53歲的王女士半年前右耳開始出現有低鳴的雜音,尤其夜深人靜時,聲音就特別明顯,如同心跳具有清楚的節律性。她確定這不是房間裡面的聲音,一開始她不以為意,也沒有對生活造成影響。最近一個月即使在街上走路、嘈雜的環境這個聲音也可以明顯聽到,伴隨有頭昏、走路不穩的現象。她因為這個雜音變得明顯,而且有走路不穩的現象,到神經內科門診尋求協助。
         31歲的林先生最近因為考慮另謀高就整天心情相當緊繃,好幾晚睡不好。他發現幾天下來除了同事講話的聲音,他還會聽到一個規則低鳴的咻咻聲,好像聽力也怪怪的,注意力不能集中。這樣的症狀持續了快一週。他並沒有單側肢體無力、複視、說話不清楚、走路不穩的情況。因為擔心到神經內科求診,經過醫師的檢查,神經學上無異常。醫師告訴他,要調整生活作息、持續門診追蹤即可。等到林先生的新工作確定後,之前的症狀一掃而空,耳朵的咻咻聲也不藥而癒。
上述是兩個門診真實的案例。大多數的耳鳴雖令人感到困擾,如果生活作息適度調整,可帶來相當程度改善。但也因為不痛不癢,久而久之就被視為理所當然而不予理會。少數人會尋求耳鼻喉科醫師協助,醫師會了解噪音暴露、是否曾有耳病史、外傷史、藥物史、評估情緒與壓力狀態,藉由聽力檢查,進行適當治療。
         大多數的耳鳴屬於高頻如:蟬鳴,會隨著背景雜音降低(如:夜深人靜時)、熬夜、精神壓力增加,或身體代謝狀態改變而趨明顯,而在充足休息之後減緩或完全消失。醫師藉由詳細的病史詢問,可區分陣發性或持續性耳鳴,搏動性或非搏動性耳鳴,耳鳴是高頻或低頻,有無誘發或減輕的因素。耳鳴是個相當常見的症狀,大多數是良性且無害的,截至今日並無大型流行病學研究調查搏動性耳鳴的盛行率。當耳內出現規律性咻咻的聲音,吵雜音與心臟的跳動同步時,就應警覺適時就醫。
   
        王女士所表現的「搏動性耳鳴」屬於低頻、節律性、特徵為和心跳同步的搏動音,甚至有些人耳內會出現血流衝擊聲、流動聲、咻咻聲或嗚嗚聲等雜音。病人可能會發現耳鳴的強度或頻率隨著頭部運動,體位變化(平躺、坐、站姿等)而改變。神經內科醫師會注意耳鳴是否單側發作;持續整天發作;除了姿勢改變、小心按壓頸部血管或某處是否減弱耳鳴,伴隨頭暈;視力減弱、聽力變化、或半側肢體麻痺。清楚描述這些伴隨症狀,有助於醫師正確判斷。醫師會視病況,安排血管超音波,或檢查甲狀腺功能、血液、血脂、血糖狀況。必要時安排血管攝影診斷病因。
   
        深究其病理變化,主要是心臟輸出血量增加導致血管內的血流量增加或血管異常。造成心臟輸出增加的原因包含甲狀腺機能亢進、懷孕、貧血等狀況,其耳鳴症狀相對輕微,可因消除上述病因後症狀改善。血管異常的狀況可略分為動脈系統、靜脈系統、或動靜脈循行異常。動脈系統問題可發生在嚴重頸動脈狹窄、動脈瘤、動脈剝離、原始動脈異生、纖維肌性發育不良等情況。靜脈系統問題可因頸靜脈球位置異常或形成憩室、血管硬化等造成症狀。動靜脈異常可因硬腦膜動靜脈畸形、血管豐富腫瘤等,上述血管異常可能會增加腦中風的機會。如果是頸動脈嚴重狹窄,必要時也需考慮裝置血管支架。
自我健康評量
* 注意耳鳴是否有固定的節奏
     節奏可能會接近心跳節律,聲音的自我感受不是絕對的評斷指標(例如:自覺血流衝擊聲、流動聲、咻咻聲、嗚嗚聲等),會因個人生活經驗不同而不同。
* 除了耳鳴是否其他伴隨的症狀?(此項務必謹記,絕不可輕忽!)
     如果您有節律性耳鳴並同時有下述的伴隨症狀需要即刻尋求神經內科醫師協助。突然單側肢體無力、突然單側感覺喪失麻木、突然複視、突然吞嚥困難、突然說話不清楚、聽力突然下降、視力忽然模糊、漸漸嗜睡。
* 聲音是否連續,甚麼情況下造成聲音強弱的變化
      真正的搏動性耳鳴通常是連續的不會消失,可能會隨著頭部運動,姿勢變化而略有不同。假定您在運動後可以聽到心臟跳動的聲音,或失眠後聽到耳朵附近血流產生耳鳴,會因休息或做輕度活動後消失,則不須擔心。反之,如持續數日則須注意。
* 罹患心血管疾病、糖尿病或代謝症候群(糖尿病、高血脂)有上述三點,尤其第二點
   雖然搏動性耳鳴相對少見,臨床上危險的耳鳴更是少數,患有心血管疾病、糖尿病或高血脂症等代謝症候群的高危險族群,只要有上述症狀時,應即時尋求神經內科或耳鼻喉科醫師協助,儘早診斷治療,以免延誤病情。
 

 
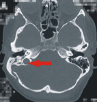
(圖) 箭頭所指為神經內科醫師安排血管超音波後懷疑有內頸動脈硬化,而安排的電腦斷層檢查
 
 
 

 
(圖) 箭頭所指為內頸靜脈球位置異常