.文章語音朗讀連結
根據衛生福利部統計,2022年國人十大癌症死亡率依序為: (1)氣管、支氣管和肺癌、(2)肝和肝內膽管癌、(3)結腸、直腸和肛門癌、(4)女性乳癌、(5)前列腺(攝護腺)癌、(6)口腔癌、(7)胰臟癌、(8)胃癌、(9)食道癌、(10)卵巢癌。如何能做到早期發現、早期治療一直是健康管理的核心課題。消化道中空器官如食道、胃與大腸…等,我們可借助內視鏡偵測黏膜表面癌症前期的病灶。至於身體實質器官的腫瘤,磁振影像檢查或MRI (Magnetic Resonance Imaging)就具備了優異的偵測能力。本文將就MRI在全身癌症檢查上的應用,做一個精簡的介紹。
MRI可利用磁場和無線電波訊號,經由電腦計算重組,呈現出人體內部解剖構造,是一種無游離輻射線且非侵襲性的檢查方式。MRI最常應用在腦和關節等軟組織的影像檢查,但隨著技術的進步,它也應用在早期檢測許多不同的癌症,其中包括:肝癌、乳癌、前列腺(攝護腺)癌、口腔癌、胰腺癌、和卵巢癌…等。
MRI如何幫助檢測這些癌症
* 肝臟腫瘤
MRI能分辨許多不同的肝臟病灶,對於檢測原發性肝臟腫瘤和由其他器官轉移到肝臟的腫瘤,也有優異的鑑別能力。MRI可以幫助區分大多數良性與惡性的肝臟腫瘤,並偵測惡性腫瘤如肝細胞癌(Hepatoma),對於周邊正常組織的侵犯程度,有助於疾病診斷和腫瘤治療的評估。
* 乳房腫瘤
因為MRI對乳房組織血管的變化很敏感,可以檢測到乳房X光或是超音波上可能看不到的異常。所以乳房MRI可作為乳房X光與乳房超音波檢查之外,偵測乳癌一項重要的影像工具。特別是對於本身是罹患乳癌高風險的女性,或乳房X光檢查結果不確定的情況,MRI可以達到更精確的診斷。
* 攝護腺癌成像
藉由MRI對於軟組織清晰的影像與精細的解析度,現今MRI已成為偵測與評估攝護腺癌分期重要的工具。此外MRI還可以幫助醫師定位可疑的病灶,引導醫師的採檢針,進行精準的活體採檢 (MRI-guided prostate biopsy),提高病理診斷的準確性。
* 口腔腫瘤
MRI能呈現口腔軟組織清楚的影像,有助於檢測腫瘤的範圍與深度,還有頭頸部是否有轉移的淋巴結…等,這對外科手術方式和確定適當的治療方法至關重要。實際上MRI經常與其他影像技術和醫師的臨床評估一起使用,以提供對疾病的全面掌握並幫助擬定後續的治療計劃。
* 胰臟腫瘤
胰臟位於腹部深處,超音波有時不容易看清楚,而MRI在胰臟成像方面則非常清晰,有機會檢測出微小的腫瘤病灶或其他異常。由於MRI可顯示胰臟病變的特徵與型態,有助於醫師區分良、惡性腫瘤,並且可以一併評估胰臟周圍的血管,判斷胰臟附近的組織,是否有受到腫瘤侵犯,這些詳細的資訊對於手術計劃相當重要。
* 卵巢腫瘤
MRI用於卵巢成像,(1)可以幫助檢測原發和轉移性的卵巢腫瘤;(2)可以根據卵巢腫塊的影像特徵,幫忙醫師區分良性腫瘤和惡性腫瘤。同時間對卵巢癌的分期和評估鄰近器官擴散的程度,可幫忙判定卵巢癌的分期及指導治療決策。
結論
總之,MRI在惡性腫瘤早期檢測中之所以重要,在於MRI對於身體軟組織病灶的敏感性、早期發現腫瘤的能力、呈現病灶組織特徵的能力,以及在提供治療決策和監測治療反應…等重要的資訊。藉由MRI及早發現腫瘤,將有助於把握治療的黃金期,提升患者治癒的機會與存活的時間。
影像醫學科 賴彥君 主任網頁介紹連結
專長:影像診斷、頭頸部支架置放、顱內血管狹窄介入性診療、腦部動脈瘤(血管畸形)血管內治療、血流導向裝置治療、經手腕門診頭頸部血管攝影檢查、神經系統影像診斷
https://www.femh.org.tw/section/sectionDetail2?CID=0340&&DoctorID=86896

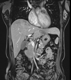
磁振造影清晰呈現腹腔內實質的器官如:肝臟、脾臟、胰臟、腎臟…等,提供醫師在腫瘤診斷、評估與治療上重要的資訊