神經系統可以分為中樞神經系統和周邊神經系統兩大類。周邊神經系統又分為軀體神經系統以及自主神經系統。軀體神經系統中的感覺神經纖維可將身體各部份的感覺器官所搜集到的視覺、嗅覺、味覺、觸覺等資訊傳送到大腦或脊髓。而運動神經纖維則負責將中樞神經系統所下達的命令傳到骨骼肌,以產生所需的運動。神經監測儀可被用來定位與及時監測運動神經纖維到骨骼肌通路的完整性,以減少手術的併發症。
 有句成語叫:『失之毫釐、差以千里』。周邊的神經與血管管徑大小差不多也是1~2釐米,臨床有時候還真的不是那麼容易分辨,如果將神經誤認為血管,一旦把神經切斷,那對病人的術後生活本質可能差很多。近年來由於神經生理學的進步,開發出了神經功能偵測儀,並將之應用在甲狀腺手術、顱底手術、顏面神經和周邊神經相關手術,大大提高頭頸外科手術的安全性。
以下針對目前常需要使用神經功能監測儀的頭頸外科手術做一簡單介紹:
腮腺腫瘤摘除相關手術
 人體內有三對主要唾液腺:腮腺、頷下腺和舌下腺;此外,在上呼吸消化道的黏膜亦有數以百計的微小唾液腺,唾液腺腫脹是唾液腺疾病最常見的病徵。
 腮腺是唾液腺的一部份,位於兩側耳下,所以又被叫做『耳下腺』,當耳下腺發炎台語叫做豬頭皮,意思就是腫得像豬頭一樣。腮腺一樣也會長腫瘤,雖然腮腺腫瘤約70%~80%是良性,但此腫瘤會逐漸長大而壓迫鄰近之正常組織,因此腮腺長腫瘤通常需要手術切除。
常見唾液腺腫瘤病理學上的分類:
良性腫瘤
1.良性混合性腫瘤(benign mixed tumor):也叫做多型性腺瘤,是一種緩慢生長的腫瘤,周圍覆蓋著未完成的假性外膜,發生年齡可能是二十歲的時候,平均發生的年齡是四十歲。
2.?華生氏瘤(Warthin)是一生長緩慢的良性腫瘤,臨床上常以一在腮腺淺葉尾部、生長緩慢、無症狀腫塊來表現,約10%會有快速成長之病史及痛、壓力感等症狀。華生氏瘤有一罕見的併發症,名為淋巴樣乳頭囊狀腺瘤症候群(papillary cystadenomalymphomatosum syndrome)與抽菸有關,另外其造成的原因可能為腫瘤梗塞(infarction),或腫瘤因為致病菌經由血路、淋巴或唾液腺管逆行也可能引起感染。華生氏瘤常常出現於老年的男性身上,也可能是兩側10%或單邊的多發性腫瘤。
3.良性淋巴上皮病變,又叫做Godwin’s腫瘤,大約在良性腫瘤的百分之五,腫瘤可能出現在兩側,而且比較常出現的女性
4.嗜酸細胞瘤(oncocytoma)是一種良性,生長緩慢的腫瘤,常發生與年老的族群,這種外膜包覆的腫瘤外觀呈現黑色,有時候很像黑色素瘤。
5.基底細胞腺瘤(basal cell adenoma),是一種不常見的良性病灶,通常也出現在年老的族群,可以藉由簡單的手術切除達到治癒的目的。基底細胞腺瘤必須與皮膚的基底細胞癌症轉移到腮腺的惡性腫瘤做一個明確的區分。
顏面神經偵測儀與腮腺腫瘤摘除手術
 顏面神經由於穿過腮腺組織中,所以腮腺腫瘤摘除手術通常需要找出並保留顏面神經。手術會從耳前到頸部作『S』形之切開,找到顏面神經後小心保護之,尋得腫瘤,將之連同周圍之一部份腮腺組織一併完整切除。在找神經的時候我們會用神經探測儀(圖一)找出神經,因為神經支配臉部的肌肉,當我們接近神經的時候,臉部的肌肉會有收縮反應,機器就會發出訊號警告。
 
 由於顏面神經功能相當精細,即使完整保留也可能對部份病患造成影響,約有少於一成的患者在術後發生暫時性的顏面神經麻痺,面部表情動作會有些許不對稱,這種現象通常在2~3個月內會恢復,如果腫瘤位在腮腺深葉,術後顏面神經麻痺的程度與時間可能會稍嚴重些,但大多會恢復正常。若顏面神經永久受傷,可能造成單側永久性顏面麻痺,導致嘴歪臉斜。
 
 腮腺手術使用神經偵測儀可以幫助及早找出神經,縮短手術時間,當我們接近顏面神經的時候,臉部的肌肉會有收縮反應,機器就會發出訊號警告,降低手術後發生顏面神經受傷的機會。
甲狀腺相關手術
 在一般沒有病狀的人裡面,如果用手做觸診約有百分之四至百分之二十會發現甲狀腺有異常腫大,如果以超音波檢查則可能有一半的人會發現有甲狀腺腫(即甲狀腺結節)。在這些甲狀腺結節裡面大部分都是良性無害的節結,但也有約百分之四到七會是惡性的甲狀腺癌。
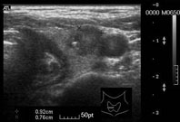
   檢查甲狀腺結節最重要的工具是超音波,現代超音波的發展到比0.2公分大的結節都可以檢查出來。超音波可以用來幫忙分辨甲狀腺結節的良惡性。在超音波下(圖二)如果出現微小鈣化,前後徑大於左右徑,周圍界線不清或是異常的血流型態,會懷疑是惡性甲狀腺癌,於是醫師會在超音波即時引導下,用細小的針頭,穿刺抽取結節中的細胞化驗,以確定診斷。至於結節大小則與良惡性沒有相關。
 一旦檢查發現可能是惡性甲狀腺癌,就需要進一步治療,除了惡性度極高的未分化癌外,甲狀腺癌的治療以外科手術將甲狀腺癌及所有甲狀腺組織切除,術後輔以放射性碘的治療,因為甲狀腺組織及癌細胞都會吸收碘,所以利用此特性將殘存的癌細胞殺死,另外也去除所有的甲狀腺組織。
    除了甲狀腺癌之外,過度腫大的良性甲狀腺腫,因影響美觀及會有壓迫症狀,也是甲狀腺手術的適應症。
甲狀腺手術中,喉返神經功能的偵測儀
 甲狀腺手術最重要的部分是腫瘤及淋巴腺的擴清,其次是返喉神經的保留,再其次是副甲狀腺的保留,因此需要由有經驗的醫師親自動刀。但畢竟醫師是人、不是神,多多少少還是會分神,科技的進展也讓我們對手術的安全性提高,近年來最重要的進展就是手術中,返喉神經偵測儀的使用(圖三)。
 喉返神經麻痺是甲狀腺手術最常見的併發症,此併發症常會造成聲音沙啞或液體吸入氣管的問題,若兩側喉返神經麻痺甚至可能發生呼吸困難,此併發症是病人最為擔心的問題,因術後的聲音沙啞可能危及個人的工作甚至家庭生計,從事甲狀腺手術的醫師也戰戰兢兢的怕傷到喉返神經,所以減少喉返神經麻痺的發生率是所有醫師努力的目標。
 過去我們會碰到甲狀腺手術後喉嚨聲音沙啞的病人,大部分是單側的返喉神經手術中受傷引起,若是雙側的反喉神經受傷,則需要氣管切開,以確保呼吸道。氣管切開對於甲狀腺疾病的病人是很嚴重的併發症,而單側返喉神經受傷引起的聲帶麻痺更是歐美醫療糾紛的主要原因。
 
 兩側聲帶的運動,主要是由返喉神經來支配,返喉神經是第十對迷走神經的分支過來的。當要發聲的時候腦部的訊號經由迷走神經,返喉神經的作用,控制聲帶的活動,藉由肺部呼吸振動聲帶而發出聲音,如果神經受傷聲帶關不起來發聲會漏氣而產生沙啞的聲音,甚至會將口水嗆進氣管裡面,引發吸入性肺炎。為了保護聲帶神經在手術的過程中比較不會受傷,近年來有返喉神經偵測儀的應用,原理就是利用電刺激迷走神經或返喉神經會引起聲帶收縮,在麻醉的呼吸管接上電極就會獲得反應,當手術的範圍接近神經的時候就會預先知道,防止神經受傷。
 當然神經偵測儀也不是萬能的,萬一在術中發現一側的神經沒有反應,手術就應將病灶那測切除下來,另外一側待下次再手術,以防止同時兩側聲帶麻痹,需要氣管切開的慘事發生,這個新的觀念稱之為甲狀腺之階段性手術(stage surgery)。
 
 在甲狀腺手術中,使用神經偵測儀已經是歐洲與美洲很多國家的臨床指引(Guideline),相信在台灣,神經偵測儀也會慢慢成為甲狀腺手術中常備的設備。

 
圖一、顏面神經偵測儀,可以幫助及早找出神經,縮短手術時間,當我們接近神經的時候,臉部的肌肉會有收縮反應,機器就會發出訊號警告,降低手術後發生顏面神經受傷的機會
 

 
圖二、高解析耳鼻頭頸軟組織超音波可以準確的發現甲狀腺癌,圖為不到一公分大的甲狀腺癌於超音波下的典型表現
 
 

 
圖三、喉返神經偵測儀利用電刺激迷走神經神經或返喉神經會引起聲帶收縮,在麻醉的呼吸管接上電極就會獲得反應,當手術的範圍接近神經的時候就會預先知道,防止神經受傷