「醫師為何我會得肺癌,平常又沒有任何不舒服」,蕭小姐37歲是一位生活作息正常無任何不良嗜好的上班族,家裡又沒有任何的遺傳性疾病或癌症病史,在一次公司安排的健康檢查中發現右上肺有一個0.7公分的病灶,經手術切除後證實為第一期肺腺癌。
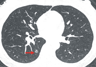
       李小姐40歲國小老師無不良嗜好、無任何家族病史,再一次例行性健康檢查肺癌篩檢中發現右下肺有一個0.8公分陰影,經手除切除後同樣確診為第一期肺腺癌,術後李小姐仍正常上班,日常生活不受肺癌所影響。
 
 

 
 
 
蕭小姐的低劑量胸部電腦斷層影像發現肺部右上肺陰影(紅色箭頭所指)
  
       
 

 
 
李小姐的低劑量胸部電腦斷層影像發現肺部右
下肺陰影(紅色箭頭所指)
 
 
 
 
肺癌已連續十年蟬聯國人十大死因榜首
        有許多類似蕭小姐、李小姐這樣子的病人就隱藏在你我週遭的親朋好友中,衛福部公布的資料顯示惡性腫瘤為國人十大死因之首,其中又以氣管、支氣管和肺癌連續十年蟬連國人癌症發生率榜首,平均每45分鐘就有一個新診斷的肺癌病患,雖然近年來醫藥的進步以發展許多療效更好副作用更少的化療藥物,例如:愛寧達(ALIMTA)以及新興標靶藥物問世,例如:得舒緩及妥復克,但對於肺癌病人實際上壽命的延長是非常有限的。肺癌可怕的在於早期症狀不明顯,即便第三、四期被診斷的病人中超過四分之一是沒有任何不舒服。很不幸的超過40%的病人再被診斷肺癌的時候已經是第四期,根據美國癌症協會統計,第四期肺癌病人平均存活時間只有8個月,五年存活率更不到百分之一,因此早期診斷肺癌是醫生努力的目標,也是目前改變肺癌病人預後的主要方法,尋找一個較適當、有效的方法可以早期偵測肺癌。
低劑量電腦斷層有哪些優勢?
       西元1995年起,歐美國家開始以低劑量電腦斷層掃描(Low-Dose CT scan,LDCT)進行肺癌篩檢,研究結果顯示相較於傳統胸部X光片,低劑量電腦斷層掃描可以大幅度提升早期肺癌的診斷率。美國NCI在2011年發表的National Lung Screening Trial (NLST)研究指出,年紀介於55至74歲且抽菸大於30年的老菸槍,每年使用LDCT作為肺癌篩檢,可以降低20%肺癌死亡率;根據最新National Comprehensive Cancer Network?(NCCN)針對使用LDCT作為早期肺癌篩檢不僅可以早期診斷早期治療,減少後續因為治療肺癌所帶來的併發症,更可以進一步改善生活品質,以及提高肺癌存活率;美國統計用LDCT來做為早期肺癌篩檢,平均每年減少超過12,000位肺癌死亡個案。
       目前肺癌的篩檢仍以LDCT為主流而非胸部X光片或傳統斷層掃描其原因如下:1.胸部X光片對於1公分以下的肺部病灶診斷率非常低,早期肺癌的偵測率LDCT更是胸部X光片的4倍。2.1次LDCT輻射曝露量約20張胸部X光片,較常規斷層掃描1次100張胸部X光片之劑量還低與安全,不只能為肺癌高危險民眾提供早期的診斷,也適合作為定期肺癌篩檢工具。3.LDCT檢查並不需要注射顯影劑便能將肺部的每個橫切面影像重組,減少注射顯影劑所帶來的併發症,例如;急性腎衰竭與過敏性休克。4.LDCT檢查前並不需要禁食,可以有效減少低血糖的風險。
哪些民眾應接受低劑量電腦斷層檢查?
        LDCT也有其負面影響,例如:偽陽性帶來的不必要過度檢查甚至侵入性治療,不但浪費金錢也影響民眾的日常生活,所以並非全部民眾都建議常規接受LDCT檢查,依照2015年NCCN建議高危險族群應每年常規接受肺癌篩檢,而高危險族群包含:抽菸超過30年、目前仍在抽菸或戒菸小於15年、長期曝露在二手菸環境下、一等親內有肺癌家族史、慢性肺部疾病如氣管擴張症、慢性氣管炎、肺纖維化、生活環境暴露在如:石棉、矽、砷等致癌物下,其他沒有上述危險因素的民眾,則建議與胸腔專科醫師討論後,才考慮是否從事LDCT檢查;另一方面常規的肺癌篩檢中會不會造成民眾的焦慮不安,甚至是影響到日常生活呢?2014年發表在國際知名期刊「Cancer」的文章,追蹤了2,812個案發現,大部分個案經由醫師解釋之後並不會有焦慮、影響日常生活情況,因為絕大部分屬良性肺結節。
為民眾健康把關!
       早期偵測早期治療是目前治療肺癌最重要的方式之一,針對高危險族群常規的LDCT檢查更是現在醫療所必備的項目,至於在判讀LDCT則應由有經驗的專科醫師評估,以避免不必要的處置與浪費,在亞東紀念醫院LDCT判讀有三層嚴密的防護,第一層是由胸腔專科醫師提供立即的判讀,使民眾不必懷著忐忑不安的心情回家,第二關由醫學程式偵測小型的病灶,力求滴水不漏,第三關則是影像醫學科醫師做最後報告;亞東紀念醫院有完整的胸腔腫瘤團隊,每月定期召開跨團隊會議,務必做到肺癌的篩檢、診斷、治療、追蹤都能做到全人、全家、全隊、全程四全的照顧。