小廷是個有運動習慣的年輕男性,一次重量訓練後忽然感覺到腰酸背痛,起初認為只是訓練過量不以為意,認為只要休息自然會好轉,然而休息超過一個月不見改善,後續更有下肢無力、痠麻等症狀甚至影響正常生活作息,至醫院就診才發現竟是椎間盤突出...
淺談椎間盤突出(HIVD)
      脊椎骨與脊椎骨之間有軟骨充當緩衝墊,這種軟骨就稱為椎間盤。椎間盤構造又分為內部的髓核與外圍的環狀纖維,當外圍環狀纖維產生破裂,造成髓核突出或者椎間盤變形、移位或破裂就會壓迫到附近的脊髓與脊神經,稱為椎間盤突出,可能就會造成患者症狀不適。
  突發性的椎間盤突出以青壯年者居多,有人統計20-50歲者達70%以上;男性多於女性。
  
造成椎間盤突出的原因與危險因子 
* 年紀:好發於20-50歲
* 姿勢不正確、彎腰駝背、滑手機頸椎前傾
* 肥胖:體重過重,腹部突出導致腰椎壓力承受增大
* 腹肌背肌肌力不足或健身姿勢不正確:肌肉無力導致椎間盤支撐力不足壓力過大,容易造成椎間盤突出
椎間盤突出的症狀
  下背疼痛是椎間盤病人來求診最常見主訴,然而並非有下背痛的患者皆有椎間盤突出,較常見的特徵症狀:
* 有明顯舒緩與加重因子:噴嚏、咳嗽、彎腰加劇、躺下舒服
* 合併有神經症狀:疼痛輻射至腿足、小腿、大腿後側有抽搐痛、患肢皮膚上發麻、感覺異常、下肢遲鈍、深部肌腱反射減弱、坐骨神經痛、
* 長期症狀造成姿勢上的變異:向健側傾斜、站立時骨盆傾斜
* 如病程拉長則有晚期症狀:背後看起來扁平、腿部肌肉無力萎縮、反射消失。
疾病如何診斷
     病人來求診後,診間內會理學檢查作初步診斷,常會發現有: 
* 坐骨神經上深部觸診會感壓痛
* 受影響神經根皮節之客觀性感覺喪失
* 仰臥直抬腿測試(Single leg raise test; SLRT):仰臥在床上將腿伸直,抬起其中一腳,抬起的過程中讓臀部緊貼在床上。正常抬起的角度可至70度以上,如果抬起角度於30-70度時出現明顯的疼痛加重,可能是椎間盤突出。
* 影像檢查包含: X光片、脊椎攝影、核磁共振攝影(MRI)、電腦斷層掃描(CT)等,醫師會依照病患之症狀與診斷安排適當的影像學檢查。 
洞療方式
* 保守治療:椎間盤突出的治療多從完整的非手術治療計畫下開始,如非手術治療的復原不佳或持續惡化則需要手術治療。約80%的椎間盤突出可在保守治療下有良好預後
●休息:在急性期盡量臥床休息、減少平時活動量,減少患部承受負重的活動。藉著減少患部承受正常負重的活動所形成的壓力,來緩解疼痛,同時減少髓鞘內壓力,如此通常可使突出之椎間盤自刺激神經根的位置上離開。纖維環裂縫可能形成疤組織,因此可以防止椎間盤繼續突出。
●藥物治療:適當止痛藥物可以緩解疼痛、鬆弛肌肉,減緩病患急性期不適。除了使用藥物外還可以配合深部超音波熱療法與局部熱敷來緩解疼痛、鬆弛肌肉
● 物理治療:在急性期疼痛緩減後,可進行適當的運動訓練背部肌肉、核心肌群等,如仰臥起坐、將骨盆抬高及膝胸運動等幫助椎間盤穩定脊椎穩定度
●矯正姿勢:養成正確的姿勢(包括站姿、坐姿與行走姿勢),減少復發的機會
● 運動:動作應平穩緩慢,不可快速,持之以恆才有效。在做運動時,如果疼痛增加或症狀變明顯應馬上停止該運動。
*手術治療:當個案對保守療法不發生反應時,或是神經功能障礙日趨嚴重造成運動或感覺麻痺、括約肌控制能力喪失、垂足、疼痛嚴重,影響到個案之日常生活以及工作時,則必須採用手術治療來緩解病況。研究統計指出,手術治療有90%左右的成功率。
* 微創內視鏡脊椎手術: 隨著醫療進步與符合現代人生活需求,目前針對椎間盤突出使用微創內視鏡手術已經成為趨勢。相較傳統手術的優勢包含:傷口小破壞少、失血量少、住院與復健期縮短與併發症較低等好處。目前常用技術有單通道內視鏡手術與雙通道內視鏡手術,傷口約在1公分左右(一塊硬幣直徑約2公分),都能達到良好的手術效果。
小突出大影響
     多數病患可以保守治療治癒,然而對保守治療效果不彰或嚴重個案仍需要手術介入。本院脊椎骨科是台灣最早鑽研脊椎內視鏡手術的先驅之一,長期致力於發展微創脊椎手術,透過小傷口微破壞解決大問題、嘉惠病人。
     
      不僅於老年患者,椎間盤突出也是年輕人下背疼痛的常見原因之一;小小的椎間盤突出就可能造成病患極大的症狀與生活困擾。各位朋友如有下背痛的問題或者擔心有椎間盤突出的情形,請洽專業醫師尋求完整的治療計畫,也歡迎到本院骨科部脊椎外科讓我們為您做進一步的診療與諮詢。

 
 
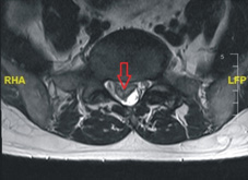
核磁共振的橫切面:可以看到明顯的椎間盤突出(箭頭處)造成神經壓迫
 
 

 
 
核磁共振的縱切面:可以看到明顯的椎間盤突出(箭頭處)往下游離 治療方式 
 
 
 

 
 
雙通道脊椎內視鏡手術: 外觀上兩個約1公分傷口,即可以達到徹底椎間盤突出切除