根據衛生福利部統計2018年台灣國人死因統計結果顯示惡性腫瘤仍佔居第一位,而胰臟癌則佔十大癌症死因的第八位(每十萬人口8.8人),而且有年年攀升的趨勢。胰臟是位於後腹腔的沉默器官(如:圖一),是負責分泌消化液以及內分泌像是胰島素等的重要器官。早期的胰臟癌常常不易察覺,但如果腫瘤漸漸變大,就會陸續出現上腹痛、背痛、黃疸、體重減輕,及腹瀉等症狀。主要的治療方式是手術、化療或是放射線治療。
令人聞之色變的胰臟癌
胰臟癌在初診斷的時候只有15-20%可以接受外科切除,而決定能否開刀的關鍵在於腫瘤大小、是否有血管侵犯或是遠端轉移等。然而,病人即便可以外科切除,五年的存活率在R0切除(所有切緣顯微鏡下均未見癌細胞)且無淋巴結侵犯的病人約是30%,而在有淋巴結侵犯的病人則降至10%。
已知的胰臟癌危險因子 但仍很難早期診斷
目前已知的胰臟癌高危險族群有基因異常:BRCA, ATM, PALB2, CDKN2A, and MLH1,Peutz-Jeghers syndrome、Hereditary pancreatitis (HP or PRSS mutations)、及Hereditary colon cancer (Lynch syndrome or mismatch repair mutations MLH1, MSH2, MSH6 and PMS2)、胰臟癌家族史(兩位一等親皆罹患胰臟癌者稱之)。另外,除了家族和基因之外的已知危險因子則有抽菸、肥胖、缺少運動、西化飲食、咖啡及酒精攝取、使用aspirin及非類固醇抗發炎止痛藥、幽門桿菌感染者及B型及C型肝炎病毒感染者及糖尿病患者等。現行並無針對胰臟癌進行大規模的篩檢計畫,主要原因是胰臟癌很難早期診斷。
所有胰臟腫瘤皆需開刀嗎?
但並非所有胰臟腫瘤都如同胰臟癌一樣預後不好,有許多是屬於預後較好,不需立即治療只需定期追蹤的胰臟腫瘤,若是去接受手術治療,則有可能承受相當高的手術風險,反過來說,若是發現胰臟腫瘤,沒有好好進一步檢查忽略胰臟癌的可能性,則可能錯過可以手術治療的黃金時期。因此,如何正確的區分胰臟腫瘤是否為胰臟癌成為一個很重要的議題。
胰臟腫瘤可粗略區分:囊泡性或是固體實質樣的腫瘤,一般來說胰臟癌屬於固體實質樣的腫瘤。除了病人的年紀、性別及臨床表現都可以納入鑑別診斷的依據,現行有許多影像可以幫助區分這兩類的腫瘤,主要有電腦斷層、核磁共振、內視鏡超音波等。對於固體實質樣的腫瘤而言,首先要先觀察胰管有於擴張,若是出現胰管擴張,則要小心胰臟癌的可能,反之,則可能是神經內分泌瘤、淋巴腫瘤,甚至良性瘤等。而囊泡性腫瘤則要根據囊泡型態、大小、有無固體實質樣的成分於囊泡內或是囊泡壁上、有無與胰管相通、有無造成胰管擴張等作鑑別診斷。
診斷胰臟腫瘤的新利器 對比增強諧波內視鏡超音波
近年來,隨著超音波對比劑以及內視鏡超音波的進步,演進成這兩者的結合:對比增強諧波內視鏡超音波(Contrast-Enhanced Harmonic EUS),提供了胰臟腫瘤診斷的新利器。傳統的內視鏡超音波僅能針對病灶的大血管做觀察,然而超音波對比劑卻能將病灶的微血管層級顯影出來,有利於為小病灶的觀察,有利於早期胰臟癌的診斷,此外可以搭配細針抽吸或是切片(fine needle aspiration/biopsy)在偵測胰臟腫瘤時同時取得組織作進一步化驗加以確診,如此一來,便可以早期進行治療。

圖一、胰臟位於後腹腔(紅色圈圈框起處),有早期病灶時不易察覺
(圖片來源:Digestive Endoscopy (2007) 19 (Suppl. 1), S180–S205)

圖二、顯示傳統的內視鏡超音波偵測病灶血流的能力不儘理想

圖三、顯示對比增強諧波內視鏡超音波(Contrast-enhanced harmonic EUS)可以凸顯病灶血流豐富的程度(畫面右邊變的較亮)

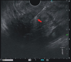
圖四、顯示利用超音波內視鏡導引針對病灶進行細針抽吸或是切片加以確診,以提供後續的治療方針(紅色箭頭)