38 歲林小姐時常發作心悸、胸悶症狀,總以為是自己壓力大睡眠不足、常喝咖啡有關,未予理會。兩年前一次心悸發作合併冒冷汗及噁心感,掛急診發現心跳每分鐘180下,經12導程心電圖確診為心室上頻脈(如:圖一),在急診醫師給予藥物注射後,恢復正常竇性心律。心臟科門診醫師建議住院進一步做電器生理檢查與心律不整燒灼術,林小姐擔心是很危險的手術,多所遲疑,因為長期藥物控制不佳,時常發作,且發作頻率越來越多短,常常一發作就跑附近地區醫院的急診室打藥,然後緩和就回家,嚴重影響生活作習。後來真的受不了,才接受醫師建議,住院接受電器生理檢查與心律不整燒灼術。
圖一、心室上頻脈心律不整
心律不整電器生理檢查與燒灼術大部分住院需要三天,第一天入院接受抽血、心電圖、胸部X光等基本檢查,第二天接受手術治療,手術時間依照診斷所需時間不同,約一小時半至四小時不等,手術時可以全身麻醉,但並非喉頭插管麻醉,而是以點滴注射藥物讓病患睡著,並以鼻管或呼吸面罩輔助,某些心律不整在全身麻醉藥物注射下不容易誘發出來,因此醫師會建議此類病患清醒做手術。手術執行並非在外科開刀房,而是在內科心導管室,與心血管疾病患者接受氣球擴張支架手術一樣,心律不整燒灼術需要藉由X光透視輔助定位,心臟科醫師需要全程穿鉛衣,不同的是,心律不整燒灼需要多根電極導管輔助定位,因此無法只經手臂打針作治療。
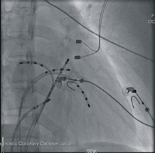
手術前需禁食八小時,手術時主治醫師在林小姐的雙側鼠蹊部打局部麻醉,打針找到股靜脈插入導管(如:圖二) ,直徑粗細如同原子筆心,接著在X光透視下經鼠蹊部放入數根細長的電極導管(如:圖三),藉由電極導管在心臟內誘發來確定心臟異常傳導的位置,予以燒灼,在燒灼完畢後,再反覆用電極導管做誘發測試,看有無殘存的異常傳導路徑。手術完畢,就在恢復室幫林小姐拔除身上的電極導管予以加壓止血,在確定林小姐的意識狀況清醒與生命跡象穩定就轉回普通病房。在病房林小姐仍需平躺6至8小時,期間如需解大小便,需要家屬協助使用便盆不可下床,以免傷口裂開出血。
手術後隔天,雙側鼠蹊部傷口有如米粒般大小,週邊稍有淤青腫脹,屬正常現象,回家後林小姐被告知鼠蹊部不要施大力,短期間內不要抬重物,經過數個月自我觀察,林小姐果然不再受突如其來的心悸胸悶所困擾,且再也不需要服用藥物了。
圖二、打針找到股靜脈插入導管

圖三 、在X光透視下經鼠蹊部放入數根細長的電極導管
像林小姐這樣的心室上頻脈,手術的成功率超過九成五,併發症如心包膜填塞、房室傳導阻滯、中風乃至於死亡,其機率均遠小於1%(約0.08-0.5%),目前美國心臟科醫學會建議此類心律不整的電生理燒灼數為第一線治療,目前健保給付函括在內,病患只需要負擔百分之十的醫療費用,大約一萬多元。
目前比較複雜的心律不整燒灼術例如:陣發性心房顫動、心室頻脈,由於3D立體定位系統的快速發展,大大提升手術治療的成功率,然而病患需額外負擔自費耗材5至10萬元,各家醫院收費不等。此類複雜電燒的效果與風險亦不同,以陣發性心房顫動為例,主治醫師在手術前,會先在門診安排心臟電腦斷層與經食道超音波檢查作為術前評估,如果有心臟內血栓,則心房顫動的檢查就須延遲。心房顫動手術時間大約4小時,即便成功電燒後大多數的病患仍需要長期服藥,其成功率大約七成,且約有兩成的病患會因復發需要接受第2-3次電燒,併發症相對較高,主要是鼠蹊部血管血腫(2.6%)、心包膜填塞(2.5%)、中風(0.24%)等(ref.),有時術後需要轉加護病房密切觀察。
不同的心律不整,在術前評估與術中、術後處置差異頗大,因此需要與心臟科醫師做好充分溝通,了解手術效益與相關併發症,才能獲得最佳處置。
(ref.)JACC 2011;59:P143~P149:Procedural complications , rehospitalizations & repeat procedures after catheter ablation for AF