明明有睡飽、且精神奕奕,卻老被人誤認沒睡飽嗎?感慨年輕時明明眼睛好大顆,現在拍照不管眼睛怎麼撐開,都像是瞇瞇眼嗎?有沒有要貼個雙眼皮貼或是要用手拉一下眼皮才看得清楚的情況呢?
眼瞼下垂的困擾
  這些都是眼瞼下垂常見的困擾!正常的眼睛黑眼珠會被上眼皮遮住一點點(約1.5-2釐米),所以用瞳孔做為分界的話,從瞳孔到上眼瞼的距離大約4釐米,到下眼瞼的距離約5釐米,但是隨著歲月的增加,上眼瞼的肌肉跟腱膜結構退化鬆弛,不足以維持正常眼瞼抬高的強度時,便會產生眼瞼下垂的結果。而且當精神疲累的時候,眼皮下垂會更為嚴重;為了要讓眼睛張得更開、看得更清楚,眼睛就需要更用力的張開,眼周的肌肉更容易感到疲憊。另外很多老先生老太太會常常挑起眉弓、或是皺起額頭來睜大眼睛,雖然眼睛會變大,但是抬頭紋也明顯增加了。
眼瞼下垂的定義與分類
        眼瞼下垂可通過發病年齡、病因、嚴重程度和提上眼瞼肌剩餘功能的量來分類,依照嚴重程度通常分為輕度(1-2毫米),中度(3-4毫米)或重度(> 4毫米), 一旦嚴重程度到遮蔽到瞳孔,影響到視線,便建議開刀矯正,以改善視線。而眼瞼下垂的原因又分為以下幾種:
* 腱膜性眼瞼下垂
     提上眼瞼肌的腱膜退化與鬆弛是老年人眼瞼下垂最常見原因。受到重力的關係和肌肉力量的喪失,影響提上眼瞼肌及其腱膜的伸展。如果之前有慢性炎症,做過眼科手術,外傷撞擊或戴隱形眼鏡都可能會加劇腱膜的散裂或裂開。
* 肌源性眼瞼下垂
  因為某些疾病的關係而有提上眼瞼肌的功能障礙,常見的疾病有重症肌無力(最常見)、肌肉強直症、面肩胛肱肌失養症、眼咽型肌營養不良症、先天性肌肉病變、慢性漸進性外眼肌麻痺和粒線體疾病。不幸的是,這些疾病通常是漸進性的,並且即使在最初的外科治療之後也經常復發。
* 神經源性眼瞼下垂
  動眼神經、交感神經或中樞神經系統功能障礙或損壞可能導致的上眼瞼下垂。原因包括糖尿病、霍納氏症候群、腫瘤、頸動脈海綿狀動脈瘤和多發性硬化。
* 機械性眼瞼下垂
  通常是因為眼瞼太重而肌肉力量不夠而無法抬高眼瞼,例如眼皮鬆弛、眼眶脂肪脫垂和眼瞼腫瘤。
* 外傷性眼瞼下垂
     在更廣泛的創傷中提上眼瞼肌可能會被插入,並形成了疤痕和繼發性機械性上眼瞼下垂。
眼瞼下垂的手術方式
  決定開刀前應該要讓醫師做整體的評估,包括眼瞼下垂的嚴重程度、剩餘提眼瞼肌的肌肉功能、是否有多餘鬆弛眼皮可以移除、眼瞼閉上的時候眼球生理性的往上旋轉,讓角膜可以被藏起來保護功能(Bell's phenomenon),以及確認眼瞼下垂的病因。
* 額肌懸吊手術
  提眼瞼肌肌肉功能不佳(<5mm)的人,可從額肌懸吊手術中獲得最大收益,該程序從額肌下來懸吊上眼瞼,但缺點是眼瞼閉合不佳,晚上睡覺時需要用藥膏保護角膜(黑眼球)部分,避免因暴露而產生的角膜破皮,適合肌肉功能極差的病人及肌源性上瞼下垂的情況。
* 提眼瞼肌切除手術
  提眼瞼肌肌肉功能屬於中度退化的病人(5-10mm),可通提眼瞼肌的部分切除來增強肌肉力量,提高上眼瞼高度。手術後初期也可能有眼瞼閉合不全的狀況,但比起額肌懸吊手術的閉合不全較輕微,隨著時間也會逐漸改善。
* 穆勒氏肌縮短切除手術
  由於穆勒氏肌肉功能對上眼瞼下垂的貢獻很小,針對穆勒氏肌肉的手術只能矯正輕微的眼瞼下垂。
眼瞼下垂的手術可能的併發症及術後照護
  眼瞼下垂矯正手術可能產生的併發症包括:感染、出血、眼周瘀青腫脹,因體質因素術後出現疤痕、眼瞼外翻 、以及術後一段時間內的眼瞼閉合不全等。所以建議手術後須按醫師指示按時回診,使用藥水或藥膏保護眼角膜避免受傷,以冰敷減輕手術傷口的腫痛及出血,一週內傷口保持乾燥不碰水,避免劇烈運動避免出血,如果傷口恢復良好大約一週便可拆線。
  有眼瞼下垂的朋友們,不用再困擾了,經由適當的手術便有機會讓眼睛變的炯炯有神,視線不再遮蔽,行走更安全喔!


 
 
 
 
 
 
正常眼睛的黑眼珠可露出8-9釐米,一旦眼瞼垂到瞳孔,不僅看起來沒有精神,還會遮蔽視線。
 

 
 
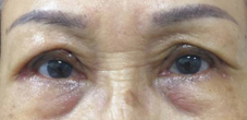
眼瞼下垂手術前
 
 

 
眼瞼下垂手術後