:::

退化性關節炎

骨科 張至宏主任  

退化性關節炎(相關圖片)   技的進步、醫療水準的提高,促使國人的平均壽命延長,也增進人口老化的速度。依據行政院經建會推估,於民國114年左右老年人口將達總人口的20.1%,即每5人中就有一位是老年長者。隨著人口結構的高齡化,人們要懂得如何保健,朝向「活得老,更要活得好」的目標前進。

 然而隨著人口老化,退化性關節炎成為一個嚴重的問題。一般而言,55歲以上的成年人,80% 在X光檢查都可以發現退化性關節炎的徵兆。80歲以上的成年人,在X光檢查100%可以發現,其中60%覺得自己有關節炎的症狀。

 退化性關節炎與關節的耗損度有直接的關係,是最常見的關節炎之一,又稱為骨關節炎(Osteoarthritis)。其實並非真正的炎症,而是關節面持續受到外力磨損而產生的一種修補過程,只是這種修補過程會造成骨刺的形成,這和骨質流失造成的骨質疏鬆症不一樣。形成退化性關節炎的原因主要可分為兩大類:一是次發性關節炎,因為受傷、遺傳疾病、代謝性疾病、鈣沉積症、先天性關節發育異常、軟骨下骨頭缺血性壞死或感染而引起關節軟骨的破壞,引起退化性關節炎。另一則是原發性退化性關節炎,以老化及肥胖最重要。

 退化性關節炎發病緩慢,發病部位侷限於一個或數個關節上,常常出現於膝、手、頸椎、腰椎、肩、肘等部位,運動量增加時會使病情加劇,休息即可緩解,早晨起床關節會僵硬且以疼痛和壓痛為主,膝關節的症狀從開始時走路膝蓋會痛,休息一會兒就好;到走一小段路就痛、上下樓梯更痛、走著走著膝蓋竟劈啪作響,最後雙腿變成O型,步態搖晃。如果退化性關節炎發生在頸椎或腰椎,脊椎的關節病變可引起神經受壓或刺激症狀。

 預防膝蓋退化性關節炎之發生,最有效的方法就是讓關節面不要繼續磨損。常聽見有人患膝蓋退化性關節炎後,聽從別人的建議去爬山,結果越爬症狀越明顯,原因就在於爬山會大大增加膝蓋關節面的受力程度,使得磨損加速進行,關節因此退化得更快!通常年紀愈大,關節退化比例愈高,因此退化性關節會影響運動的進行。

   根據歐美研究資料顯示,成年人一天內站立時間超過8~10小時,或是不休息連續站立2小時以上,則罹患退化性關節炎的機率遠比一般人高出1.5倍。很多患者忽略腰痠背痛或肢體疼痛的症狀,以為是工作忙碌或生活壓力,以為只要休息就能夠改善,其實都是提早老化的現象。要保護關節重點是避免會加重關節負擔的情況。

如何在日常生活中實行?可以嘗試以下的方法:
1. 寫字或打電腦時保持良好姿勢及光線,常常放鬆手和脖子。如果拿筆會疼痛,就應該使用比較大或組合式的筆。鋼珠筆產生壓力會比鉛筆和原子筆少。
2. 使用槓桿式的門把,不要用旋轉式的門把
3. 旅行時使用輕便、附輪子的行李箱
4. 使用推車搬運重物,做家事及搬重物時避免過多來回。
5. 從事任何活動時,多坐下,少站立,避免半蹲全蹲或跪的姿勢。
6. 注意膝蓋的保暖,可以穿長褲或護膝來保護膝蓋。

  運動則須以緩和不傷膝蓋為主,例如:騎腳踏車、游泳、散步、瑜珈、太極拳等。

   退化性關節炎的治療主要分為早期的保守治療以及後期的手術治療布以下的介紹:
 保守治療包含:1.改變習慣,減少關節負擔。2.口服藥物治療。3.保健食品選擇。4.注射藥物治療。5.物理治療。6.體適能運動治療。
 手術治療包含:1.關節鏡清創術。2.全人工或部份人工關節置換術。3.截骨矯正手術。一般病人若經保守治療仍然無效,而X光可見到相當程度關節軟骨的破壞,可以考慮以人工關節手術方式治療退化性膝關節炎。人工膝關節置換術有許多的改良,例如:微創人工膝關節與髖關節置換,以雞尾酒藥物配方達成無痛人工膝關節的手術方式,及股四頭肌保留免破壞的手法,可使老年長者在術後很快回復到近乎以往的生活機能,術後更能出國、運動等,享受銀髮退休生活,甚至可以進行手術前已經無法執行的運動,增進體適能。

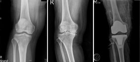
 退化性關節炎(相關圖片)           1                       2                           3

 

1.輕微退化性關節炎

2.嚴重退化性關節炎      

3.手術後(人工關節置換)