:::

鼻竇炎手術的最新進展 「電磁式鼻竇導航手術」

耳鼻喉頭頸外科 方楷旻醫師  

鼻竇炎手術的最新進展 「電磁式鼻竇導航手術」(相關圖片)* 何謂鼻竇炎
 現代人為鼻病所苦者眾多,尤其台灣潮溼的環境更使患有鼻病的病患時常到診所、醫院拿藥服用,又常聽到醫師們診斷某某有鼻蓄膿、肥厚性鼻炎、鼻息肉,或著是有鼻過敏、鼻竇炎,常使民眾們聽得一頭霧水,不知究竟有何不同。

 其實,鼻炎和鼻竇炎不是相等的疾病。鼻竇乃鼻腔周圍的空腔,具有協助調節呼吸之氣體溫度及濕度、鼻腔共鳴等功能。若因為鼻腔疾病或鼻竇開口堵塞,使得鼻竇中的分泌物無法順暢排至鼻腔,而堆積在鼻竇內,進而引起細菌、黴菌等感染造成鼻竇內襯黏膜發炎,就稱為鼻竇炎。臨床症狀持續時間的長短,可分為:急性鼻竇炎(症狀持續4週以內)亞急性鼻竇炎(症狀持續4到12週)、慢性鼻竇炎(症狀持續12週以上)。若鼻竇發炎時間不長,可用口服抗生素及其他輔助藥物來治療,一般服用10到14天可痊癒。

 其中又以慢性鼻竇炎最難治療,且藥物治療效果較差。慢性鼻竇炎的症狀包括:顏面部疼痛、鼻塞、流膿鼻涕、嗅覺減退(圖一)鼻竇炎手術的最新進展 「電磁式鼻竇導航手術」(相關圖片);甚至連其他非鼻部直接相關的症狀,如頭痛、發燒、口臭、牙齒疼痛、疲倦以及慢性咳嗽等,都有可能是因鼻竇炎所導致。除了病患因上述的症狀,影響生活品質以外,偶而亦有嚴重的鼻竇炎併發症案例,例如:眼眶蜂窩組織炎、眼膿腫、失明、腦膜炎、腦膿腫等,因而千萬不可輕忽。

 診斷慢性鼻竇炎,必須請專業的耳鼻喉科醫師,經由鼻鏡、鼻咽鏡的詳細檢查,輔以X光、電腦斷層掃描的綜合判斷才能做出精確的診斷,以提供正確的治療方針。急性鼻竇炎的治療主要為抗生素,而慢性鼻竇炎,若想要痊癒,一般需要接受手術治療。

* 鼻竇炎的手術治療
 目前治療慢性鼻竇炎的主流是手術,即所謂的功能性內視鏡鼻竇手術(Functional Endoscopic Sinus Surgery,簡稱FESS),它是利用內視鏡將嚴重病變的組織﹙例如鼻息肉﹚去除,並恢復鼻竇開口通暢,以使鼻竇內纖毛的功能可逐漸恢復正常。

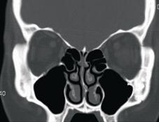
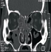
 需接受手術的病患,在手術前均需接受電腦斷層掃描的詳細檢查,正常的鼻竇在影像上應為黑色的空腔(圖二),鼻竇炎手術的最新進展 「電磁式鼻竇導航手術」(相關圖片)若被發炎組織所堵塞,則呈現灰白色顯影,即為發炎感染的範圍(圖三),鼻竇炎手術的最新進展 「電磁式鼻竇導航手術」(相關圖片)也就是手術醫師要以手術器械清除的部份。一般而言,進行這樣的手術需要住院,在全身麻醉下進行,以利醫師將病灶部位徹底清除,才不會復發。

* 電磁式導航內視鏡手術
 拜醫療科技所賜,手術的技術不斷在進步,從傳統臉部骨片打洞進行手術到內視鏡手術,已不在外部留下傷口。就療效而言,更從以往的一網打盡,移除所有鼻腔黏膜,改變成為只移除異常或發炎的黏膜組織,而不要破壞到正常鼻竇鼻腔應有的生理功能。因此在手術的精準度上便要求更為細緻且安全。然而手術過程中,醫師經常會遇到的困難是,病患鼻竇發炎嚴重或之前已經施行過鼻腔手術,鼻竇構造難以辨別。有經驗的醫師為了幫病人盡量保留正常組織及減少術中出血,卻又希望盡可能移除所有阻塞及發炎處,因而需仔細的看清術前電腦斷層以確認手術中的病變的位置。

 為了讓執刀的醫師確認鼻腔內病變的位置,近來,先進國家已發展出利用導航的原理,應用在鼻竇手術上,藉由精密的儀器在術中建立3D立體定位(圖四),鼻竇炎手術的最新進展 「電磁式鼻竇導航手術」(相關圖片)與電腦斷層掃描做結合,病患只需於進行手術前,在病患頭上束上綁帶,上面固定導航參考基準感應器,只需花上數分鐘設置該系統即可導航。而傳統手術則是透過內視鏡,觀看鼻腔內的「實境」,但是無法透視整個鼻腔,醫師必須仰賴過去的經驗和對手術的熟悉度,去預測下一個動作會遇到的情形,如果病人的構造有變異,超出執刀醫師的經驗與認知,手術成果就會有落差。

 此項技術除了有助於移除所有發炎病灶以外,更可避免傷及重要的構造,如神經、血管等,以避免術後視神經傷害,眼眶血腫,腦脊髓液滲漏等併發症。該技術在治療鼻竇炎之外,對於前顱底腫瘤、鼻腔內腫瘤切除,以及腦脊髓液滲漏的修補等手術,更突顯其精確定位的優勢。

 目前本科所使用的導航手術,是採用建立磁場的原理,就像是鴿子在地球的磁場中總是會飛到他的目的地一樣,在手術的進行當中,所有在鼻腔運作的器械,都因為在此磁場中精確定位,因此可以計算它的行進軌跡,到達病灶處精確的進行手術。它又類似開車時所使用的GPS衛星定位系統。透過GPS衛星地圖,駕駛可以知道自己目前所在位置和目的地。此項技術具有以下優點:1.縮短手術時間,降低出血量;2.治療更徹底,減少復發率;3.手術更精準,避免併發症。因具備以上的特點,該技術是治療慢性鼻竇炎的最新利器。本院所在國內是率先引進這套系統的團隊,臨床使用以來成效良好,已為鼻竇微創手術的改良再往前推進一大步。
  
* 結語
 鼻竇炎雖不會致命,但卻影響了許多患者的生活品質,因而坊間常有各式各樣的治療偏方,從內服到外用,應有盡有,許多人從不知自己的鼻子到底是怎麼回事,便接受治療。其實鼻竇炎是有其診斷標準的,需要醫師仔細的進行理學檢查,最後可以從影像上明顯判定,若有鼻部的不適症狀,應該尋求醫師的協助,聆聽醫師的解釋,才能找出根治的方法,才不會白白犧牲多年的生活品質。