肘關節炎的形成與治療
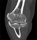
         相對於退化性膝關節炎,肘關節炎並不常見,雖然說肘關節炎盛行率不高,但罹患此疾病,仍是會影響病患的生活品質。其中又以肘關節骨折或韌帶損傷使得關節面不平整,進而導致軟骨磨損,是最常見造成肘關節炎的因素。一般在治療上,會考量病患是否因肘關節長骨刺(如:圖一)或是碎骨使得在伸直或彎曲時產生疼痛,則此類病患可以考慮使用關節鏡手術清除碎骨、骨刺,但若有嚴重的關節變形則會採用一般開放性手術治療。有了這些技術,就可以不用換人工肘關節。
肱尺肘關節成型術手術(Outerbridge-Kashiwagi)
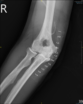
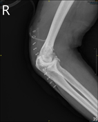
  主要用來治療輕度到中度肘關節炎,同時此術式結合肘關節鏡的方式治療(如;圖二),只需要兩個小傷口就可達到切除骨刺、移除碎骨等,且有減輕疼痛的效果。只是相對於嚴重的肘關節炎來說,單用此術式就很難有效增進關節活動程度,所以必須以開放性Outerbridge-Kashiwagi術式治療(如:圖三),就可達到較佳的關節活動度。
肱尺肘關節成型術手術(Outerbridge-Kashiwagi)手術實例
  本院最近發表開放性和關節鏡下Outerbridge-Kashiwagi肱尺肘關節成型術手術。其中開放性手術的病患症狀都是因為肘關節彎曲伸直活動產生疼痛、關節活動度減少,經由此開放性術式治療後,其關節活動度都有明顯增加。而在關節鏡手術族群中,對於選擇適應症較為嚴謹,適合的對象為輕度到中度的肘關節炎,病患症狀也多是在活動時疼痛,經由關節鏡手術治療後,關節活動度也都有明顯改善,且相對於開放性手術傷口較小,術後恢復也比較快。所以對於肘關節炎的治療,醫師都會依據各病患狀況,實行合適的術式。
 

 
 
 
 
 
圖一、退化性肘關節電腦斷層影像
 

 
 
 
 
 
圖二、關節鏡Outerbridge-Kashiwagi手術,從後側的入口在鷹嘴突凹窩鑿出一個窗口,可以移除前方關節腔的碎骨
 


 
 
 
 
 
 
 
 
圖三、Outerbridge-Kashiwagi手術術後X光片