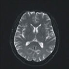
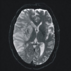
腦血管疾病的症狀常是瞬間出現,因為「其疾如風」、 又稱「腦中風」。衛生福利部2013年統計1顯示腦血管疾病 (腦中風) 是國人十大主要死因的第三位、佔全部死因的7.3%。腦中風可簡分為缺血性腦中風(如:圖一及圖二)及出血性腦中風、而缺血性約佔全部腦中風病患的70%。
傳統觀念常稱腦中風好發於寒冷季節,嘗試以實證醫學觀念彙整探討:
* 寒冷天氣與缺血性腦中風關係
* 民眾如何警覺及處理腦中風
寒冷天氣與缺血性腦中風有關聯嗎 ?
        實證醫學証據顯示寒冷天氣確與腦中風有正相關。文獻統計寒冷天氣誘發缺血性腦中風比率為「暴露於寒冷天氣的民眾」是「非暴露於寒冷天氣的民眾」的2.9倍。
寒冷天氣會誘發腦中風嗎?
        個體暴露於寒冷天氣24-48小時最容易導致缺血性腦中風危險期間,可能原因為暴露於低溫環境會誘導血液凝固及血漿黏稠度增加。
寒冷天氣更需慎防腦中風?
        女性、65歲以上長者、身材瘦小者、過去有高血壓或高血脂病史…等這些特定族群更容易於寒冷天氣發生缺血性腦中風。
低溫天氣減低誘發腦中風的風險?
        腦中風除造成高死亡率外、也造成高身體障礙率。所以既有腦中風高危險民眾(高血壓、糖尿病、高血脂、心房顫動、戒菸…等) 必需保持規則藥物控制既有的腦中風危險因子。另外於低溫天氣時、也需避免戶外寒冷環境及保持戶內溫暖。
如何警覺個人與親朋好友發生腦中風的症狀?
       目前被廣泛使用的辛辛那提到院前腦中風?表(Cincinnati Prehospital Stroke Scale)可供民眾參考。這個量表包括三個簡單症狀的描述:臉歪、手臂無力下垂和說話不清。若民眾突發其中一個症狀異常,72%的可能性為腦中風。三個皆為四異常則有100%的可能性為腦中風。
出現腦中風症狀的緊急處置方式?
        目前對在3小時內發作急性缺血性腦中風確定有正面療效的藥物是血栓溶解劑 (rt-PA)。但此類藥物主要副作用會造成體內出血併發症。而且此藥物使用在發病超過3小時後、其出血併發症的風險隨著給藥時間延遲急遽增高。因此使用此葯物必需經由專科醫師判斷符合「適應症」及排除「禁忌症」才能使用。所以對疑似急性腦中風發病民眾來說,就是儘快聯絡急救車,最好能於3小時內扺達具備臨床評估急性腦中風及施行血栓溶解劑治療的醫院急診接受診治。
       能把握「治療黃金時間3小時」的急性腦中風患者、其康復程度及中風後遺症也較好、繼而才能減輕個人、家庭及社會的醫療照護負擔。
 

 
圖一、正常腦部核磁共振影像                           
 
 
 

 
 
圖二、腦部核磁共振影像呈現右側中大腦動脈缺血性腦中風