什麼是植牙
  植牙、植體與人工牙根都是指使用鈦金屬的螺絲取代被拔掉的牙根,以手術的方式將植牙旋入顎骨中,等待三個月再將假牙鎖入人工牙根上。植牙自1965 年問世以來,經過五十年的臨床使用經驗,平均可達百分之九十五以上的成功率。
植牙的過程 
  傳統的植牙流程都需要在拔牙後等三至四個月,待傷口癒合後,再用另一個小手術將人工牙根植入體內,植牙後需要再等三到六個月才能再裝上假牙。隨著科技的進步,植牙的表面處理與植牙的器械都有長足的進步,現在從拔牙、植牙到裝上假牙皆可能在同一天之內完成。 
  
什麼是一日植牙 
  一日植牙包含兩個特點,一個是拔牙的當天立即植入人工牙根,另一個是植入人工牙根的同一天放上假牙,從拔牙到裝上假牙只需要就診一次。
   
假牙裝上之後就沒問題了嗎?
  一日植牙裝上的通常是臨時的假牙,主要是為了美觀,較不能提供咬合力量,也儘量會要求患者不要用這顆或這些臨時牙咬食物,還要再等三個月另外取模做假牙,期間要每二、三週回診一次,確定沒有不良反應。
  
不能當天直接裝上永久假牙嗎?
  植牙手術的當天裝上永久假牙的風險仍高,因為植牙手術會造成植體周圍的骨質些許的不穩定與微量的骨吸收,在咬合力的影響下,骨質的不穩定與骨吸收的現象會變嚴重,所以仍要等待三個月,骨質穩定之後才能放上永久的牙齒。
  
一日植牙有什麼好處? 
  主要有兩個好處,一個是縮短療程,合併拔牙與植牙的手術在同一天,可以減少手術的次數,縮短整個療程,依傳統流程從拔牙到假牙完成需要六個月以上的時間,現在可以在拔牙與植牙的當天就得到一副暫時的牙齒,整體的治療時間也可以減少到三個月內完成假牙。另一個好處是美觀與舒適,不會有前牙缺牙的尷尬時間,也不會有使用臨時活動假牙的異物感 。 
一日植牙有什麼缺點?
  拔牙與植牙在同一天的缺點較少,但如果植牙與裝上假牙在同一天,植牙與假牙會有比較高的失敗率,需要由醫師慎選條件良好的患者才能執行。並且需要密集的回診觀察,以確定植牙沒有間題,如發現不良反應,醫師會立即將假牙取下。等待三個月以後再裝上假牙,以減少植牙發生問題的機率,更嚴重的甚至需要將植體移除,再改回傳統的階段式植牙流程。
  
一日植牙會不會有什麼併發症?
  一日植牙仍是一個小手術,所有手術可能產生的問題都可能會產生,雖然發生機會不大,偶爾會有術後的出血腫脹,傷口感染,甚至是植體失敗脫落,一定要小心謹慎。術前謹慎的檢查,術中及時的評估,術後按時服藥,切忌求快而強行實施一日植牙,都可以有效降低併發症的產生。
  
一日植牙的費用會比較貴嗎?
  不會,一日植牙的過程與一般植牙的流程相同,只是縮短在同一個診次之內,收費也與一般植牙相同。 
  
一日植牙需要補骨嗎?
  不一定,醫師會依患者條件做適當的評估需不需要補骨,通常越需要補骨的患者越不適合使用一日植牙的流程。
   
全口無牙的患者也可以使用嗎?
  當然可以,一日假牙最初的使用是在下顎無牙的患者,現今已全面推廣到上下顎全口無牙的患者,前後牙的局部缺牙或是單顆缺牙也可以使用,在下顎全口無牙的患者植入四到六顆人工牙根,上顎全口需要六到八顆人工牙根,然後再放上固定式假牙。 
  
糖尿病,心臟病,腎臟病之類的患者也適合一日植牙嗎?
  由每位病人的情形來決定,一日植牙會需要比較密集的看診,植牙當天會需要至少兩個小時以上的治療時間,全口無牙的患者甚至會需要一整天的時間,才能完成植牙與裝牙,之後也需要密集地回診,比較不適用於行動不方便或是身體狀況不佳的的患者。

 
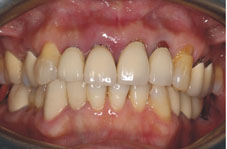
圖一、患者左上正中間牙斷裂
 
 
 

 
 
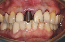
圖二、牙齒拔除的當天植入人正牙根
 
 
 

 
 
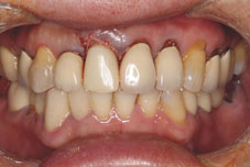
圖三、同時放上暫時的回定假牙