腦中風分兩種:一、「阻塞性中風」又稱缺血性或梗塞性腦中風,是腦部的血管阻塞,佔所有腦中風的70%。二、「出血性中風」則是因動脈硬化或高血壓造成動脈破裂,佔30%。兩者都會引致腦部血液供應不足,造成腦部受傷,引發身體某些部分或思考功能暫時或永久失去功能,如肢體癱瘓、語言障礙、嘴歪、眼斜、流口水、暈眩、嘔吐、步伐不穩及大小便失禁等,若不及時醫治,將可能導致意識昏迷,甚至死亡。
腦血管塞住了怎麼辨?
一旦發生腦中風症狀時應立即送往醫院,以爭取時間來提供即時有效治療。目前,臨床上證實,發病三小時內接受靜脈注射血栓溶解治療(iv-tPA) ,發病三小時以上六小時以內,若醫院有執行動脈注射血栓溶解治療能力,建議使用動脈注射血栓溶解治療。
靜脈血栓溶解劑 (tPA):其目的是用靜脈注射tPA將血管打通,以減少腦梗塞的影響,但必須符合嚴格的條件限制。如年齡要在18~80歲間、發病3小時內且確定無腦內出血等才能使用此藥物。接受治療的病患約三分之一在三個月後恢復較好之功能,但有6%機率會發生腦部出血的可能,所以必須由神經科醫師詳細評估方可使用。
動脈血栓溶解劑:這是一種新的治療方式,在中風發生後6小時之內利用血管攝影確定阻塞血管位置,並經由動脈導管在阻塞處局部注射血栓溶解劑將血管打通,仍然有一定的危險性,且所要動用的人員及設備較多,並非一般醫院能夠提供,所以必須由神經科醫師詳細評估。
減壓性手術及開顱手術:缺血性腦中風產生的腦水腫會在發病第3~5天引致顱內壓增高,梗塞範圍越大,顱內壓升高的情況越嚴重。小型腦梗塞不會引起致命的顱內壓升高。神經科醫師會根據腦部影像結果及臨床表現決定是否給予降腦壓治療,如Glycerol或mannitol降腦壓藥物注射。但對於大範圍的缺血性中風或顱內出血嚴重的病患,預期因腫塊效應所導致腦壓升高引起高死亡率,治療必須把頭骨打開減壓,以免腦部過度腫脹;同時也可以將腦內出血的血塊清除,降低腫塊現象。神經內科醫師會同神經外科醫師評估病人的狀況,是否需要開刀治療。
再度發生腦中風時怎麼辦?
有腦中風病史的患者以後發生中風機率是一般人的六倍,約有八成患者會發作第二次中風。
一、家屬務必保持鎮靜。
二、鬆開患者束緊的衣物如領帶、皮帶、胸罩,以維持足夠的換氣量。
三、保持呼吸道的通暢,維持側臥,不餵食任何東西。
四、儘速打119請救護車送至設備完善的醫院。
無論為何種類形的腦中風都必須緊急送醫治療,把握病發的關鍵3小時,以降低死亡率及失能的程度。根據目前研究指出,血栓溶解藥物是治療急性缺血性腦中風急救的唯一方法,但必須在病發3小時內使用,且嚴格篩檢符合條件,所以中風的病患,一定要趕快送醫院接受處理,才能使傷害減到最低。


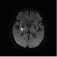
右側大腦阻塞性腦中風(電腦斷層(左)、核磁共振(右))

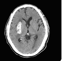
右側大腦出血性腦中風