
   父親,家的最大支柱,默默地一肩扛起家庭中一切大小事務,為子女、為家庭不求回報努力付出,是家中不可取代的重要角色。
    由於父親在外辛苦工作,較少與孩子相處,相較於母親,多數的孩子會認為父親較難以親近,然而,父親並不會因為與孩子相處時間少,就減少對孩子的關懷與愛,而是以低調的方式來表達對子女及家庭的重視。
    還記得學生時期所讀到一篇描寫父子親誼的文章,朱自清的「背影」。擔心作者坐車時餓著肚子,於是穿著黑布大馬掛的父親闌珊地走到鐵道旁,穿過鐵道,拖著沉重的身軀爬上月台,只為了買些水果讓孩子帶上車。這就是父親對子女愛的表現,儘管再累再辛苦,也會竭盡所能地照顧子女,呵護備至。反觀我們做子女的,對於父母親的愛總視為理所當然,認為朋友比父母重要,每每到了父親節的前夕,大家才會想起父親的偉大。對於父親節,多半只是送份小禮物或是抽空帶著爸媽一同吃個大餐,但對於父親的身體健康狀況卻是常常疏於關心。您曾經想過嗎?當您開始工作,組織另一家庭時,您的父母親也已漸漸年老,除了家庭和樂外,更需要關懷父母親身體的健康狀況。
   就現今台灣社會的家庭結構來說,父親仍是家庭重要的經濟支柱,相對的,父親的健康格外重要,可說是全家幸福的來源。然而,隨著年齡的增長,父親的體力與健康逐年流失,此時正需要我們做子女的關心與照護。男性長期在外打拼,經常疏忽自己的健康狀況,然而,不正常的生活作息及飲食習慣在日積月累之下,會逐漸浮現出許多的慢性疾病,例如:糖尿病、高血壓、心血管疾病、肺炎、慢性肝病或腎臟疾病等。根據行政院衛生署2010年6月公告2009年國人死亡原因統計資料顯示,惡性腫瘤續居十大死因之首(39,917人),心臟疾病(15,093人)及腦血管疾病(10,383人)分居二、三名。另外,男性十大癌症死亡原因前三名分別為:
   1.肝和肝內膽管癌。
   2.氣管、支氣管及肺癌。
   3.結腸、直腸及肛門癌。
2009年 男性十大癌症死亡原因
| 
 2009年 男性十大癌症死亡原因  | 
| 
 名次  | 
 癌症死亡原因  | 
| 
 1  | 
 肝和肝內膽管癌  | 
| 
 2  | 
 氣管、支氣管及肺癌  | 
| 
 3  | 
 結腸、直腸及肛門癌  | 
| 
 4  | 
 口腔癌  | 
| 
 5  | 
 胃癌  | 
| 
 6  | 
 食道癌  | 
| 
 7  | 
 前列腺(攝護腺)癌  | 
| 
 8  | 
 胰臟癌  | 
| 
 9  | 
 白血病  | 
| 
 10  | 
 非何杰金氏淋巴瘤  | 
| 
 資料來源:行政院衛生署  | 
    預防勝於治療,亞東醫院秉持持續提升醫療品質、善盡社會醫療責任為首要任務,極力推廣預防醫學,整合預防保健及後續醫療完整醫療,建置完整的個人化健康管理系統,為受檢者長期的健康促進而努力。
    本院擁有世界級的高科技儀器及技術:雙射源電腦斷層掃描儀(DSCT)、磁振造影(MRI),以及多種影像強化技術之內視鏡。幫助受檢者發現極微小的病灶,達到預防醫學的目的。
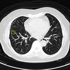
  其中,雙射源電腦斷層掃描儀,其輻射量低、檢查速度快,專長於心臟血管檢查及低劑量肺癌篩檢。就心臟冠狀動脈檢查而言,不需任何藥物降低心跳次數,便可獲得清晰且具診斷價值的高解析度影像;低劑量肺癌篩檢,可發現4mm以下的微小病灶。 
   最新引進無輻射的磁振造影,是全亞洲極少數能以不斷移動來篩檢癌症的MRI。其可早期發現3mm以下的微小病灶,並且大幅減少檢查所需時間,降低受檢者的不適感,為目前國內腫瘤/癌症篩檢最具前瞻性且無輻射的儀器之一。
    此外,本中心的無痛內視鏡檢查,率先採用多種影像強化內視鏡技術(可將息肉放大80倍並加以染色,以確認是否為惡性腫瘤),對於消化道系統早期的病灶能有效偵測,並且針對早期胃癌、大腸癌,可在執行腸胃鏡檢查時立即切除而不必另行安排手術,可減少受檢者再次檢查的風險及寶貴的時間。
 
   
    完成檢查後,本中心會依個人的健康狀況,結合專業的醫療技術,提供個人化的健康管理追蹤,裨利受檢者長期的健康促進。
    一年一度的父親節即將到來,慰勞父親的辛勞,除了吃大餐、安排家族旅遊之外,今年是否送給父親更別具意義的禮物呢?亞東醫院體恤各位父親的辛勞,特別推出父親節專案,歡迎您邀請您的父親、母親、家人或親朋好友於活動期間安排健康檢查,徹底了解自身的健康狀況。唯有健康,才能擁有幸福的人生。


 
 
 
 
 
 
 
 
 
 
 
 
 
 
肺部電腦斷層掃描使用CAD功能所偵測到的影像,經放大後發現其為長3.85mm寬3.15mm的小結節。
 
 
【父親節專案】
 
2010-08-01至2010-08-31,本院提供專為父母親設想的健康檢查,請詳見健康管理中心網址:http://depart.femh.org.tw/hmc/
諮詢/預約專線:(02)7728-2345  網址:http://depart.femh.org.tw/hmc/
~ 亞東紀念醫院 健康管理中心 關心您及家人的健康 ~