正常的消化道上皮黏膜組織具有防禦及破壞因子,一旦兩種因子之間平衡遭破壞,可能造成發炎、表淺性糜爛甚至消化性潰瘍的發生。其中防禦因子包括:胃黏液層、胃壁血液循環與上皮細胞再生、及鹼性碳酸鹽的分泌;而破壞因子包括有:胃酸分泌過多、胃蛋白酶酵素的侵蝕、膽汁對黏膜的刺激、致消化性潰瘍的藥物或腐蝕性液體、重大心理與生理壓力,以及幽門桿菌感染。一旦發生消化性潰瘍,病人的症狀常常會有上腹痛、腹脹、半夜痛醒導致睡眠品質下降、食慾減低、甚至吐咖啡色嘔吐物或鮮血、解黑便等出血性症狀,嚴重者會缺鐵性貧血、頭暈、意識不清或休克,以及腸胃穿孔併發細菌性腹膜炎、敗血症等,其中幽門桿菌感染在消化性潰瘍以及胃癌發生過程中,扮演相當重要的角色。
幽門桿菌是一種革蘭氏陰性微需氧的桿菌,其微生物特性會分泌尿素酶,能利用人體胃內的尿素分解成鹼性的氨,因此可以在強酸的胃內環境中存活。早在西元1982年,澳洲的病理學家Robin Warren 和年輕住院醫師Barry Marshall醫師,成功地從人類的胃部黏膜組織將此細菌培養出來,經過20多年多重研究及經驗的累積,2005年兩人才共同獲得諾貝爾醫學及生理獎。研究顯示被感染者約有80%的機會轉變成慢性胃炎,之後病程發展成消化性潰瘍與菌株的特性以及宿主因素有相當大的關係,其中大約20%的患者會引起胃潰瘍、十二指腸潰瘍或功能性消化不良。其傳播途徑大致為射入被污染的水與食物而感染。根據統計,幽門桿菌感染的盛行率在不同的國家及種族間有相當大的差異,尤其是開發中公共衛生較差的國家其盛行率可以達到80%。研究顯示幽門桿菌的感染除了造成消化性潰瘍以外,也和胃腺癌、胃黏膜相關淋巴組織淋巴癌、不明原因缺鐵性貧血以及不明原因血小板不足紫斑症有相關性。幽門桿菌的根除性治療,不僅可以降低消化性潰瘍與胃癌的發生率,同時在低惡性度胃黏膜相關淋巴組織淋巴癌的治療選擇中,提供治癒性的可能。
那麼如何知道自己有幽門桿菌的感染呢?大致上來說,檢查方式分成兩大類:侵入性檢查與非侵入性檢查。前者包括內視鏡取得胃黏膜組織,以提供快速尿素酶檢查、組織病理學檢查以及細菌的培養等;而後者則不須經由內視鏡取得檢體,而是藉由偵測受檢者血液中的抗體、糞便中的抗原,或是藉由碳13吹氣測試來評估幽門桿菌的感染。各種檢查方式都有其優缺點,且敏感性與專一性都不同。一旦有幽門桿菌的感染,則應該考慮抗生素治療根除幽門桿菌。關於臨床上抗生素的使用有許多選擇,大致來說治療期間約一至兩週,根據統計,14天的療程比7天的療程多約7-12%的治癒率,但是副作用出現的機率也相對增加。在一線治療中,可以選擇以兩種抗生素合併質子幫浦抑制劑(PPI)的三合一療法為首選,可以考慮PPI-amoxicillin或metronidazole-clarithromycin,也有學者主張加上Bismuth的四合一療法,若不幸的一次治療失敗可以考慮再一次給予三合一或是四合一療法,倘若不幸連續兩次治療失敗時,則考慮以fluoroquinolone類藥物levofloxacin或是rifamycin類藥物rifabutin做為二線用藥,若是仍殺菌失敗應該考慮多重抗藥性菌株存在,此時必須依照細菌對藥物敏感性培養結果來選擇用藥。殺菌成功後,建議應該接受碳13吹氣試驗,且試驗前必須停用抗生素或是bismuth至少四週,停用PPI至少1至2週,並禁食6小時以上,以提高吹氣試驗準確度。
近20年來的醫學研究努力,幽門桿菌的研究,對於其微生物特性與致病機轉已經有相當的了解,隨著抗生素藥物的發展,根除性療法也提供消化性潰瘍病患適當的治療方法,不但降低潰瘍復發機會,同時在消化性潰瘍病患也可能降低其胃癌發生的機會,因此,其偵測與治療的成功與否也就愈顯得重要。

內視鏡下的胃潰瘍

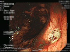
內視鏡下胃潰瘍出血

顯微鏡下的幽門桿菌