
     近日蕭副總統罹患肺腺癌消息,震驚全台。由於蕭副總統不抽菸,十分注重養生並定期健康檢查,但卻仍罹患了肺腺癌,這個新聞使得全台人民陷入罹患肺癌的恐慌,深怕自己或家人罹患肺癌卻不知道。事實上,罹患肺癌的名人如樞機主教單國璽、廣達董事長林百里等人,也都是沒有抽菸,卻罹患肺腺癌。前立委盧修一及前法務部長陳定南,定期接受傳統的胸部X光健檢,注重養生,不抽菸,仍因罹患肺腺癌而逝世。由此可知,不抽菸仍有罹患肺癌的可能性,肺癌並非抽菸者的專利。
  根據衛生署公佈2007年的統計資料顯示,國人十大癌症死因依序為(1)肺癌;(2)肝癌;(3)結腸直腸癌;(4)女性乳癌;(5)胃癌;(6)口腔癌(含口咽及下咽);(7)攝護腺癌;(8)子宮頸癌;(9)食道癌;(10)胰臟癌。數年來,肺癌一直是國人主要的癌症死因,根據2007年衛生統計資料顯示,台灣人口每十萬人中有34.9人因罹患肺癌而死亡,且死亡人數有逐年增加的趨勢。國人婦女死亡率最高的癌症一直都是肺癌,婦女罹患肺癌,油煙是主要的罪魁禍首,據專家統計在排煙不良的廚房做一頓飯約略等於抽五根菸,傳統的家庭主婦辛苦的在家裡天天做三頓飯,大約就等於抽了一包香菸。
  肺癌的可怕在於早期症狀很不明顯,甚至有四分之一的病人被診斷出肺癌時,完全沒有任何不舒服的症狀,當很多肺癌病人出現明顯症狀時,早已錯過最佳的治療時機。因為肺部是個血流充沛的器官,所以腫瘤細胞很早就會轉移到其他器官如肝臟、骨頭及腦部。即使近年來發展許多新興的治療方法,但五年存活率僅大約16%,如此高的致死率反映了肺癌預後效果差。因此早期發現肺癌是醫學界努力的目標,致力尋找一個較適當、有效的方法可以早期偵測肺癌更是亞東醫院健康管理中心的努力方向。
  在肺癌篩檢中,最普遍的傳統胸部X光攝影有其限制,病灶太小不易被發現,或病灶容易被胸部的骨頭遮擋、腫瘤隱藏在死角,都易被忽略。近二十年來醫界對肺癌生物學的了解與技術的進步,發展出一些新的診斷工具,帶來早期偵測肺癌的新希望。西元1999年,美國康乃爾醫學中心發表一項大規模研究報告,主題是以低劑量電腦斷層掃描篩檢肺部結節,他們以低劑量電腦斷層掃描篩檢了1000位自願者,結果顯示在233個受檢者偵測出非鈣化結節 (偵測率23%),其中27個受檢者被證實為原發性肺癌(偵測率2.7%),27個原發性肺癌中,有23位為第一期;而胸部X光片檢查只於68個受檢者偵測出非鈣化結節 (偵測率7%),只於其中7個受檢者發現異常 (偵測率0.7%),其檢查出異常的7個只有4位為第一期。雖然目前並沒有足夠證據,證明肺部篩檢可以減少病人死於肺癌的機會,且美國國家癌症研究院及美國癌症協會也認為在沒有更好的研究證據前,不推薦傳統的胸部電腦斷層作為肺癌篩檢的有效工具,但此研究報告足以顯示利用「低劑量」電腦斷層掃描用來篩檢肺癌高危險族群確實有非常顯著的效益。
  低劑量電腦斷層掃描輻射量為傳統電腦斷層的十分之一,針對肺部的影像品質十分優異,您只要吸一口氣後閉住氣,短短幾秒鐘就可以完整掃描整個肺部,不需注射顯影劑便可將肺部的每個橫切面影像重組,既方便又快速;這種放射學檢查使病人曝露於輻射的劑量約為0.3~0.55mSv,這遠低於傳統電腦斷層掃描3~27mSv,約相當於一般照胸腔X光時前後部位(PA view)及側位(lateral view)兩張片子的輻射劑量0.06~0.25mSv。
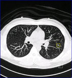
  近幾年來,電腦軟體不斷地更新與進步,使得電腦輔助檢測軟體CAD (Computer-Aided Detection)的應用愈來愈普遍,其功能是協助專業影像專科醫師在數位化電腦斷層胸腔影像中,發現、鑑定以及評估肺部病灶與結節,特別是發現直徑介於5-15 mm的小型結節,使肺部疾病可以提早發現,及早治療。
  針對國人肺癌的高危險群,包含有肺癌家族病史者、有抽菸習慣或長期吸入二手菸者、廚師或女性長期接觸油煙者、長期處於香煙裊裊的工作環境中(如都市馬路機車族、快遞人員,以及寺廟、佛教與道教工作者)、曝露在石綿瓦的工作環境中(如礦工、玻璃工、石綿瓦工人等)、以及患有慢性阻塞性肺病等對象。如果您的胸腔X光片沒有發現肺部結節或任何異狀,建議您仍需做低劑量電腦斷層來偵測一些傳統胸腔X光攝影無法發現的肺部結節,如果您屬於高危險群並且未定期篩檢肺部者,建議定期規劃肺部的低劑量電腦斷層掃描來透視您的肺,以確保您的健康,亞東醫院健康管理中心關心您。


本圖片由本院影像醫學科提供,肺部電腦斷層掃描使用CAD功能所偵測到的影像(左圖),經放大後發現其為長3.85mm寬3.15mm的小結節(右圖),可協助各專科醫師進行進一步診斷。