案例: 13年來誤以為胸腔積水
 一名63歲住新北板橋區的許姓女士,自2003年起(13年前)即被發現右側胸腔內大片陰影,一直被診斷為右側胸腔積水,反覆於北部與南部各醫院診療,也經歷胸腔引流治療,然而始終無法痊癒。該女士主要症狀為胸悶、咳嗽、易喘,嚴重程度時好時壞,持續多年。近三個月來由於咳嗽症狀加劇,也在外院經胸腔引流治療無效,病患因此至本院就醫。
  
治療:胸腔內外科聯手
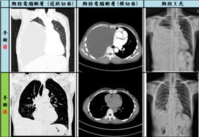
    經本院胸腔內科王秉槐主任,仔細詢問病史及診斷,發現病人胸腔內的陰影有比過去的胸腔影像擴大的現象,幾乎占據右胸的八成空間,懷疑是一個大約21x16x14 cm的巨大囊腫,從縱膈腔往右側胸腔壓迫,將右側肺部壓迫到剩不到兩成的肺功能,並導致心臟被嚴重推擠。
 後由胸腔外科劉昭宇醫師詳細說明手術治療相關建議,病人於今年一月初接受胸腔微創手術治療,將與病人共處多年的縱膈腔囊狀畸胎瘤取出,使其被瘤壓迫多年的右肺重新恢復功能,術後迄今恢復良好,多年來的不適症狀獲得解除,肺功能恢復正常。
    本案例係因腫瘤影像之表現特殊,以純水囊狀來呈現,即使經多年來數次就醫,仍長久以來被認為是慢性膿胸、肋膜積水等等病因來治療,以致無法獲得正確之治療。縱膈腔腫瘤的治療以外科手術為主,傳統開胸手術包含正中胸骨切開或側後胸切開術,但近年來因微創胸腔鏡手術發展,我們僅用一個4公分之側胸切口及一個1公分的引流管傷口,便將其巨大囊腫取出,病患術後恢復良好迅速,且將來無復發之可能。
特殊性:罕見純囊狀肌胎瘤
    畸胎瘤為一實質腫瘤,其成因為胚胎發育過程中,有一部份生殖細胞在移行過程中脫離他們原本該去的地方,卻停留在胸腔或腹腔,逐漸衍生分化,包括胎胚的三胚層組織都存在於畸胎瘤內。腫瘤本身通常有一個很厚的外皮,內含外胚層(如:汗腺,皮脂腺,頭髮、及神經組織等)、中胚層成分(如:軟骨,骨頭,脂肪、牙齒,平滑肌等),及內胚層(成分如氣管支上皮, 消化管粘膜上皮,甲狀腺等),等演化之組織。
    畸胎瘤發生年齡可從2歲至70幾歲,男女發生率無明顯差異。腫瘤本身由2個或3個胚胎發育層的幾種不同類型的組織構成,這些組織可由成熟的、非成熟的或混合型成分所組成。常發生於卵巢,睪丸等生殖器官。但也可發生於後腹腔或縱膈腔,而以縱膈腔腫瘤而言,畸胎瘤大約佔了一至兩成左右,其實並不常見,畸胎瘤腫瘤本身可為良性或惡性,在縱膈腔內大部分為良性腫瘤,且腫瘤大部分含有較多實質的部分,大部分可由電腦斷層來診斷,但像本案例許女士這樣純囊狀且巨大之畸胎瘤較為罕見,醫學文獻中僅有零星案例報告,因此容易被誤判。
    長在縱膈腔內的畸胎瘤大部分沒有症狀,直到腫瘤大到壓迫肺部、心臟、氣管等重要器官,才導致例如:氣喘、胸悶、咳嗽等不適症狀,容易誤以為是ㄧ般感冒來治療。
 


 
 
 
 
 
胸腔內科王秉槐主任(右)與胸腔外科劉昭宇醫師(左)共同說明「畸胎瘤」記者會的情形
 
 
 
 
比較圖_手術前後
 
 
 

 
 
比較圖_慢性膿胸、胸腔(肋膜腔)積水、畸胎瘤