頸部的腫塊約有高達70%到80%是惡性腫瘤轉移,其中的70%到80%源發於耳鼻喉的範圍,如鼻咽癌、下咽癌、口腔癌及喉炎等。國人常見的鼻咽癌以頸部腫塊為初始表現的病人約有60%到90%,所以當一個病人發現頸部的腫塊應該馬上由專業的耳鼻喉科醫師近行詳細的頭頸部局部檢查,先確定有無耳鼻喉範圍的惡性腫瘤。冒然進行頸部腫塊的切片有時候並非必要,反而會影響往後的治療及預後,要幫病人進行切片前不可不甚。
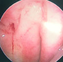
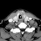
我們耳鼻喉科常接到其它科醫師因頸部切片後轉診要進行局部檢查的病患 (圖1),一看就發現在鼻咽部 (圖2)有明顯的腫瘤,以內視鏡鼻咽部切片證實為鼻咽癌,類似這種鼻咽癌的患者是不需要進行頸部腫塊的切片手術。所以無論如何,只要有頸部的腫塊應該馬上由專業的耳鼻喉科醫師進行詳細的頭頸部局部檢查,不宜冒然的進行頸部腫塊的切片。
圖1. 病患李先生接受頸部切片後轉診到耳鼻喉科進行局部檢查

圖2. 李先生在鼻咽部有明顯的腫瘤,鼻咽部切片證實為鼻咽癌
頭頸部軟組織超音波是檢查頭頸部腫塊的一項利器;頻率2萬赫茲(20 KHz)為人類耳朵可以聽到的最高閾值,超音波指的是頻率超過2萬赫茲(20 KHz)的任何聲波或振動,人類的耳朵無法感受到,所以叫超音波。超音波的研究與發明是在一次世界大戰開始,當時德軍利用潛水艇封鎖大西洋,協約國工程師想突破此一防線,卻苦無方法。直到第二次世界大戰,隨著聲納(SONAR)的發明,才將超音波第一次應用在潛水艇偵測上,所以才有甚麼獵殺U-571等電影的題材;至於醫學上的嘗試,則是在1950年代後期才開始應用。
醫用超音波的原理是利用音波在各組織間的反射、折射、散射不同, 藉由聲訊的改變, 經過運算後以亮點表現在螢幕上;超音波可以看穿肌肉及軟組織,用來掃描器官,以協助醫療上的診斷和治療。我們可以利用超音波成像法透視身體,如婦產科週產期超音波用在懷孕時期的檢查。由於超音波不能穿透骨頭,所以有些被骨頭擋著的器官無法用超音波檢查;雖然超音波對人體傷害比較低,但仍不能完全取代X光,因為有些地方超音波看不到。常用的超音波大約介於 2MHz 到 10MHz 的頻率,較高頻率穿透度較低,但解析度較高;高頻率超音波還可以用在泌尿道振波碎石術。
超音波影像和現有臨床常用的醫學影像系統(如: X光、電腦斷層掃描、核磁共振攝影、核醫影像等)相較之下,具有低價格、非侵入式、無放射性危險、即時影像、釐米級的影像解析度、可攜性、並可量測血流等優點,所以目前超音波影像幾乎已被廣泛應用臨床各科的診斷上。
耳鼻喉頭頸部需要檢查的部份沒有被骨頭擋住,距離皮膚表皮相對於其它內臟要淺,比起其它部位的超音波檢查其實是很容易的。過去頭頸部超音波檢查多是由內科內分泌醫師,或者是影像科醫師進行。目前由專業的耳鼻喉科醫師來進行耳鼻喉科軟組織超音波逐漸變成一種潮流。因為耳鼻喉科醫師其實是頭頸部外科醫師,常常要進行頭頸部的手術,對於頭頸部立體空間的構造平常就很熟悉,就像在自己家裡的廚房一樣不會迷路;另外耳鼻喉科醫師診斷後,就可以幫病人進行手術治療,不用再轉手它人,手術後也可以再以超音波追蹤,這樣才是一個有聯貫全面性的醫療。
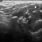
頭頸部軟組織超音波除了影像檢查外,還可以進行超音波導引下細針穿刺(Ultrasound-guided fine-needle aspiration) (圖3),醫師會請病患平躺在治療檯上,肩下墊一枕頭,採頭部後仰及頸部伸展的姿式。用超音波檢查頸部腫塊後,再用空針於超音波導引下,穿過皮膚抽取腫塊內的細胞或體液並送化驗。穿刺後以酒精棉球或紗部壓迫止血約5至10分鐘即可。如此就可以獲得檢體檢查,往往進行超音波導引下細針穿刺細胞學檢查後就可以獲得診斷。相對於徒手進行的細針穿刺,超音波導引下細針穿刺可以目視細針在目標腫塊穿刺(圖4),因而可確保檢體的品質。相較於徒手進行的細針穿刺約有三成比例的檢體品質不佳,超音波導引下細針穿刺約只有5% 的比例檢體品質不佳。因此對於那些界限糢糊不清,徒手難以定位的頸部腫塊,超音波導引下細針穿刺是很好的檢查工具。

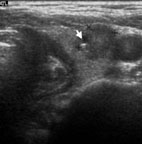
圖3. 頭頸部超音波檢查(圖左)及超音波導引下細針穿刺模式圖,可以目視細針在目標腫塊穿刺(圖右)

圖4 超音波導引下細針穿刺,可以目視細針(箭頭所指處)在目標腫塊穿刺,因而可確保檢體的品質
目前頭頸部軟組織超音波被用於頭頸部的腫塊的檢查,應用範圍包括原因不明的頭頸腫塊、甲狀腺及唾液腺腫瘤及其它特定目的的檢查。
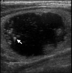
就原因不明的頭頸腫塊而言,先評估是否為淋巴結,或者是其它腫塊(如甲狀腺舌骨囊腫、脂肪瘤血管瘤等),或者只是正常器官的變異 ( 如頸動脈球、脊椎骨的橫突或胸索乳突肌的肥大等)。淋巴結而言,需要評估是否是惡性淋巴結的可能,在超音波下,如果短徑比長徑比大於0.5(接近圓形)、音波均質性、形狀不規則、邊緣不清楚、異常的血流分布等,會懷疑是惡性淋巴結。亞東醫院頭頸部超音波開發結合了病人的年齡、短徑長徑比值、音波均質性及血流分布,經由加權計算獲得惡性淋巴結預測值,如果預測值高於7分,有91.3%的敏感度及88.2%的特異度來預測惡性淋巴結,一旦懷疑是惡性淋巴結,我們就會建議進行超音波導引下細針穿刺(圖3)。
蔡先生因在左頸有腫塊而到耳鼻喉科門診就診(圖5),頭頸部的局部檢查除了左頸有界限糢糊不清的腫塊外其它包括鼻咽部(圖6)並沒有明顯異常,以頭頸部超音波檢查發現淋巴結預測值高於7分(圖7),超音波導引下細針穿刺細胞學檢查懷疑是轉移性鼻咽癌後,接受內視鏡鼻咽部切片證實為鼻咽癌。由於蔡先生超音波導引下細針穿刺細胞學檢查,避免了過去常見的頸部腫塊的切片手術。蔡先生接受放射腺治療後,腫塊即消失,因此可見頸部腫塊的切片手術對於鼻咽癌的診斷治療是不必要的。

圖5. 蔡先生因在左頸有界限糢糊不清的腫塊而到耳鼻喉科就診

圖6. 蔡先生頭頸部局部檢查鼻咽部沒明顯的腫瘤

圖7. 頭頸部軟組織超音波檢查,惡性淋巴結預測值高於7分,超音波導引下細針穿刺懷疑是轉移性鼻咽癌,後由鼻咽部切片證實為鼻咽癌
就甲狀腺而言,頭頸部超音波可以用來評估是否為甲狀腺癌的可能性,最常見的甲狀腺癌是乳突甲狀腺癌(papillary thyroid cancer),超音波下看起來大部份是實心的腫瘤(圖8)、形狀不規則、邊緣不清楚、異常的血流,腫瘤前後徑大於橫徑、微小鈣化,低超音波影像、淋巴腺轉移,或是聲帶麻痺等。有懷疑甲狀腺癌也可以進行超音波導引下細針穿刺細胞學檢查。此類甲狀腺癌儘早診斷,手術治療都有不錯的預後。

圖8. 典型的乳突甲狀腺癌,頭頸部超音波檢查發現腫瘤形狀不規則、邊緣不清楚微小鈣化
沒有症狀 (摸不出來,也沒有異常甲狀腺賀爾蒙分泌) 的甲狀腺結節被稱為甲狀腺偶發瘤 (Incidentaloma of thyroid),據估計,約有高達50%的人身上會有甲狀腺偶發瘤。隨著影像學檢查儀器的進步,發現甲狀偶發瘤的機會越來越高。甲狀偶發瘤並不全然是良性腫瘤,其中約有4~7%的比例會是甲狀腺癌,以分化良好的乳突癌為主。如何找出甲狀腺偶發瘤裡面的甲狀腺癌,超音波導引下細針穿刺細胞學檢查是ㄧ個好方法。
楊小姐因為頸部酸痛到耳鼻喉科門診求診,頭頸部的局部檢查並沒有明顯異常,頭頸部超音波檢查發現右側甲狀腺結節(圖9),低超音波影像發現是實心的腫瘤且有微小鈣化,超音波導引下細針穿刺細胞學檢查發現甲狀腺偶發瘤裡面的甲狀腺癌。病患接受甲狀腺切除手術,發現只有一個一公分不到的甲狀腺微小癌 (Microcarcinoma of thyroid) (圖10)。甲狀腺微小癌是指小於1公分的微小甲狀腺癌,大部分的甲狀腺偶發瘤裡面的甲狀腺癌大小會小於1公分,所以也會是甲狀腺微小癌,頭頸部超音波檢查可以用來及早診斷甲狀腺微小癌,甚至 2mm 的甲狀腺微小癌都有可能被超音波發現。

圖9. 楊小姐因為頸部酸痛到耳鼻喉科門診求診,頭頸部的局部檢查並沒有明顯異常,頭頸部超音波檢查發現右側甲狀腺結節,超音波影像發現是實心的腫瘤且有微小鈣化(箭頭所指處),超音波導引下細針穿刺細胞學檢查發現甲狀腺乳突。

圖10. 楊小姐接受甲狀腺切除手術,發現只有一個一公分不到的甲狀腺微小乳突癌(箭頭所指處)
除了甲狀腺癌外,甲狀腺最常見的發現是甲狀腺結節出現的囊化的現像,又常被稱為出血性囊腫(Hemorrhagic cyst of the thyroid),如果超音波影像發現如同慧星尾巴的樣子 (Comet tail sign) (圖11),幾乎可以斷定為良性的甲狀腺囊腫,用細針將裡面的內容物抽出,甲狀腺囊腫會馬上消失,達到診斷與治療的效果。另外門診偶有喉部不適的病患,老是覺得頸部卡卡的,超音波影像發現出血性囊腫,用細針將裡面的內容物抽出,甲狀腺囊腫會馬上消失,症狀即會改善。

圖11. 甲狀腺結節出現的囊化的現像,常被稱為出血性囊腫,呈低超音波影像,發現如同慧星尾巴的樣子(箭頭所指處) (Comet tail sign)

圖12. 病患高先生因聲音嘶啞就診,發現左聲帶下方有腫瘤(箭頭所指處),腫瘤將環狀軟骨破壞,懷移是惡性腫瘤
針對唾液腺的檢查,可以看下頷腺及耳下腺腫大,評估是唾液腺腫大或者是腫瘤,如果是腫瘤可以超音波導引下細針穿刺細胞學檢查,如此可以預先確定手術需要進行否或者是要進行手術的範圍評估。
其它特定的檢查如聲帶麻痺如評估是否有甲狀腺腫瘤,或食道有無異常;聲帶的活動情形; 聲門下腫瘤(圖12~13),也可借由超音波導引下細針穿刺細胞學檢查(圖14)來診斷。另外頭頸部癌病人的頸部腫塊追蹤,頭頸部軟組織超音波也提供一個便宜又方便的方法。

圖13頭頸部超音波檢查發現有界限不明的腫瘤將環狀軟骨破壞,超音波導引下細針穿刺 (箭頭所指處) 取得細胞做檢查

圖14. 超音波導引下細針穿刺細胞做檢查,顯微鏡下可見有組織球(histiocytes)將淋巴球吞噬的情型( emperipolesis)(箭頭所指處),因而診斷為罕見的Rosai-Dorfman disease。
頭頸部軟組織超音波也有其極限,目前沒有一個指標可以百分之百預測頭頸部癌或甲狀腺癌,即使我們開發出來的惡性淋巴結預測值,如果高於7分也只有91.3%的敏感度及88.2%的特異度來預測惡性淋巴結,並沒有百分之百。
亞東醫院耳鼻喉頭頸部軟組織超音波從2007年開始為病患進行頭頸部超音波檢查,目前每年約會有五百名病患接受頭頸部超音波檢查,2007年到 2008年共為383名病患進行頭頸部超音波檢查,並以超音波導引下細針穿刺細胞學檢查138例,共因此發現23例的頭頸部癌或其它部位癌症淋巴轉移以及8例的甲狀腺癌,超音波導引下細針穿刺目前為止並沒有明顯的併發症發生。
頭頸部軟組織超音波檢查沒有放射性,檢查完馬上可以給予病患說明,若有需要可以同時以超音波導引細針穿刺,是一個便宜又方便的檢查,在健保動不動就要刪減高貴的檢查如電腦斷層下,頭頸部超音波檢查對於頸部腫塊的評估對醫病而言是一項很好的選擇。