
近日寒流ㄧ波一波的來襲且日夜溫差極大,農曆新年期間後正是腦中風或心血管疾病的好發時節。寒冷的天氣使得人們的血管收縮,血壓升高,血液循環變差,進而增加心血管或腦血管的發病機率。尤其是每當深夜許多長輩們在溫暖的被窩中需要下床上廁所,但因為夜晚氣溫驟降,溫熱的身體接觸冰冷的地板,如果您沒有穿上襪子或保暖的衣服,可能會導致血壓急速上升進而引發腦中風或心血管疾病的發生。高血壓乃為引發腦中風的重要危險因子,因此,氣溫驟降時更應注意自己及家人的健康。若原本就有腦血管硬化的民眾,腦中風的機會也就大為增加。根據行政院衛生署公佈的最新資料顯示,癌症已經連續25年蟬聯國人十大死因的第一位,2007年台灣地區人民十大死因依死亡人數排序,前三名分別為(1)惡性腫瘤(癌症)占28.9%;(2)心臟病占9.3%;(3)腦血管疾病(中風)占9.2%。由此可知威脅我們生命最大的殺手,主要是惡性腫瘤、心血管疾病以及高血壓、糖尿病或高血脂等俗稱「三高」的慢性病。要降低腦中風的罹病機率或死亡率的方法,除了維持健康的生活形態以及作好血糖、血脂、血壓的控制外,若能定期規劃做一套針對腦血管病變的磁振照影(MRI)高階影像健檢來了解自己腦部組織及血管的狀況以期早日發現和治療,必定能使您與您的家人的健康得到最好的照顧。
* 誰需要做預防腦中風的檢查?
1.好發年齡:年紀愈大愈易發生中風。
2.高血壓病史:腦中風最重要的危險因子。
3.糖尿病病史:長期高血糖會加速動脈血管硬化。
4.家族心臟病史、有高血脂者。抽菸者的發病機率為非吸菸者的2倍。
5.小中風(暫時性腦缺血):曾有腦中風病史者之後發生中風的機率是一般人的6倍。
* 腦中風預防之道:定期規劃合宜的健康檢查
建議年滿四十歲以上的成人,應每三年一次定期接受健保局給付的成人健康檢查。而六十五歲以上老年人,則應每年一次定期接受檢查。如果您是高血壓的患者或家族中有人罹患高血壓或心臟病,應定期量血壓、血糖及血膽固醇,以減少腦中風發生的機會。亞東醫學中心為提供大台北縣地區最優質的醫療品質與預防保健,不惜成本斥資近億,重金引進全台唯一最新型的西門子磁振照影(MRI)高階影像儀器。近年來MRI在醫療運用已經愈來愈廣泛,從頭頂到腳底、從癌症、腦中風到心血管疾病、從診斷到追蹤,已是現代醫學不可或缺的利器;MRI 的檢查屬於非侵襲性風險極低,對於人體軟組織病變有很高的偵測與診斷價值,但因造價不斐,所以只有在大型醫院或醫學中心層級以上的醫院才有能力設置。
磁振造影是一種非常高階的醫學影像技術,因此它所需的設備自然是成本昂貴。本院健康管理中心在2009年引進最新的西門子1.5T磁振造影系統(Siemens Avanto 1.5T A Tim-CT System),作為高階影像健檢之用途。在硬體方面,除前面已提及的部份外,另一項特色是它配備了最新的Tim-CT (Total image Matrix Continuous Table Movement)技術,在掃描時檢查台可以連續移動,所以受檢者不會因要檢查不同部位需重覆上下檢查台,或是需要放射師更換覆蓋於受檢者身上的線圈,如此一來可大大縮短了擷取影像的時間,讓檢查的過程更快速也更舒適,此外更是全台灣唯一在同級的系統上配置32 通道的頭部線圈,大幅提昇掃描的速度,讓受檢者更容易配合,除了兼顧受檢者的舒適外也不忽略檢查的品質。
本院除原本的MRI設備外引進第二台高階MRI儀器,搭配上陣容堅強的腦血管與放射科醫師團隊,以及歷年所累積的臨床經驗,能夠為您及您的家人提供最完善且最深入的腦中風的預防與檢查項目,以下有幾個實際的臨床個案:
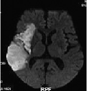
圖一

患者為一57歲男性,經由磁振造影的技術,不需注射顯影劑,即可清楚地看出右側中大腦動脈有嚴重的阻塞(上圖紅色圈圈標示的位置),在右圖中,白色的區域顯示出大腦中風的範圍。
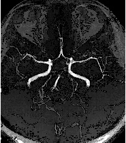
圖二

圖一、圖二由影像醫學科賴彥君醫師提供圖片及解說
這是另外一位受檢者,利用磁振血管造影顯示出大腦內部血管的狀況,主要的大腦血管均暢通,無明顯狹窄的情形。 此外,除了大腦內部的血管可探查清楚之外,雙側的頸動脈血管及更深部的椎動脈亦可在同一次檢查當中一目瞭然 (如上圖所示)
* 年節家戶團圓放輕鬆,健康絕對不可放輕鬆
每逢農曆年節,糖尿病、高血壓等病患的飲食控制也跟著放假,寒流來襲氣溫驟降,在您與家人團聚的同時也別忘了為您及您的家人安排一次完善的健康檢查。亞東醫院健康管理中心在春節期間為您及家人準備一份最適合中高齡者的健康禮物來共同對抗金融風暴所帶來的不景氣,只要兩人以上同行至本院安排【高階影像健檢組套】便享有超值優惠專案價,讓全家都能夠永保安康,心動了嗎?把握時機邀請您的另一半或父母共同體驗一趟優質的健康之旅吧!
◎ 活動內容:請參照本中心網頁資訊,網址:http://depart.femh.org.tw/hmc/
◎ 活動期間:即日起至98/02/28以前,以排定檢查日期為準。
◎ 聯絡電話:高階健檢洽詢專線:(02)8966-7000轉分機2345按1再按1