常常喉嚨痛,以為又是抵抗力差、感冒惹的禍嗎?其實不是,您可能只是罹患慢性扁桃腺炎了。新北市一名曾小姐,過去無任何慢性病史,卻因反覆喉嚨痛而困擾數年,發病時常合併發燒、嚴重吞嚥困難等等,長年來都在耳鼻喉科診所就醫,且被診斷為一般急性扁桃腺發炎,並搭配抗生素與症狀控制藥物治療。
反覆扁桃腺發炎,傳統摘除冷刀器械手術易出血
傳統慢性扁桃腺手術為使用冷刀器械切除扁桃腺,會在咽門前柱做切口,確認扁桃腺周圍的手術切面後,逐步往扁桃腺下端剝離,到最末端會使用扁桃腺鉗夾住並將扁桃腺完整移除後使用綁線確認止血,此一手術容易造成術中出血量較多,使手術視野不佳,延長手術時間,且縫合後病人傷口容易感到疼痛。
「利嘉修爾組織凝集器」新興手術降低術中出血量及術後疼痛情況,患者預後更好!
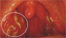
扁桃腺手術是耳鼻喉科最常見的手術之一,最早在西元前一世紀就曾被紀錄。扁桃腺位於人體口咽部的後外側方,最常見的疾病為急性扁桃腺炎。罹患急性扁桃腺炎(如:圖一)常造成症狀包含扁桃腺紅腫、咽部發紅、劇烈喉嚨痛、吞嚥疼痛、吞嚥困難、發燒、頸部淋巴腫大、耳朵痛等症狀。發生此一疾病的時候,病人依嚴重程度往往需要接受一到兩週不等的抗生素治療,過程中也因此常為進食困難所苦。
按照美國耳鼻喉科醫學會的指引,當頻繁且反覆的急性扁桃腺發炎發生次數達到過去一年超過七次,過去兩年每年發生5次或者過去三年每年發生3次,我們認為已達到慢性扁桃腺發炎的標準,可以嘗試接受扁桃腺切除手術。
目前成人執行扁桃腺切除術的適應症包括:扁桃腺惡性腫瘤、因扁桃腺腫大引起的嚴重口咽部呼吸道阻塞(如:圖二)、持續的扁桃腺出血、睡眠呼吸中止症、反覆的急性扁桃腺發炎、慢性扁桃腺發炎以及反部的扁桃腺旁膿瘍。兒童執行扁桃腺切除術最常見的適應症則包含反覆的喉部感染以及阻塞性睡眠呼吸障礙。為改善傳統手術限制,經參考國外臨床經驗,並創新地使用原應用於他類手術中的「利嘉修爾組織凝集器」,將此工具代入扁桃腺手術中,發現在切除扁桃腺時,能以幾乎不出血的方式完成,有效降低術中出血量,減少手術時間並減少患者術後疼痛的機率。
利嘉修爾組織凝集器為1999年開發出來的一種血管結紮工具,目前已廣泛使用於外科手術,包含直腸外科、一般外科以及頭頸癌手術等等,基本運作技術包含阻抗偵測回饋系統,能迅速將血管壁中的彈性纖維及膠原蛋白融合並重組,以達到結紮血管的效果,此系統能高頻率的偵測組織電阻,因此不會輸出過多能量產生焦炭組織以及周邊組織過多傷害,因此有減少術後疼痛的特性。
此外,利嘉修爾組織凝集器(Ligasure)已受美國FDA認證能封住直徑7毫米以內的血管,在動物實驗當中以此器械結紮後的血管能承受三倍的正常收縮壓壓力(360毫米汞柱),後續的研究指出使用利嘉修爾組織凝集器(Ligasure)進行扁桃腺切除術能有效降低術中出血量,術中出血量少會使手術視野較佳,對主刀醫師判斷手術切面的較有利,進而減少過多周邊組織的破壞,同時也讓手術進行更順利並減少手術時間。
總結以上,利嘉修爾組織凝集器(Ligasure)與傳統手術器械相比在扁桃腺手術中具有減少術中出血量、減少術後疼痛情況並且減少手術時間的特性,對病患及主刀醫師來說都有很大助益。
扁桃腺切除術比較說明
|
|
傳統冷刀器械切除-扁桃腺手術 |
利嘉修爾組織凝集器-扁桃腺手術 |
|
手術中出血量 |
出血量較多,手術視野不佳 |
出血量少,手術視野較佳 |
|
術後疼痛 |
術後傷口容易感到疼痛 |
傷口僅稍微疼痛 |
|
手術時間 |
長 |
短 |
|
住院日 |
4天 |
1-2天 |

圖一、急性扁桃腺炎(白色圈處)

圖二、扁桃腺腫大(白色圈處)引起的嚴重口咽部呼吸道阻塞

7月14日耳鼻喉科暨頭頸外科吳伯軒醫師舉辦-長年反覆喉嚨痛?利嘉修爾組織凝集器根治『慢性扁桃腺炎』記者會現場