何謂遠程醫學?
     遠程醫學(telemedicince)是使用遠距溝通技術(telecommunication),讓醫師能不需和患者面對面即可做遠距的診療,在幅員廣大、醫療資源不足的地區,遠程醫學的應用將可有效解決醫療人員缺乏的問題,普及醫療服務。除此之外,以最近全球肆虐的新冠肺炎為例,當在特殊情況下需要減少人與人的接觸時,遠程醫學的應用即更形重要,透過遠距醫療的技術,能在減少患者和醫護人員的接觸下,仍能提供患者即時的醫療服務。
遠程醫學在眼科的應用
        眼科使用遠程醫學技術的最佳例子,莫過於是「糖尿病視網膜病變」篩檢, 主要原因是全球糖尿病患者人口數非常龐大且呈現逐年增加的趨勢:全球罹患糖尿病的人口在2025年預計會達到4億3千9百萬人,而在台灣2017年統計結果, 10.9%的成人都患有糖尿病(總數高達195萬8千人)。同時據2011年調查也發現,糖尿病患者中約有26.4%的人產生視網膜病變的併發症,這個比例預估至2030年,會增加至三成左右。
       儘管糖尿病人口數及產生糖尿病視網膜病變的人口數都越來越多,但統計也發現,小於30%的糖尿病患者會接受規則眼底篩檢,因此很大一部分的患者都曝露在錯失早期治療的風險中。
        一般傳統的篩檢方式,也就是每位糖尿病患都至眼科診間,散大瞳孔後由醫師逐一使用眼底鏡檢查眼底的方法,在糖尿病患越來越多的狀況下,將無法有效率地在短時間內篩檢大量患者,且可能由於過程耗時,會降低患者接受篩檢的意願。因此,若能應用遠程醫學的技術,將可大大提高篩檢效率,只要備有所需機器設備, 即使在就醫不便或缺乏醫療資源的偏鄉,患者也能接受規則的追蹤。
糖尿病視網膜病變的重要性
  糖尿病視網膜病變起因於視網膜微血管在高血糖下一連串複雜的變化,包括:微血管基底膜增厚、內皮細胞功能喪失等,這些微血管重塑的過程將會改變微血管血流狀況,導致微血管閉塞、視網膜缺血、產生視網膜新生血管等,也就是所謂的「糖尿病視網膜病變」,最後造成眼內出血、視網膜剝離、黃斑部水腫等,嚴重影響視力。任何糖尿病患者都有可能產生此併發症,當罹患糖尿病的時間越久,其風險也就越高。
  但這些產生視網膜病變的患者在初期可能都無任何症狀,在某一天突然發現視力下降而就醫時,往往已有重度以上的視網膜病變,甚至後續導致永久性不可逆的視力障礙或失明。有鑑於此,早期診斷「糖尿病視網膜病變」是個非常重要的課題,若能在較早期即介入追蹤治療,包括:血糖嚴格控制、必要時使用雷射或眼內藥物注射等方式,將可有效預防後續可能永久視力受損的結果。
如何使用遠程醫學技術篩檢「糖尿病視網膜病變」, 並結合人工智慧(AI)的應用?
       首先是影像收集:我們可使用免散瞳眼底攝影或超廣角眼底攝影,擷取患者的眼底影像(如:圖一、二),將影像上傳至雲端或電腦網路,由醫師在遠端做影像的判讀,以篩檢出需轉介至門診的病患(如:圖三),這樣能大大降低每位患者至門診檢查的時間,有效率篩檢出需進一步檢查、追蹤或已要介入治療的高風險群。
       而患者的眼底影像,除了由醫師或受過專業訓練的人員判讀之外,前發展迅速的電腦人工智慧(AI, Artificial Intelligence),即是由經過大量訓練的電腦,透過深度學習的模組,來判讀眼底影像的異常與否,篩檢出需轉介至眼科醫師處的患者,AI的判讀目前研究已能達到極高(九成以上)的敏感性及特異性,因此,遠程醫學結合AI的應用,將能有效率地篩檢糖尿病視網膜病變。
  目前本院開設有「糖尿病視網膜病變篩檢整合門診」,即是為了服務廣大糖尿病患者,利用遠程醫學的概念,藉由新型的眼底攝影,能快速替糖尿病友做每年規則的眼底追蹤,儘管在台灣就醫相對便利,但仍能利用遠程醫學的優勢,提高篩檢效率及患者接受篩檢的意願,使糖尿病患者獲得整體良好的照護,減少眼睛併發症, 維持良好視力及生活品質。
 

 
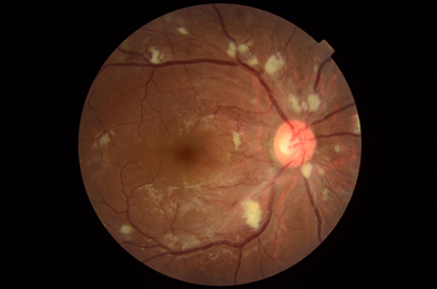
圖一
一位26歲新近診斷有糖尿病及高血壓患者的右眼眼底圖,眼底影像可見多處白色斑塊,為視網膜神經纖維層缺血的表現,另也有多處血管異常增生的情形, 但患者現階段視力正常。
 
 

 
圖二
一個半月後,經積極控制血糖、血壓及密切追蹤,可見眼底變化有明顯的改善。
 
 
 

 
圖三
陳韻如醫師於美國進修期間,利用遠程醫學技術,替糖尿病患者進行糖尿病視網膜病變篩檢,左側螢幕可顯示患者眼底影像(光學同調斷層掃描影像),右側螢幕可和患者進行遠距連線。