
紅樓夢97回記載,黛玉知道寶玉與寶釵的婚事,幾乎暈倒…「見黛玉顏色如雪,並無一點血色,神氣昏沉,氣息微細,半日又咳嗽了一陣,ㄚ頭遞了痰盂,吐出都是痰中帶血的…。」
當一個人咳出血時,心裡一定相當驚慌,因為在您所接觸過的連續劇裡,咳血通常代表生命到了盡頭…。但,事實真是如此嗎 ?
「咳血」顧名思義是指咳出鮮血,血塊或咳痰中帶血。咳血不論是對醫師或病人而言,都是一大挑戰,它可能是急性氣管發炎所造成,不必特別治療便會自行緩解的小出血,也可能是嚴重疾病如肺腫瘤的一個初期表徵,太大量咳血還可能造成窒息或死亡,需要相當小心。
當咳血發生時,病患首先須要確保呼吸道的暢通,儘量減少用力的咳嗽。輕微的咳血可以先到胸腔科門診診查,而大量且持續地咳血,可能得直接至急診求診,甚至安排住院。患者首先要先告知醫師詳細的過去疾病史,正在使用的藥物及咳血的型態。讓醫師能判斷出血是由下呼吸道所產生,並排除血液是由胃腸道、口腔、鼻腔、咽喉等所流出。真正的咳血通常會伴有咳嗽的症狀,有時候會覺得胸部有痰或呼吸時有出現咕嚕的雜音,咳出來的東西可能帶有氣泡。
咳血的原因
咳血常見原因為急慢性支氣管炎、肺炎、肺膿瘍、黴菌感染、支氣管擴張症、肺結核、肺癌等。急性支氣管炎或肺炎常有數天至數週的咳嗽膿痰,併發肺部小血管出血後,出現痰中帶血絲。慢性支氣管炎或支氣管擴張症可能會有週期性咳血,且容易反覆復發。而肺結核除了咳血之外,可能合併發燒或體重減輕的現象。倘若病患是一個老菸槍且有體重減輕,尚須考慮肺癌的可能性。其他原因如支氣管內?物吸入,肺動脈栓塞,心臟血管疾病合併肺靜脈高壓,心臟衰竭併發肺水腫,肺部創傷及凝血?常或有口服抗凝血劑均可產生咳血。根據統計,約有三分之一咳血的病患最後無法查出真正的病因。
咳血的檢查
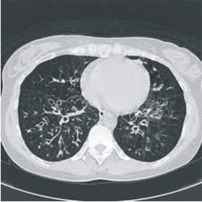
最基本的是進行胸部X光檢查,有經驗的胸腔科醫師能透過一張X光得到相當多的訊息,當X光有異常時,須安排進一步的痰液或抽血檢查。當以上檢查都無法確定診斷時,可藉助支氣管鏡檢查尋找出血位置。而高解析度胸部電腦斷層檢查可以全面掃描肺部異常變化,對支氣管擴張症的診斷更具價值。對於不明來源的大量咳血,支氣管血管攝影術可用於定位出血點並可同時作栓塞治療以止血。
咳血的治療
輕微的咳血,大都會自行停止,醫師會根據檢查結果及病因給予對症下藥外,通常會給予止血藥或止咳藥,而病患也需要減少用力咳嗽且要多休息。若出血量較大,必須考慮作硬式支氣管鏡、開刀,或把出血的血管進行栓塞,病情嚴重者則必須先插管保持呼吸道暢通。但不論出血量多少,都需要儘快就醫,大多數的咳血是可以治療的,由專業的醫師來安排適當的檢查和治療,相信一定可以早日恢復健康。


高解析度胸部電腦斷層下的支氣管擴張症