隨著壽命的延長及老年人口的增加,支撐全身重量的骨骼至三十五歲骨質含量到達頂點後就開始逐年減少,骨質含量的減少會導致骨骼構造日漸鬆脆,它就是所謂的骨質疏鬆症。
   何謂骨質疏鬆症,照字面上的解釋就是「多孔的骨骼」(如圖),已是全球第二大的重要流行病,僅次於心血管疾病。
  


   
 
 
 
 
     老年人併有骨質疏鬆症的後果是跌倒後發生各部位之骨折,其中以脊椎體及髖部骨折最為嚴重。依健保資料發現國人髖骨骨折(hip fracture)比率為全華人地區之冠。可見骨質疏鬆症對國人健康影響之重要性。
   骨質疏鬆症最常發生在年紀較長者,因骨骼會隨年齡增長,產生自然老化的現象,致骨骼變得越來越不緻密,而罹患骨質疏鬆症。
生活習慣不好者例如:抽煙、酗酒、咖啡因過量、缺少運動、營養不良、攝取維生素D不足,或是低鈣高鹽飲食及蛋白質不足或過量者,也都容易罹患骨質疏鬆症。
   女性荷爾蒙能刺激骨質的形成、抑制骨質的分解,女性在停經後,荷爾蒙的分泌會大減,導致荷爾蒙不平衡,在女性荷爾蒙缺乏的情況下,就會加速骨質流失速度,每年約流失1-2%,而女性的骨密度原本就較男性為低,因此更容易造成嚴重的骨質疏鬆症。一般女性約高出男性的6-8倍。
   運動可強健骨骼,進而維持骨質密度,活動量不足會使骨質密度較稀疏,而有較高的骨質疏鬆風險;然而,過度的運動也可能使年輕的婦女月經停止,而導致骨質流失。另外長期服藥之副作用也可能導致骨質疏鬆。例如:服用利尿劑、抗癲癇藥、類固醇、甲狀腺素、四環素、肝素、化學療法等藥劑,會導致骨骼形成減少,分解增多,進而發生骨質疏鬆。
   一旦罹患骨質疏鬆症,患者會駝背、脊椎或關節變形,最後行動能力會受到限制,身體無法自由的向前彎,並且一翻身就造成疼痛,而且老人家體力較差、平衡感也不好容易發生跌倒,一旦跌倒可能會造成嚴重的骨折(容易發生骨折的部位有:脊椎骨、手腕骨、股骨頸)與併發症,根據資料顯示股骨頸骨折之高齡患者,約有百分之二十於骨折後第一年併發肺炎或心臟病而死亡。
   骨質疏鬆症可由骨質密度的檢查得知,平日我們應如何預防骨質疏鬆症:
1. 要有良好飲食,鈣攝取量充足
2. 規律且適度的運動:例如散步、慢跑、爬樓梯、騎腳踏車、打球、負重運動(如:啞鈴、沙包);要維持適當的體重;適度的曬太陽,可幫助體內維生素D的形成(人體皮膚只要每次照射陽光約十至十五分,每週三~四次,一年有七、八個月的時間,就能獲取人體所需要的維生素D。)
3. 減少鈣流失:要避免喝酒、抽煙及大量攝取茶、咖啡、可樂;養成良好的生活習慣,早睡早起、勿熬夜;依醫師指示補充女性荷爾蒙及鈣片…等

  
                                                             
       一旦罹患骨質疏鬆症,可分成三方面做保健:(一)改變姿勢和動作時,要減少腰部負擔,盡量不要二腳同時長時間站立;在整理家務或需長時間站立時,可在單腳下放置矮凳子上,並左右變換,或雙腳成前後位置,交替屈膝;盡量不要彎腰工作;提舉重物時盡量運用全身力量,不要單用手腕力量。(二)要防止跌倒可在浴室內架設扶手及防滑設備,並保持乾燥;樓梯盡量平緩並設扶手欄杆;室內維持充分的照明,以避免跌倒;定期檢查視力;走路時應放慢、放穩,以免跌倒;選擇防滑的鞋子。(三)在醫師的指示下服用藥物,並定期做骨質密度檢查。
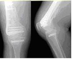
   若不幸發生了骨折的狀況,仍需要接受手術治療,否則便有可能因為骨折而痛苦不堪或長期臥病在床了。目前骨質疏鬆性骨折的手術由於科技的進步,陸續研發出新型的骨釘骨板,它們都至少包括以下一個或多個特點: 
1.鎖定式設計;2.符合骨頭解剖學上的形狀;3.可以微創手術方法進行;4.以鈦合金製成,較符合骨頭的物理特性。
  
   以鎖定式骨釘骨板為例,螺絲頭及骨板上都有螺紋,可以將螺絲直接鎖定在骨板上,使骨折的固定更堅固,不像傳統的設計,螺絲容易鬆脫,如此針對骨質疏鬆患者,可以得到較好的固定;對於靠近關節的骨折,可使用關節預先鑄型骨板系統,減少傳統骨板不易塑形的缺點;若加上以微創方法進行手術,將開刀傷口減至最小,可大幅減少軟組織破壞,骨折的血液循環不至被破壞將可使骨折的癒合速度加快。雖然骨折手術方法日漸進步,但是預防仍舊勝於治療,增加骨本與預防跌倒仍然是最重要的課題。