打開電視節目,演員、藝人、模特兒多如過江之鯽,但是最受歡迎的主持人與藝人就是那幾位,他們有幾個共通點,首先必須擁有特殊才藝,例如唱歌、演戲、變魔術…等等;其次外型不佳的人,常常只能當個丑角,讓人賞心悅目的外型,才能大紅大紫;最後一個也是最重要的,就是充滿自信以及風趣的語言。
仔細看看,這些藝人長相不儘相同,卻都讓人覺得男的俊俏、女的秀麗,而且個個臉上充滿自信,其實除了臉部對稱、比例和諧以外,裡面還有個小祕密,就是他們都有一排整齊美麗的牙齒。人類溝通的方式除了語言之外,臉部表情也佔了很大一部分,藉由觀看對方的臉部表情,我們可以看出對方到底是誠懇得還是正在說謊,也因此如果對一個人有興趣,我們習慣先觀察對方的臉,而五官中最引人注意的就是眼睛和嘴巴,當對方說話時,我們常常不經意就看到對方的牙齒。因此如果自己的牙齒亂七八糟,潛意識裡,說話時用手遮遮掩掩,不然就是嘴唇不敢打開,這樣給人的感覺就是沒有自信。而這些藝人因為有了雪白整齊的牙齒,說話的時候就不需要遮遮掩掩,因為有了雪白整齊的牙齒,他們就能放心得開懷大笑,自然就顯得充滿自信。
有自信的微笑會帶給人們良好的第一印象以及增加親和力,但是天生擁有雪白整齊牙齒的人其實很少,不過有了『齒顎矯正』這門技術,人人都有機會擁有它,您也可以是其中一員。齒顎矯正的患者沒有性別或年齡上的差異,可以是兒童、年輕人甚至是老人家,男女不限,只要想要擁有一口雪白整齊的牙齒的人,就應該尋求齒顎矯正的協助。對於社會新鮮人來說,如果能展現出充滿自信的身段,在求職時,更容易贏得老闆的認同,升遷的機會也會比其他人高,因此在求學階段,應該好好將自己的牙齒整理一番。
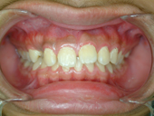
圖一、嚴重空間不足導致虎牙

圖二、經過拔牙及矯正治療
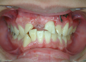
導致牙齒排列不整的原因包羅萬象,情況也是千奇百怪。有的人是因為牙齒大小和牙床大小不諧調,導致齒列擁擠(圖一、二)或是產生縫隙,台灣人最介意的“牙齒漏財”即屬於縫隙這個類型(圖三、四);有的人則是牙齒長到不該長的位置而沒有冒出牙床(圖五、六);有些人則是上下顎骨發育不諧調,導致戽斗(或稱月亮臉)或是鳥臉的狀況;除此之外,暴牙、先天缺牙、多生牙、後天蛀牙或長期缺牙導致相鄰牙齒東倒西歪、車禍外傷導致牙齒移位或喪失牙齒(圖七、八)、牙周病所導致的門牙散開…等等,都是齒顎矯正的適應症。

圖三、門牙暴牙及大牙縫

圖四、矯正後,牙縫關閉
完美的齒顎矯正,必須同時顧慮到微笑曲線、顏面外觀及咬合關係。當一個人站立並平視前方時,雙眼及咬合平面應與地面平行,當微笑時,上排牙齒的弧度會與下唇接近也與地面平行,此即理想的微笑曲線,如果此曲線過度傾斜時,會讓人覺得這個人怪怪的。透過齒顎矯正也能改變一個人的外觀,將原本看起來暴暴或是戽斗的外型,變成更吸引人的外觀,但如果情況過度嚴重,就需要正顎手術的配合,才能得到較為理想的結果。齒顎矯正不單單只是把上下排牙齒排整齊而已,上下齒列間的咬合關係也是很重要的,創造出穩定的咬合關係,對於咀嚼功能,維護齒顎矯正的結果,都有很大的幫助。

圖五、 右上犬齒長不出來

圖六、經過手術及矯正牽引
牙齒排列不整除了影響門面以外,也會影響正常的咀嚼功能,食物往往還沒嚼碎,就吞下肚了,長期下來會帶給腸胃較大的負擔,甚至導致營養不良;此外縫隙過大或前牙開咬,常常導致發音上的困難,講話會有“漏風”、“大舌頭”,嚴重者
甚至會有噴口水的狀況。這些牙齒排列不整所導致的種種後果,除了產生生理性障礙外,最終在心理上會引起自卑而導致自信心缺乏,絕對不能等閒視之,想要提升自信心的您,不妨到齒顎矯正科來諮詢。

圖七、車禍導致牙齒脫落及斷裂

圖八、經過矯正(空間重新分部)及假牙製作