒童牙科醫師的叮嚀
一般來說,兒童的早期矯正為阻斷性矯正,目的在兒童混合齒列期(約7-11歲),利用骨骼發育具可塑性的優勢,早期干預牙齒與顎骨的生長問題;並非如成人矯正需完美的排列出牙齒的角度與上下顎關係。除了萌發障礙以外,可處理的兒童早期矯正問題包括引導顎骨生長、改善前牙/後牙錯咬(避免上下顎歪斜)、或嚴重的暴牙/深咬(降低前牙受傷風險),擴張齒弓以創造足夠的空間給恆牙萌發,或修正不良口腔習癖以防止對顎骨施力進而變形。
然而,由於矯正治療時間較長(1.5-2年)也較不舒適,若因病況複雜需使用傳統矯正,其口腔清潔也較困難。小朋友需要有較強的治療動機,才有完成早期矯正的可能性與動力,這方面就需要爸爸媽媽、小朋友與醫師相互配合。希望每個小朋友都能有健康的牙齒與美麗的笑容,讓牙醫叔叔、牙醫阿姨與爸爸媽媽們一起努力吧!
牙科部兒童牙科 賴俊成醫師網頁連結介紹
專長:兒童牙科、青少年矯正、贗復牙科

左上門齒萌發障礙

雙力系統使左上門齒在被拉出的同時能維持良好的角度與方向

以斷層掃描確認齒瘤位置並移除