前言
從事植牙的基礎研究及臨床應用已有多年經驗,所謂基礎研究是指植體材料的開發、設計,由細胞培養、小動物實驗(白鼠、家兔)到大動物實驗(犬狗、獼猴),成功後在徵求臨床志願患者的試驗,觀察數年無危害才上市運用。
選擇植體的廠牌,要看它的文獻、國內外使用的報告,歷史悠久、成功率高、價格公道、醫師操作簡單、病人無不舒服、好看又能咀嚼,這是我們採用的原則,不過病人要找有經驗、有醫德的醫師,醫師也要篩選肯合作、有適應症的患者,醫、病互動良好,才是植牙成功的要件。
舉例說明:
1、左側下顎缺損兩大臼齒的病例
男性60歲,左側下顎無大臼齒,傳統上製作活動義齒時,鈎子須鈎到右側大臼齒及左側第二小臼齒,才能平衡,每餐後及睡覺時須取下橫跨左右的假牙,不但麻煩、容易變形、誤吞搞丟、咀嚼無力,病人多半不願意。
另一種傳統的固定牙冠牙橋做法,即磨短左側兩小臼齒,延長一顆大臼齒,但日久兩小臼齒不堪大臼齒處的咀嚼力量,逐漸動搖而須拔除。
在缺齒的地方,種植兩顆人工牙齒是較佳的選擇。須避免傷到下顎齒槽管,以免手術時大出血及術後下唇左側麻木、咬到下嘴唇不知道痛、餅屑沾粘不知道要去擦掉,造成生活上的困擾。
本例使用兩階段式植牙,先在局部麻醉下植牙兩顆,一星期後拆線。等到三個月以上骨整合(osseointegration)後再打開牙齦骨膜,接續補綴要取模、試戴、核對上、下顎之咬合,醫、病都滿意後才固定裝上。有任何過高、不適,都要來診修正,無症狀時,每三個月、半年回診,且食後保持良好的口腔衛生,才不會引起蛀牙或牙周病。
2、左側上顎缺兩小臼齒的病例
女性62歲,因咬到硬塊食物而斷裂兩小臼齒,病人無法接受傳統前、後有?的活動假牙,如果從左側上顎犬齒到第一或第二大臼齒的固定牙冠牙橋製作,除要磨犬齒也要把已經有金屬牙冠的大臼齒破壞,連續5、6顆牙的長橋,病人也不願意。
因此,植牙及用氫氧磷灰石顆粒(骨粉)填入左側上顎鼻竇舉高的地方,術中須注意不能穿透鼻竇粘膜,否則會造成鼻竇炎或術後喝水從左側鼻孔出來的後遺症。
術後四個月以上,再同樣接續補綴的工作,印模、調整軸心、比色、咬合、燒成瓷牙,醫、病兩滿意,黏著固定,才算大功告成。
3、下顎全排無牙、上顎僅存前齒的口腔癌病例
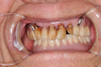
男性80歲,10年多前因右側頰粘膜及?癌手術,術後張口受限,下顎整排無牙、上顎兩側又無大、小臼齒,原來的舊義齒不好使用,故要求改善。
在下顎犬齒處植牙,閃避兩側頦孔,這是下顎齒槽神經的分支,才不會術後造成下唇麻木。等待四個月骨整合後,設計製作下顎全排活動義齒,其底面有兩頂如帽套的牙冠;上顎製作的比活動假牙還寬厚的閉孔器(obturator),除咬合正確,上、下義齒可咀嚼外,上顎的閉孔器假牙也可阻斷食物侵入鼻竇、講話漏氣的問題,下顎的植牙義齒也因有兩犬齒人工牙根的鎖住,吃飯時才不會搖動或浮起來,高齡癌患還可享受美食,歡度餘生。
4、右下顎牙齦癌術後植皮再植牙的病例
男性67歲,4年半前因右下顎牙齦癌在某醫院手術,下顎整排無牙,上顎只剩下右上顎第二小臼齒至左上顎第一大臼齒,無法咀嚼,來院尋求植牙以解決飲食問題。
由於下顎牙齦牙堤過低,前庭又淺,故先完成植皮手術,兩個月後植牙,置入下顎兩側犬齒處,也就是兩側頦孔的前面,等4個月骨整合後,才製作下顎植牙義齒,其底下相對於犬齒處安裝兩頂帽套,扣緊使不致於咀嚼時鬆脫,病患意想不到口腔癌切掉下顎骨尚能植皮、植牙,享受人生。
結語:
植牙時要清楚老年人病患的解剖退化情況,上顎避免植入鼻底、鼻竇,下顎勿傷下顎齒槽管及頦孔,口腔外科與補綴科專家配合,再加上與病患溝通,相互合作,乃是植牙成功的關鍵。

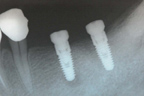
左下顎植入兩顆牙根。

X光片顯示植體位置。

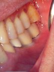
左下顎完成兩大臼齒之補綴,核對咬合。

左上顎第一、第二小臼齒缺損。

施行鼻竇升高術及骨粉充填。

X光片可見兩植體在鼻竇下緣。
X光片顯示下顎兩犬齒處之植體。

口腔內下顎兩側犬齒之植體。

下顎義齒底面之帽套。

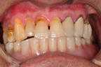
上、下顎義齒密切咬合。

植皮於下顎牙堤及前庭。

下顎植入兩牙根於犬齒處。

露出口內之植體及植皮。

完成下顎植體義齒,享受美食。