機器人手臂開創骨科新時代!造福關節炎病人
        台灣漸漸邁入高齡社會,老年人的疾病發生率也因此日益增加,其中又以退化性關節炎影響長者的生活品質最劇。據統計,台灣高達32萬人深受膝關節疼痛所苦,對於走路、上下樓梯等日常生活都造成不便,但傳統置換關節手術會切除大範圍的關節面,傷口大。事實上,並非每一例都需要做到全關節置換;新的手術越來越講求精準、破壞範圍小、傷口小、恢復快。在這個趨勢下,醫療科技已發展出最新專為關節置換手術所設計的機器人手臂。亞東醫院骨科部特別在2017年8月引進機器人手臂置換關節之技術,民眾再也不需要大老遠跑到外縣市進行手術,可謂是當地民眾的新福音。
 
機器人手臂縮短術後復原期,病患生活品質提升
  新北市52歲的鍾女士因本身膝關節軟骨就有股骨單髁磨損,又長期過度使用,加重膝關節疼痛的症狀。故於亞東醫院看診時,骨科部張至宏部主任經評估其狀況,推薦可經由「機器人手臂人工關節置換手術(MAKOplasty)」讓其關節快速恢復功能,術後大約半天時間就可下床走動,術後隔天即可出院。只是目前這項手術健保不給付,需自費。
機器手臂保好骨,少破壞!
  相較以往傳統人工膝關節置換手術其工程浩大,除了要切除所有關節面,也必須切除2條十字韌帶,但有些患者,只有1/2到1/3的關節面壞掉須置換,而且十字韌帶還健康並未老化鬆弛。若是這些患者的關節面全部切除,其實有點可惜。因此,藉由機器人手臂協助置換人工膝關節的方式,可幫助上述的患者保留仍是健康的軟骨和韌帶。機器人手臂手術在術前也會做病人膝部3D電腦斷層掃瞄,重建骨骼模型,以提供術前計畫及術中執行所需。醫師在手術進行中可與機器人手臂的電腦模擬做視覺及觸覺互動,只磨掉有病變的軟骨,一旦超過術前設定範圍時會自動停止,避免其組織受到傷害。利用機器人手術不但能降低手術誤差,更可以保好骨質,術後恢復期也能大幅降低至3天以內,是膝關節退化性關節炎患者的另一項新選擇。
治療膝關節退化性關節炎的階梯式保膝概念
  以往骨科醫師治療膝關節退化性關節炎的武器不多,只有玻尿酸注射和傳統人工膝關節置換手術。近年來亞東醫院關節重建中心,大力推廣治療膝關節退化性關節炎的階梯式保膝概念。退化性關節炎初期,先以復健,消炎止痛藥與玻尿酸注射治療。當玻尿酸注射效果不佳時,可以考慮自體血小板生長因子注射。下一步則是自體間葉幹細胞注射療法,亞東醫院已取得食品藥物管理局核准,目前正進行第一期臨床試驗。而當膝關節有內翻變形時,建議可以3D列印導引截骨術精準治療膝關節變形,避免關節進一步變形,並促進軟骨再生。當關節軟骨病變來自關節內傷害,而非內翻變形時,則採取單髁置換。當全面性的關節毀損時,則進行全膝置換。「機器人手臂人工關節置換手術」是目前最精準的單髁置換方法。此外,亞東醫院全膝置換,目前則以電腦導航協助進行,達到角度更精準,失血量更少的境界。
  亞東醫院關節重建中心,能提供全方位的膝關節退化治療對策。從健保到自費,從門診到手術,從玻尿酸到幹細胞,從截骨術到單髁置換與全膝置換,給病患不同嚴重程度的治療對策,為病患提供更好的服務與選擇。
  

 
 
機器人手臂設備
 
 
 


 
 
 
 
 
術前三維電腦斷層掃描輸入機器人手臂,以供術前計畫及術中執行所需。
 


 
 
 
 
 
 
 
磨掉有病變的軟骨
 


 
 
 
 
 
 
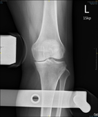
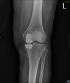
左圖:術前膝關節X光片;右圖:術後膝關節X光片。