傳統的婦癌手術包括腫瘤切除手術,以及全面淋巴結摘除手術,全面淋巴結摘除手術後的病患,卻常常會出現許多手術併發症,例如:腿部嚴重淋巴水腫,腹腔淋巴囊腫和感染...等。
前哨淋巴結是什麼?
        淋巴系統是腫瘤細胞轉移的路徑之一,所謂的前哨淋巴結,就是指與腫瘤連接的前端淋巴結。前哨淋巴結為腫瘤的淋巴引流到的前端淋巴結,當病患發生癌症淋巴結轉移時,前哨淋巴結常常是主要轉移處,此最早在40年前,前哨淋巴結的觀念就被提出,主要運用於體表惡性腫瘤,到20年前才廣泛應用在乳癌,近年來也開始被應用在婦癌手術,不但減少了許多術後的後遺症,還大大改善了患者的生活品質。
       前哨淋巴結造影方法就是將顯影劑注入腫瘤周遭組織,顯影劑會沿著淋巴管擴散,累積在前端出現的淋巴結上,藉由特殊影像系統造影定位後,再由醫師進行手術切除及病理切片檢查。在施作婦科癌症手術時,只要把顯影之前哨淋巴結摘除即可,不需要摘除所有的骨盆淋巴管及淋巴結,以避免下肢水腫等副作用。
       在歐美先進醫療國家的研究發現,婦癌手術使用前哨淋巴結造影可以找到更多的癌症轉移淋巴結,大大減輕下肢水腫之的副作用,也不會造成較多的癌症復發率。
前哨淋巴結顯影在婦癌的應用
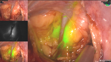
        外陰癌、子宮頸癌及子宮內膜癌之的手術可以使用前哨淋巴結造影、子宮頸癌及子宮內膜癌手術時,通常把顯影劑打在子宮頸來偵測前哨淋巴結 (如:圖一),我們可以只摘取綠色顯影之前哨淋巴結即可,不需破壞骨盆整體淋巴回流,應用造影劑定位前哨淋巴結,在螢光攝像系統下進行手術,以利更精準的切除。
婦癌前哨淋巴結造影的經驗
        本院分析院內接受前哨淋巴結造影的子宮內膜癌病人,發現應用前哨淋巴結的技術與國際發表相同,並不會增加癌症復發比率(如:圖二),反而減少手術流血量。因為手術取出之淋巴結較少較精準,手術副作用也低。目前已執行多例子宮內膜癌前哨淋巴結造影手術,並無淋巴囊腫、下肢水腫之併發症。


 
 
 
 
 
圖一、右側骨盆腔前哨淋巴結,在螢光照射下,開始顯影,在螢光顯影的指引下進行精準操作,可精準的切除
 

 
 
 
 
 
 
圖二、本院婦產部子宮內膜癌病患,接受前哨淋巴結造影術與傳統淋巴腺全面摘除手術之癌症復發比率類似